
Table of Contents
탄성 동맥의 조직학 (Elastic Artery)
탄성 동맥(Elastic artery)은 대형 동맥에 해당하며, 심장에서 가까운 위치에 존재합니다. 높은 압력의 혈류를 수용하고 완충하는 역할을 하며, 대표적으로 대동맥(aorta), 폐동맥(pulmonary artery), 총경동맥(common carotid artery) 등이 이에 속합니다.

✅ 탄성 동맥은 일반적인 혈관벽과 마찬가지로 세 층 구조로 구성됩니다.
– 내막 (tunica intima)
– 중막 (tunica media)
– 외막 (tunica adventitia)



내막 (Tunica Intima)
| 내막 (Tunica Intima) |
| ✅ 내막은 단층 편평상피(endothelium)로 구성된 내피세포층과 그 아래의 얇은 결합조직층(subendothelial connective tissue)으로 이루어져 있습니다. |
| 내막과 중막 사이에는 내부 탄성판(internal elastic lamina)이 있으나, 탄성 동맥에서는 중막의 탄성판과 구별이 어려울 정도로 분산되어 있습니다. |




중막 (Tunica Media)
| 중막 (Tunica Media) |
| ✅ 중막은 탄성 동맥의 가장 두꺼운 층으로, 많은 수의 동심원형 탄성판(concentric elastic lamellae)과 그 사이를 잇는 민무늬근(smooth muscle cell)로 구성됩니다 |
| 대동맥의 경우 30~50층 이상의 탄성판이 존재하며, 이 층은 혈압의 변동을 흡수하여 혈류를 안정화하는 역할을 합니다. 섬유아세포와 교원질도 일부 포함됩니다. |





외막 (Tunica Adventitia)
| 외막 (Tunica Adventitia) |
| ✅ 외막은 결합조직으로 이루어져 있으며, 탄성 섬유와 콜라겐 섬유가 포함되어 있습니다. |
| 대형 동맥에서는 혈관벽 자체의 두께가 두꺼우므로, 외막 내에는 혈관벽을 영양하는 소혈관(vasa vasorum)과 신경(vasomotor nerve)이 존재합니다. |

근육 동맥의 조직학 (Muscular Artery)
근육 동맥(Muscular artery)은 중간 크기의 동맥으로, 탄성 동맥보다 말초에 위치하며 기관별로 혈류를 조절하는 역할을 수행합니다. 예시로는 상완동맥(brachial artery), 대퇴동맥(femoral artery), 장간막동맥(mesenteric artery) 등이 있습니다.

✅ 근육 동맥은 내부 탄성판이 명확하며, 중막의 민무늬근이 발달하여 혈관의 지름을 조절하는 기능에 특화되어 있습니다. 마찬가지로 3개 층으로 구분됩니다.
– 내막 (tunica intima)
– 중막 (tunica media)
– 외막 (tunica adventitia)



내막 (Tunica Intima)
| 내막 (Tunica Intima) |
| ✅ 단층 편평상피(endothelium)와 그 아래 얇은 결합조직층(subendothelial layer)로 구성되어 있으며, 내막과 중막 사이에는 뚜렷한 내부 탄성판(internal elastic lamina)이 존재합니다. 조직학적으로 물결 모양 또는 굵은 띠로 보이며, 근육 동맥의 특징적 소견입니다. |






중막 (Tunica Media)
| 중막 (Tunica Media) |
| ✅ 주로 원형 배열의 민무늬근(smooth muscle cells)으로 구성되며, 일반적으로 5~40층 정도 존재합니다. |
| 탄성 섬유보다 근육층이 더 두드러지며, 혈관의 수축과 이완을 통해 혈류를 조절합니다. 섬유아세포와 교원질이 일부 포함될 수 있습니다. |
| 외부 탄성판(external elastic lamina)이 중막과 외막 사이에 존재할 수 있습니다. |






외막 (Tunica Adventitia)
| 외막 (Tunica Adventitia) |
| ✅ 느슨한 결합조직(loose connective tissue)으로 이루어져 있습니다. |
| 외막에는 작은 혈관(vasa vasorum)과 신경섬유가 분포하며, 특히 큰 근육 동맥에서 잘 발달되어 있습니다. |



소동맥의 조직학 (Small Artery)
소동맥(Small artery)은 중간 크기 근육 동맥보다 더 작고, 세동맥(arteriole)보다는 큰 혈관으로, 조직과 장기 내부로 혈액을 분포시키는 역할을 합니다. 조직학적으로는 세포 수와 층이 감소하며, 점점 미세혈관계로 이행합니다.


✅ 소동맥은 내막, 중막, 외막의 세 층 구조를 유지하지만, 그 두께와 구성 요소는 중간 동맥에 비해 간소화되어 있습니다. 특히 중막의 민무늬근 층 수가 2~6층 정도로 감소합니다.
내막 (Tunica Intima)
| 내막 (Tunica Intima) |
| ✅ 내피세포로 구성된 단층 편평상피층과 얇은 기저막이 있으며, subendothelial layer는 거의 없거나 매우 얇습니다. 내부 탄성판(internal elastic lamina)은 존재하지만 두껍지 않고, 엷고 불연속적으로 관찰되는 경우가 많습니다. |




중막 (Tunica Media)
| 중막 (Tunica Media) |
| ✅ 중막은 2~6층의 민무늬근(smooth muscle cells)로 구성되어 있습니다. 혈관 수축과 이완을 조절하여 혈류의 흐름과 혈압을 조절하는 중요한 기능을 합니다. 탄성 섬유는 적거나 없습니다. |

외막 (Tunica Adventitia)
| 외막 (Tunica Adventitia) |
| ✅ 얇은 결합조직층으로 구성되어 있으며, 외부 탄성판은 관찰되지 않는 경우가 많습니다. 작은 혈관이므로 vasa vasorum은 존재하지 않습니다. |


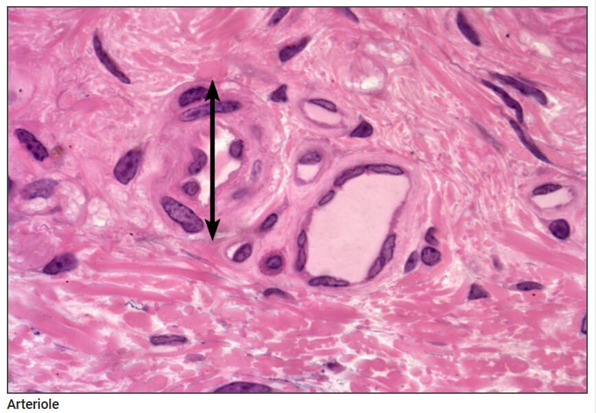
세동맥의 조직학 (Arteriole)
세동맥(Arteriole)은 소동맥보다 더 작고, 모세혈관(capillary)로 이어지는 직전 단계의 소혈관입니다. 말초 저항 조절 및 혈압 유지에 중요한 역할을 하며, 조직학적으로 구별되는 특징을 가집니다.


✅ 직경 100μm 이하의 혈관을 세동맥이라 하며, 크기에 따라 다음과 같이 분류됩니다:
– 50~100μm: 중간 크기 세동맥
– 15~50μm: 전형적인 세동맥
– 15μm 이하: 소세동맥(metarteriole)
✅ 세동맥은 내막, 중막, 외막의 세 층 구조를 유지하지만, 각 층이 매우 얇고 간단하게 구성됩니다. 중막의 민무늬근은 1~2층으로 줄어들며, 외막은 미약하거나 구분되지 않을 수 있습니다.
내막 (Tunica Intima)
| 내막 (Tunica Intima) |
| ✅ 단층 편평상피(endothelium)로 구성된 내피세포와 얇은 기저막이 존재합니다. Subendothelial layer는 없고, 내부 탄성판(internal elastic lamina)은 잘 발달되어 있지 않거나 존재하지 않는 경우가 많습니다. |




중막 (Tunica Media)
| 중막 (Tunica Media) |
| ✅ 1~2층의 민무늬근(smooth muscle cell)로 구성되며, 세동맥의 가장 핵심적인 구조입니다. 이 근육층은 혈관의 수축과 이완을 통해 혈류량과 말초 저항을 조절합니다. |



외막 (Tunica Adventitia)
| 외막 (Tunica Adventitia) |
| ✅ 얇은 결합조직으로 이루어져 있으며, 소혈관에서는 외막이 뚜렷하게 관찰되지 않을 수 있습니다. vasa vasorum이나 신경섬유는 일반적으로 관찰되지 않습니다. |


Resource
- All Images by Digital Histology.Virginia Commonwealth University. Licensed under CC BY-NC-SA 4.0.
