결장암 (Colon Cancer)

결장암(Colon Cancer)결장(Colon, 대장의 첫 1.5~2m 부위)에 발생하는 악성 종양으로, 대부분 선종성 용종에서 발생하는 선암입니다.

대부분 선종성 용종에서 시작되어 서서히 악성화되며, 조기 발견 시 완치 가능하지만 말기일 경우 예후가 나쁩니다.

결장암 (Colon Cancer)
점막에서 시작된 종양이 점차 장벽을 침범하고, 림프절 및 간, 폐 등으로 전이할 수 있습니다.

원인

유전적 요인과 환경적 요인이 복합적으로 작용합니다.

주요 원인
🔴 선종성 용종(Adenomatous polyps)
결장암의 대부분은 선종성 용종이 장기간 동안 악성화되면서 발생합니다.
🔴 유전적 요인(FAP, Lynch syndrome)
가족성 선종성 용종증(FAP), 유전성 비용종성 대장암(Lynch syndrome) 등이 고위험 요인입니다.
🔴 식이 및 생활습관
육류, 지방 위주의 식단과 섬유소 섭취 부족, 음주, 흡연 등이 위험을 높입니다.
🔴 염증성 장질환(IBD)
궤양성 대장염, 크론병 같은 만성 염증 질환이 장기적으로 암 위험을 증가시킵니다.

임상양상

결장암은 종양의 위치에 따라 임상 증상이 달라지며, 해부학적 구조와 대변의 형태가 영향을 줍니다.

우측은 출혈과 빈혈, 좌측은 폐색과 배변 이상이 두드러집니다.

우측 결장암 (Right-sided colon cancer)

맹장, 상행결장에 발생하며 대변이 묽고 장강이 넓어 폐색 증상은 적고, 전신증상이 두드러집니다.

우측 결장암 증상
🟨 철결핍성 빈혈
지속적인 장내 출혈로 인해 서서히 진행하는 빈혈이 발생합니다.
🟨 피로감 및 창백
빈혈이 누적되며 전신 쇠약감, 안색 창백 등이 동반됩니다.
🟨 체중 감소
암의 대사작용과 식욕 저하로 인해 점진적인 체중 감소가 발생합니다.
🟨 간혹 덩이 만져짐(Mass)
우측 복부는 장강이 넓어 종양이 커질 때까지 무증상으로 지내다가 복부 종괴가 만져질 수 있습니다.

좌측 결장암 (Left-sided colon cancer)

하행결장, S상결장에 발생하며 장강이 좁고 대변이 고형화되어 폐색 증상이 자주 나타납니다.

좌측 결장암 증상
🟥 변비 또는 배변 습관 변화
대변 통로가 좁아져 변비, 설사, 잔변감, 배변 간격 변화가 발생합니다.
🟥 혈변 또는 점액변
종양 표면이 헐어 출혈하며 선혈 또는 점액이 섞인 대변이 나타날 수 있습니다.
🟥 복부 팽만 및 복통
종양에 의한 부분 장폐색으로 가스가 정체되고 복통이 발생합니다.
🟥 장폐색
좌측 대장은 직경이 좁아 폐색이 잘 발생하며, 구토와 복부팽만으로 진행될 수 있습니다.

진단

대장내시경이 가장 중요한 진단 도구이며, 병기 확인을 위해 영상검사와 병리검사가 병행됩니다.

진단 방법
🔵 대장내시경(Colonoscopy)
직접 병변을 관찰하고 생검을 통해 확진할 수 있습니다.
🔵 조직검사(Biopsy)
선암(adenocarcinoma) 여부를 확인하여 병리학적 확진을 내립니다.
🔵 CT/MRI
국소 침윤 여부와 간, 폐 등 전이 병소를 평가합니다.
🔵 CEA 수치
암태아성항원(CEA)은 치료 전후 예후 및 재발 모니터링에 사용됩니다.

결장암에서 확인하는 주요 검사 수치

결장암은 영상 및 조직 검사 외에도 혈액 내 종양표지자 및 분자 생물학적 마커를 활용해 진단 및 치료반응, 재발 여부를 모니터링합니다.

🔴 CEA (Carcinoembryonic Antigen)
결장암의 가장 대표적인 종양표지자입니다. 정상치는 보통 < 5 ng/mL이며, 암이 진행될수록 수치가 상승합니다. 수술 전·후 변화나 재발 추적에 활용됩니다.
🔴 CA 19-9
주로 췌장암에서 사용되지만 일부 결장암에서도 상승할 수 있으며, 예후 평가에 참고됩니다.
🔴 Hb (Hemoglobin)
우측 결장암에서 만성 출혈로 인해 빈혈이 흔하며, 저혈색소성 빈혈이 나타납니다.
🔴 철분/Ferritin
만성 출혈성 빈혈이 있는 경우 낮은 혈청 철분과 낮은 ferritin 수치가 관찰됩니다.
🔴 KRAS / NRAS / BRAF 변이
EGFR 억제제(cetuximab, panitumumab) 사용 여부를 결정하는 분자유전학적 검사입니다. 변이가 없는 경우에만 치료 효과가 있습니다.
🔴 MSI / dMMR (Microsatellite Instability / DNA Mismatch Repair)
고빈도 MSI-H 또는 dMMR은 면역관문억제제 치료의 적응증이며, Lynch syndrome 스크리닝에도 활용됩니다.

영상소견

결장암의 영상소견은 진단, 병기 설정, 수술계획 수립에 필수적이며 검사 종류마다 고유의 소견이 존재합니다.

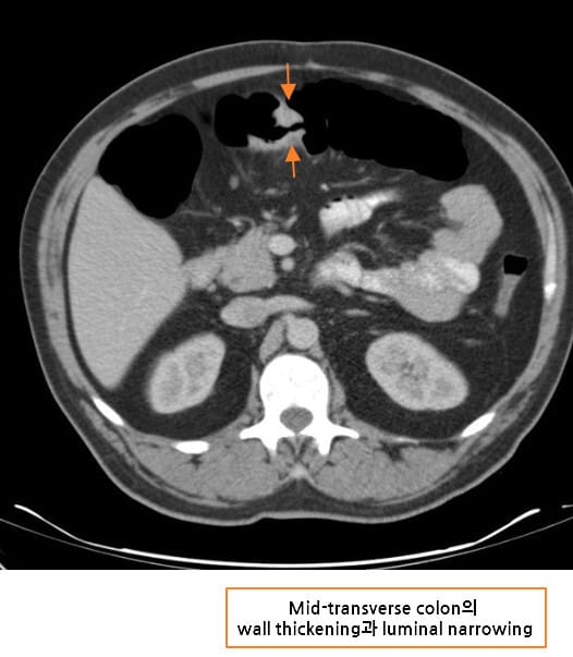
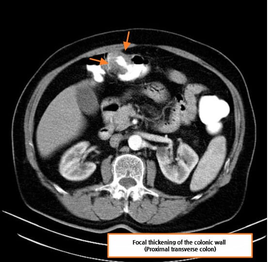
CT 소견 (Contrast-enhanced CT)
🔵 장벽 비후 (Bowel wall thickening)
암 부위의 장벽이 국소적으로 두꺼워지며, 조영증강되는 불균일한 덩어리로 관찰됩니다.
🔵 주위 지방 침윤
장 주변 지방조직에 염증 또는 종양 침윤이 퍼지며 음영이 흐려지는 소견입니다.
🔵 림프절 종대
단일 또는 다수의 림프절이 비대해져 전이 가능성을 시사합니다.
🔵 Annular constricting mass
암이 장을 원형으로 둘러싸며 협착을 유발하는 고전적 폐색 패턴입니다.
🔵 Target sign
3층 구조의 장벽(점막-부종-장막)이 보이며, 침윤성 병변에서 관찰됩니다.

Kim, S. W., Shin, H. C., Kim, I. Y., Kim, Y. T., & Kim, C.-J. (2010). CT findings of colonic complications associated with colon cancer. Korean Journal of Radiology, 11(2), 211–221. https://doi.org/10.3348/kjr.2010.11.2.211
Kim, S. W., Shin, H. C., Kim, I. Y., Kim, Y. T., & Kim, C.-J. (2010). CT findings of colonic complications associated with colon cancer. Korean Journal of Radiology, 11(2), 211–221. https://doi.org/10.3348/kjr.2010.11.2.211
Kim, S. W., Shin, H. C., Kim, I. Y., Kim, Y. T., & Kim, C.-J. (2010). CT findings of colonic complications associated with colon cancer. Korean Journal of Radiology, 11(2), 211–221. https://doi.org/10.3348/kjr.2010.11.2.211
Kim, S. W., Shin, H. C., Kim, I. Y., Kim, Y. T., & Kim, C.-J. (2010). CT findings of colonic complications associated with colon cancer. Korean Journal of Radiology, 11(2), 211–221. https://doi.org/10.3348/kjr.2010.11.2.211
Hidayatov A, Apple core sign in colon cancer. Case study, Radiopaedia.org (Accessed on 15 Jul 2025) https://doi.org/10.53347/rID-53421
Di Muzio B, Colon adenocarcinoma. Case study, Radiopaedia.org (Accessed on 15 Jul 2025) https://doi.org/10.53347/rID-15157
Niknejad M, Colon cancer. Case study, Radiopaedia.org (Accessed on 15 Jul 2025) https://doi.org/10.53347/rID-87193
Niknejad M, Colon cancer. Case study, Radiopaedia.org (Accessed on 15 Jul 2025) https://doi.org/10.53347/rID-87193
Kim, S. W., Shin, H. C., Kim, I. Y., Kim, Y. T., & Kim, C.-J. (2010). CT findings of colonic complications associated with colon cancer. Korean Journal of Radiology, 11(2), 211–221. https://doi.org/10.3348/kjr.2010.11.2.211
Kim, S. W., Shin, H. C., Kim, I. Y., Kim, Y. T., & Kim, C.-J. (2010). CT findings of colonic complications associated with colon cancer. Korean Journal of Radiology, 11(2), 211–221. https://doi.org/10.3348/kjr.2010.11.2.211
Abdrabou A, Carcinoma of sigmoid colon. Case study, Radiopaedia.org (Accessed on 15 Jul 2025) https://doi.org/10.53347/rID-23071
Abdrabou A, Carcinoma of sigmoid colon. Case study, Radiopaedia.org (Accessed on 15 Jul 2025) https://doi.org/10.53347/rID-23071
바륨관장(Barium enema) 소견
🔴 Apple core sign (사과껍질 징후)
중앙이 좁아진 고리 형태의 협착으로, 전형적인 결장암 소견입니다.
🔴 Shoulderring sign
병변 양쪽 경계가 불규칙하게 어깨처럼 돌출되어 보이며, 암의 침윤을 시사합니다.


Niknejad M, Apple core sign (colon). Case study, Radiopaedia.org (Accessed on 15 Jul 2025) https://doi.org/10.53347/rID-85460

Al Salam H, Sigmoid colon adenocarcinoma. Case study, Radiopaedia.org (Accessed on 15 Jul 2025) https://doi.org/10.53347/rID-10067

PET-CT 소견
🔵 Hot spot
암 부위가 FDG를 강하게 섭취하며 밝게 빛나는 병소로 나타납니다.
🔵 원격 전이 평가
간, 폐, 림프절 등 전이 병소의 고대사 영역을 확인할 수 있습니다.

Ibrahim D, Cecal cancer (PET-CT). Case study, Radiopaedia.org (Accessed on 15 Jul 2025) https://doi.org/10.53347/rID-91093

내시경 소견

대장내시경은 병변의 형태를 직접 관찰하고 조직검사를 시행할 수 있습니다.

대장내시경에서 관찰되는 결장암의 소견
🔵 비정상적 돌출 병변
선종성 용종 또는 융기된 종괴가 보이며, 표면이 불규칙하고 출혈이 동반될 수 있습니다.
🔵 궤양성 병변
중앙이 함몰되고 가장자리가 융기된 궤양 형태로, 진행암에서 흔히 보입니다.
🔵 협착성 병변 (Annular type)
장강을 둘러싸듯 좁히는 병변으로, 내시경 통과가 어려운 경우도 있습니다.
🔵 출혈 및 삼출물
조직이 약하고 쉽게 출혈하며, 표면에 백태나 삼출물이 덮인 경우도 있습니다.
🔵 불규칙한 혈관 패턴
정상 점막에 비해 미세혈관 구조가 파괴되고, 비정상적 혈관 증식이 보일 수 있습니다.

By డా. గన్నవరపు నరసింహమూర్తి – Own work, CC0, https://commons.wikimedia.org/w/index.php?curid=167754495
By Federica Viazzi (AO AL) – Own work, CC BY-SA 4.0, https://commons.wikimedia.org/w/index.php?curid=128098830
By డా. గన్నవరపు నరసింహమూర్తి – నా రోగికి బృహదాంత్ర అంతర్దర్శన ( Colonoscopy) పరీక్ష చేసి తీసిన ఛాయాచిత్రం., CC0, https://commons.wikimedia.org/w/index.php?curid=146334476

병기 (AJCC 8판 기준)

결장암의 병기는 TNM 분류를 기준으로 하며, 병기별 치료 방침과 예후가 다릅니다.

T 병기 (원발 종양 침범 깊이)
🔵 Tis
점막층에 국한됨
🔵 T1
점막하층(submucosa)에 국한됨
🔵 T2
고유근층(muscularis propria)까지 침범
🔵 T3
고유근층을 넘어 대장 주위 지방층(pericolorectal tissue)까지 침범
🔵 T4a
장막(visceral peritoneum)을 침범
🔵 T4b
근처 장기 또는 구조물까지 직접 침범

N 병기 (림프절 전이)
🔵 N1
주위 림프절 1~3개 전이
🔵 N2
주위 림프절 4개 이상 전이

M 병기 (원격 전이)
🔵 M0
원격 전이 없음
🔵 M1
간, 폐, 복막 등 원격 전이 있음

통합 병기 분류

Image by Servier Medical Arts , Licensed Under CC BY 4.0, https://smart.servier.com/

AJCC TNM 8판
🔵 Stage I : T1~T2 N0 M0
암이 장벽의 점막~근육층까지 침범. 림프절 전이 없음. 수술
🔵 Stage II : T3~T4 N0 M0
암이 장벽을 넘어 장막 또는 인접 장기로 침범. 림프절 전이 없음. 고위험군은 수술 후 항암 고려.
🔵 Stage III: 모든 T, N1~2, M0
암이 림프절로 전이됨. 수술 + 보조 항암치료(FOLFOX 등) 필요.
🔵 Stage IV : 모든 T, 모든 N, M1 (원격 전이 존재)
간, 폐 등 원격 전이가 있는 경우. 항암, 수술(경우에 따라 절제), 표적치료 등 복합 치료 필요.

치료

결장암의 기본 치료는 병변 및 전이 병소의 완전 절제입니다. 병기와 위험 인자에 따라 항암화학요법을 병합합니다.

Stage I

🔵 치료 원칙
근치적 수술 후 경과 관찰
🔵 내시경 절제 가능 사례
cT1N0M0 중에서 고위험 소견 없을 경우
(예: well differentiated, 무 림프혈관 침범 등)
🔵 고위험군에서 수술 필요
저분화/미분화, 림프혈관침범, 점막하 침범 깊이 > 1000μm, 절제연 양성 시 수술적 절제 필요

Stage II

🔵 치료 원칙
근치적 수술 ± 보조 항암요법
🔵 보조항암요법 대상
고위험 인자(저분화, 림프혈관침범, T4 등) 있는 경우 시행

Stage III

🔵 치료 원칙
근치적 수술 + 보조 항암화학요법 (FOLFOX 또는 CAPEOX)

Stage IV (원격 전이)

🔵 절제가 가능한 경우 (간/폐 전이)
결장 절제 + 전이 병소 절제 + 보조 항암요법
🔵 복막 전이, 절제 불가능한 경우
고식적 항암화학요법 중심, 폐색 시 완화수술(스텐트, 장루 등) 병행
🔵 재발 또는 후발 전이 (metachronous)
절제 가능 시: 전이 병변 절제 + 항암 / 불가능 시: 항암치료

수술 방법 (암 위치에 따라)

🔷 우측 결장암
Right hemicolectomy (우측결장절제술)
🔷 좌측 결장암
Left hemicolectomy (좌측결장절제술)
🔷 S자결장
전방절제술 (Anterior resection, Sigmoidectomy)

항암화학요법

💊 Stage II~III (보조항암)
FOLFOX (5-FU + Leucovorin + Oxaliplatin) 또는 CAPEOX (Capecitabine + Oxaliplatin)
💊 Stage IV – 절제 가능 할 때
FOLFOX 또는 CAPEOX ± 절제
💊 Stage IV – 절제 불가 할 때
FOLFOX, FOLFIRI, FOLFIRINOX, CAPEOX ± Bevacizumab (VEGF 억제제)
💊 EGFR 억제제 사용 가능군
KRAS/NRAS/BRAF 음성 + 좌측결장암에서: FOLFOX/FOLFIRI ± Cetuximab 또는 Panitumumab

예후

조기 발견 시 5년 생존율이 높지만, 전이된 경우 예후가 나쁩니다.

예후
Stage I은 5년 생존율 90% 이상으로 예후가 매우 좋습니다.
Stage IV 전이성 결장암은 5년 생존율이 약 10~15% 수준입니다.

생활 관리

정기검진과 식이, 운동, 금연이 재발 예방과 예후 개선에 중요합니다.

생활 관리 수칙
🟨 정기 대장내시경
수술 후 1년, 이후 3~5년 간격으로 용종 및 재발 유무를 확인합니다.
🟨 고섬유·저지방 식이
식이섬유가 풍부한 식단은 재발률을 낮추는 데 도움이 됩니다.
🟨 금연 및 절주
흡연과 음주는 결장암 재발과 새로운 종양 발생 위험을 높입니다.