
비기능성 뇌하수체 선종 (Non-functioning Pituitary Adenoma)
비기능성 뇌하수체 선종(Non-functioning Pituitary Adenoma)은 호르몬을 분비하지 않는 뇌하수체 전엽의 양성 종양으로, 종괴 효과에 의한 증상이 주요 임상양상입니다.
호르몬 과잉 증상은 없고, 주로 시야장애, 두통, 저하된 뇌하수체 기능이 발생하며, 대부분 거대 선종으로 진단됩니다.
| 비기능성 뇌하수체 선종 (Non-functioning Pituitary Adenoma) |
| 🟦 ACTH, PRL, GH 등 주요 호르몬을 분비하지 않는 뇌하수체 선종으로, 종괴 효과로 인해 진단되는 경우가 많습니다. |
| ✅ 진단기준: |
| MRI에서 종양 확인 |
| + 혈중 호르몬 수치 정상 또는 낮음 |
| + Mass Effect 증상 시 진단합니다. (ex. 시야장애, 두통) |
원인
기능성 선종과 마찬가지로, 대부분 특발성이며, 드물게 유전질환과 관련됩니다.
| 주요 원인 |
| 🔴 특발성 |
| 대부분의 경우 원인 불명이며, 무증상 상태에서 우연히 발견됩니다. |
| 🔴 다발성 내분비샘 종양(MEN 1) |
| 드물지만 유전 질환과 연관될 수 있으며, 기능성 선종과 동일한 유전자 이상이 관여합니다. |
임상양상
기능성이 아니라 호르몬 분비 증상은 없으며, Pituitary Adenoma 종양 자체의 압박 효과로 인한 증상이 주를 이룹니다.
Pituitary Adenoma의 Mass effect에 따른 시야장애, 두통, 뇌하수체 기능저하, 드물게 뇌하수체 졸중으로 인해 내원합니다.
| 증상 및 징후 |
| 🟨 시야장애 (양측 반맹) |
| 시신경 교차부(Optic Chaism)를 압박하여 외측 시야가 손상됩니다. |
| 🟨 두통 |
| 종양에 의한 뇌압 상승 및 주변 구조 자극으로 발생합니다. |
| 🟨 뇌하수체 기능 저하증 |
| 정상 선조직이 압박되면서 TSH, ACTH, LH/FSH 등이 저하됩니다. |
| 🟨 뇌하수체 졸중(Pituitary apoplexy) |
| 종양 내 출혈이나 경색으로 급성 두통, 시야손상, 의식저하 등이 나타날 수 있습니다. |
진단
MRI로 Pituitary Adenoma를 확인 후, 기능성 여부를 감별하고 뇌하수체 기능을 평가합니다.
| 진단 방법 |
| 🔵 뇌하수체 MRI |
| 거대 선종(>10mm)에서 조영증강된 비균질 종괴로 나타나며, 주변 구조 압박 여부를 확인합니다. |
| 🔵 호르몬 혈액검사 |
| 기능성 선종과의 감별을 위해 Prolactin, GH, ACTH, Cortisol, TSH, LH/FSH 등을 측정합니다. |
| 🔵 시야검사 |
| 양측 반맹(bitemporal hemianopsia) 여부를 평가합니다. |
영상소견 정리
거대 선종에서 시신경 압박 및 해면정맥굴 침범 여부가 중요합니다.




| 🔍 특징적 영상소견 요약 |
| ✅ 거대 선종(Macroadenoma) |
| 대부분 10mm 이상으로 진단되며, 종괴 효과를 유발합니다. |
| ✅ 조영증강 MRI에서 불균질 조영 |
| 종양은 T1 조영에서 주변보다 낮은 조영도를 보이며 비균질한 양상입니다. |
| ✅ 시신경 교차 압박 가능성 |
| 상방으로 확장된 종양이 시신경을 눌러 시야장애를 유발합니다. |
| ✅ 해면정맥굴(Cavernous sinus) 침범 여부 확인 |
| 측방 침범 시 수술 접근과 예후에 영향을 미칩니다. |
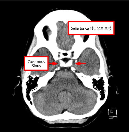
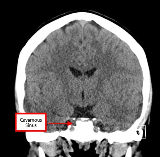
Cavernous Sinus
Cavernous sinus는 접형골(sphenoid bone) 옆쪽에 위치한 정맥혈이 흐르는 공간으로, Dura mater 사이에 존재하는 큰 정맥굴입니다.

- Axial view에서 뇌하수체(sella turcica) 양 옆으로 대칭적으로 보입니다

Hacking C, CT head axial – labeling questions. Case study, Radiopaedia.org (Accessed on 15 May 2025) https://doi.org/10.53347/rID-62252



치료
1차 치료는 수술이며, 남은 종양이나 재발 시 방사선 치료를 고려합니다.
기능성 호르몬 과잉이 없기 때문에, 종괴 효과(시야장애, 기능 저하 등)가 치료 결정의 기준입니다.
수술 치료
표준 치료는 경비접근(transsphenoidal) 뇌하수체 종양 절제술입니다.
| 수술적 치료 |
| 🔷 경비접근 뇌하수체 절제술 |
| 코를 통해 접근하여 종양을 절제하며, 시야개선 효과가 높습니다. |
| 🔷 개두술 |
| 거대 선종이 뇌기저부나 해면정맥굴로 광범위하게 침범한 경우에 시행됩니다. |
보조 치료
수술 후 남은 병변 또는 재발 시 방사선 치료를 시행합니다.
| 보조 치료 |
| 💊 방사선 치료 (Gamma knife 등) |
| 잔존 종양 조절, 재발 예방 목적이며, 서서히 크기 감소 효과가 나타납니다. |
| 💊 호르몬 대체요법 |
| 기능 저하된 축(HPA, TSH 등)에 대해 Hydrocortisone, Levothyroxine 등의 대체요법을 사용합니다. |
예후
시야장애나 기능저하 회복 여부는 수술 시기와 범위에 따라 다릅니다.
| 예후 |
| ✅ 수술로 시야장애가 호전되는 경우가 많습니다. |
| ✅ 기능 저하 발생 시 장기적인 호르몬 대체요법이 필요할 수 있습니다. |


