
담석증 (Cholelithiasis, GB stone)
Cholelithiasis, GB stone , Biliary Stone
담석증 (Cholelithiasis)은 담낭이나 담도 내에 콜레스테롤, 빌리루빈, 칼슘 등이 침착되어 고형물(담석)이 형성되는 질환입니다. 대부분 무증상이지만, 담석이 이동하거나 담관을 막으면 통증이나 염증 등 다양한 증상이 발생합니다.
담즙 성분의 불균형, 담즙 정체, 염증 등의 요인으로 담낭 내에서 고형의 담석이 형성되는 상태를 말합니다.
| 질환의 정의 |
| ✅ 담낭이나 담도에 콜레스테롤 또는 색소성 물질이 침착되어 결석을 형성하는 질환으로, 무증상이 많지만 담관을 막으면 통증과 염증이 발생합니다. |
담낭

담낭은 간에서 분비된 담즙을 저장·농축하는 기관으로, 지방 소화 시 십이지장으로 담즙을 배출합니다. 이 담즙 내 성분이 불균형하거나 정체되면 담석이 형성될 수 있습니다.
임상양상

담석증 (Cholelithiasis)은 무증상이 많으며, 증상이 있는 경우 간헐적인 우상복부 통증이 특징입니다. 담석의 이동 및 담낭/담관 자극 여부에 따라 증상이 나타납니다.
| 임상양상 |
| 🟨 무증상 |
| 담석이 담낭 내에 머물며 담관을 막지 않으면 염증이나 통증이 발생하지 않습니다. |
| 🟨 우상복부 간헐적 통증 (산통) |
| 담석이 담낭관이나 총담관을 일시적으로 막아 담즙이 정체되고 담낭이 수축하면서 통증이 발생합니다. |
| 🟨 식후 수십 분 내 통증 발생 |
| 지방 섭취 후 CCK 분비로 담낭이 수축하며 담석이 관을 자극하게 됩니다. |
| 🟨 등 또는 견갑골 쪽으로 방사되는 통증 |
| 담낭 신경이 상복부 외측 및 등 부위로 연결되어 있어 연관통이 나타납니다. |
| 🟨 구역감 및 구토 |
| 담도 자극으로 위장 운동이 영향을 받아 소화기계 증상이 동반됩니다. |
| 🟨 발열, 백혈구 증가 |
| 담낭염이나 담관염으로 진행 시 염증 반응에 의해 전신 증상이 발생합니다. |
원인/위험요인
담즙 성분의 변화(콜레스테롤 증가 등), 담즙 흐름 장애, 감염 등이 담석 형성에 관여합니다.
| 원인/위험요인 |
| 🔴 여성 |
| 에스트로겐이 담즙 내 콜레스테롤 농도를 증가시키고, 담낭 운동을 저하시켜 담즙 정체를 유발합니다. |
| 🔴 비만 |
| 간에서 콜레스테롤 생성이 증가하고, 담즙 내 콜레스테롤 농도가 상승합니다. |
| 🔴 급격한 체중 감소 또는 금식 |
| 지방 섭취 부족으로 담즙 분비 자극이 줄고, 담즙 정체로 인해 침전이 촉진됩니다. |
| 🔴 다산력 |
| 임신 중 호르몬 변화로 담낭 운동성이 감소하고, 콜레스테롤 포화도가 증가합니다. |
| 🔴 용혈성 빈혈 |
| 헤모글로빈 분해 증가로 빌리루빈 농도가 높아져 색소성 담석이 생성됩니다. |
| 🔴 간경변 |
| 담즙 생성과 배출이 저하되어 담즙 정체와 결석 형성이 증가합니다. |
진단/검사
담석증 (Cholelithiasis)의 진단은 주로 초음파 검사로 이루어지며, 필요 시 CT, MRI, 내시경 등을 활용합니다. 혈액검사는 간기능과 염증 여부를 확인합니다.
| 진단/검사 |
| 🔵 복부 초음파 |
| 담낭 내 고에코 음영(담석)과 후방 음영(shadowing) 확인 가능하며, 1차 진단에 가장 민감하고 비침습적입니다. |
| 🔵 복부 CT |
| 염증, 천공, 담낭 벽 비후 및 담낭 외 구조 확인에 유리하지만, 일부 담석은 CT에 보이지 않을 수 있습니다. |
| 🔵 MRCP (자기공명 담도조영술) |
| 담도 내 담석, 담관 확장, 담도 폐쇄 등의 평가에 유용하며 비침습적입니다. |
| 🔵 ERCP (내시경 역행성 담췌관조영술) |
| 담관 결석 진단과 동시에 제거가 가능하나, 침습적이므로 치료 목적일 때 사용됩니다. |
| 🔵 혈액검사 |
| AST, ALT, ALP, 빌리루빈, 백혈구 수치 등을 통해 간기능, 담도 폐쇄, 감염 여부를 평가합니다. |
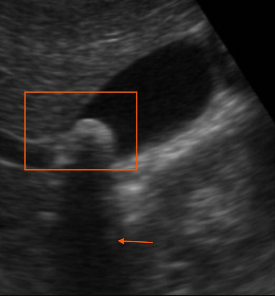
초음파 소견상 특징

- Hyperechoic stone
- Posterior Acoustic Shadowing
영상 소견상 특징

- Calcified focus in GB
- Dilatition of Extrahepatic ducts (CBD는 20mm로 측정됨)
영상 소견상 특징

- Coronal T2 Fat sat
- MR image reveals stones appearing as hypointense material within the hyperintense bile.
치료
무증상 담석은 대부분 관찰만 하지만, 증상이 있거나 합병증이 발생한 경우에는 적극적인 치료가 필요합니다.
약물 치료
콜레스테롤 담석에 한해 약물로 용해를 시도할 수 있으며, 급성 담낭염이 동반된 경우 항생제나 진통제를 병용합니다.
| 약물 치료 |
| 💊 우르소데옥시콜산(UDCA) |
| 콜레스테롤 담석을 용해하는 경구약으로, 수개월 이상 장기 복용 필요하며 재발률이 높습니다. |
| 💊 진통제 및 항생제 |
| 담낭염이 의심될 경우 염증 조절 및 감염 예방을 위해 사용됩니다. |
수술 치료
증상이 있는 담석이나 합병증이 있는 경우 복강경 담낭절제술이 표준 치료입니다.
| 수술 치료 |
| 🔵 복강경 담낭절제술 |
| 최소 침습적으로 시행되며 회복이 빠르고 합병증이 적어 표준 수술법으로 사용됩니다. |
| 🔵 개복 담낭절제술 |
| 복강경이 어려운 경우나 담낭 천공, 중증 감염 시 시행됩니다. |
치료 접근 전략
증상의 유무, 담석의 위치, 합병증 여부에 따라 치료 방향이 달라집니다.
| 치료 접근 전략 |
| – 무증상 담석: 대부분 경과 관찰, 고위험군은 수술 고려 |
| – 증상 있는 담석: 복강경 담낭절제술 권장 |
| – 수술 금기 환자: UDCA 경구 용해 요법 고려 |
| – 총담관 결석 (CBD stone) 동반: ERCP로 제거 후 수술 시행 |
예후
무증상인 경우 예후는 양호한 편이며, 수술 치료 시 재발률은 매우 낮습니다. 다만 담낭염, 담관염, 췌장염으로 진행할 시 문제가 복잡해집니다.
| 예후 |
| ✅ 무증상 담석은 평생 증상 없이 지낼 수 있습니다. |
| ✅ 수술 치료 후 재발 거의 없으며, 삶의 질이 향상됩니다. |
| ❗ 담낭염, 담관염, 췌장염 등으로 진행 시 더 심화 |
생활습관
담석 예방을 위해 식이습관 및 체중조절이 중요하며, 급격한 체중 변화는 피하는 것이 좋습니다.
| 생활수칙 |
| 지방 섭취는 과하지 않게 유지하며 식이섬유를 늘리기. |
| 갑작스러운 다이어트나 단식은 피하고 서서히 체중을 감량하기 |
| 규칙적인 식사와 운동으로 담낭 수축 기능을 유지 |
| 여성호르몬 치료 중일 경우 담당 의사와 상담 필요 |

