
수신증 (Hydronephrosis)
수신증(Hydronephrosis)은 신우(renal pelvis)와 신배(calyx)가 소변의 흐름이 막히거나 느려져 확장된 상태를 의미합니다.
신장 배출구에서 방광까지 어느 위치에서든 소변의 흐름이 차단되면, 상부 요로에 소변이 정체되면서 신우(Pelvis)와 신배(Calyx)가 확장됩니다.

| 수신증 (Hydronephrosis) |
| 🟦 요로 폐쇄로 인해 신우 및 신배가 확장되며, 장기적인 압박은 신기능 저하를 초래할 수 있습니다. |
| ✅ 진단기준 |
| : 영상 검사에서 신우(renal pelvis) 및 신배(calyx)의 확장 확인 |
| + 폐쇄 원인 동반 여부 평가 |
원인
요로의 물리적 폐쇄 또는 기능적 배출 장애가 원인입니다.
| 주요 원인 |
| 🔴 요석 (urinary stone) |
| 요관을 막아 급성 수신증을 유발하는 가장 흔한 원인입니다. |
| 🔴 전립선 비대증 (BPH) |
| 방광출구 폐쇄 → 역류성 수신증 발생 가능 |
| 🔴 요관협착 또는 선천성 협착 |
| 요관의 기형이나 수술/방사선 후 협착이 원인이 될 수 있습니다. |
| 🔴 종양에 의한 압박 |
| 방광암, 자궁경부암, 후복막 종양 등이 외부에서 요관을 압박할 수 있습니다. |
임상양상
급성 폐쇄 시 통증이 뚜렷하고, 만성일 경우 무증상으로 진행합니다.
요관 결석일 경우 옆구리 통증이 심하고, 만성 수신증은 소변량 감소나 무증상일 수 있습니다.
| 증상 및 징후 |
| 🟨 측복부 통증 (flank pain) |
| 요관 폐쇄 시 소변이 막혀 신장이 팽창하며 발생하는 통증입니다. |
| 🟨 배뇨 곤란 또는 잔뇨감 |
| 하부 요로 폐색(예: BPH)으로 인해 소변 배출이 불완전하게 됩니다. |
| 🟨 혈뇨 또는 탁한 소변 |
| 요석이나 감염이 동반된 경우에 나타날 수 있습니다. |
| 🟨 무증상 |
| 만성 수신증은 서서히 진행되어 증상이 없는 경우도 많습니다. |
진단
영상 검사를 통해 수신증 여부와 폐쇄 원인을 확인합니다.
| 진단 방법 |
| 🔵 신장 초음파 |
| 가장 흔히 사용되며, 신우 확장 확인에 민감합니다. 방사선 노출이 없고 간편합니다. |
| 🔵 비조영 CT (CT KUB) |
| 요석 유무를 확인하는 데 가장 정확하며, 급성 폐쇄 원인 평가에 유용합니다. |
| 🔵 조영제 CT (CT urography) |
| 요관 협착, 종양 등 해부학적 병변 확인에 효과적입니다. |
| 🔵 핵의학 검사 (MAG3, DTPA scan) |
| 기능적 폐쇄와 신기능 차이를 정량적으로 평가할 수 있습니다. |
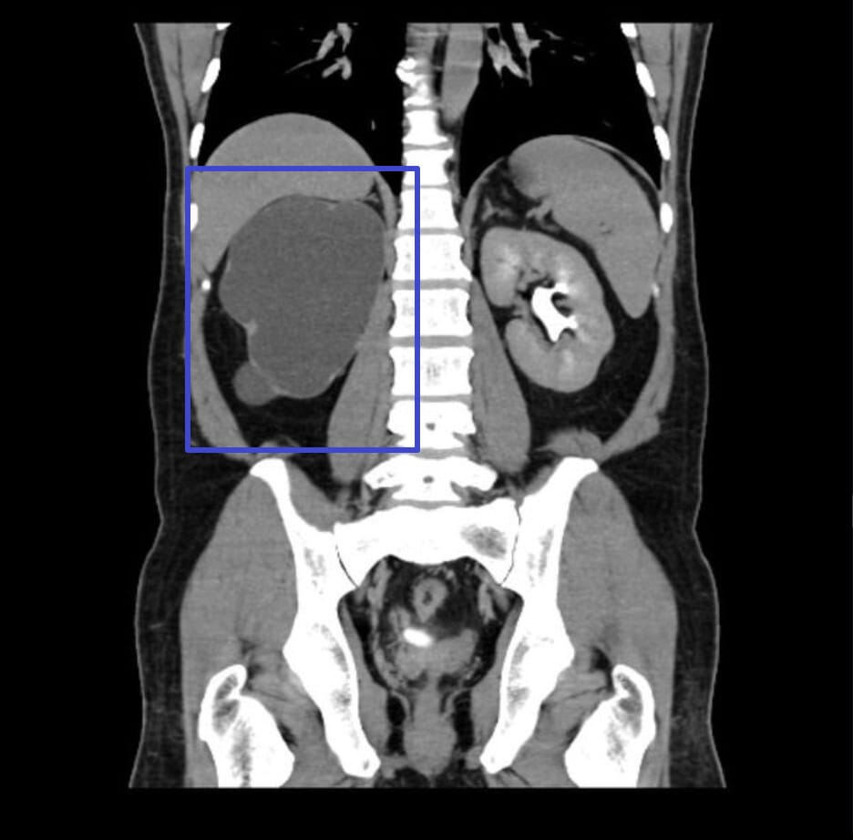
영상소견 정리
수신증의 영상은 확장된 신우/신배 및 폐쇄 위치 확인.


Qaqish N, Hydronephrosis. Case study, Radiopaedia.org (Accessed on 14 May 2025) https://doi.org/10.53347/rID-76671


Bhattarai A, Gross hydronephrosis. Case study, Radiopaedia.org (Accessed on 14 May 2025) https://doi.org/10.53347/rID-93278
| 🔍 특징적 영상소견 요약 |
| ✅ 신우 및 신배의 확장 |
| 초음파 또는 CT에서 신장 내부가 검고 넓게 확장되어 보입니다. |
| ✅ 요관 팽창 |
| 요관 폐쇄 부위 상부가 확장되어 길게 늘어난 구조가 보입니다. |
| ✅ 요석의 고음영 병변 |
| CT에서 하얗고 작지만 뚜렷한 결석이 요관 내에 관찰됩니다. |
| ✅ 신실질 위축 |
| 만성 수신증에서는 신피질이 얇아지고, 전체 신장 크기가 감소할 수 있습니다. |
수신증 등급 (Hydronephrosis Grading)
영상에서 신우 및 신배의 확장 정도에 따라 0~4단계로 분류하며, 진단 및 치료 결정에 참고합니다.

| 등급별 특징 |
| ✅ Grade 0 |
| 정상 소견. 신우와 신배의 확장이 없습니다. |
| ✅ Grade 1 (Mild) |
| 신우만 약간 확장됨. 신배는 정상 구조 유지. |
| ✅ Grade 2 (Mild to Moderate) |
| 신우와 일부 신배가 확장됨. 신실질 두께는 유지. |
| ✅ Grade 3 (Moderate to Severe) |
| 신우와 모든 신배가 명확히 확장. 신실질 압박이 시작됨. |
| ✅ Grade 4 (Severe) |
| 신우와 신배의 극심한 확장 + 신실질의 위축 소견 동반. |
치료
치료의 목표는 폐쇄 원인을 제거하여 신기능을 보존하는 것입니다.
급성 폐쇄 시 신속한 배액(요관 스텐트 or 신루 조성술) → 원인 치료(결석 제거, 협착 수술 등) 순으로 진행합니다.
비수술 치료
감염 동반 시 항생제, 폐쇄 시 배액술을 우선 시행합니다.
| 비수술적 치료 |
| 💊 항생제 치료 |
| 요로감염이 동반된 경우 넓은 범위 항생제를 즉시 투여합니다. |
| 💊 요관 스텐트 or 신루조성술 (PCN) |
| 급성 폐쇄로 신기능 손상이 우려될 때 응급으로 시행됩니다. |
수술 치료
원인에 따라 결석 제거, 협착 교정, 종양 절제 등을 시행합니다.
| 수술적 치료 |
| 🔷 요관 결석 제거술 |
| 내시경적 또는 체외충격파쇄석술(ESWL)로 제거합니다. |
| 🔷 요관 성형술 |
| 협착 부위를 절제하고 문합하여 소변 흐름을 회복시킵니다. |
| 🔷 종양 절제술 |
| 외부 압박 원인이 종양일 경우, 근치적 절제술을 시행합니다. |
예후
폐쇄 정도, 기간, 신기능 보존 여부에 따라 달라집니다.
| 예후 |
| ✅ 급성 수신증은 빠르게 치료하면 회복이 잘 됩니다. |
| ✅ 만성 수신증은 신피질 위축으로 회복이 어려울 수 있습니다. |

