갑상선암 (Thyroid Cancer)

갑상선암(Thyroid Cancer)은 다양한 조직학적 아형에 따라 병의 진행 속도, 전이 양상, 치료 반응성, 생존율이 크게 달라집니다. 가장 대표적인 아형은 유두암, 여포암, 수질암, 역형성암으로 나뉩니다.

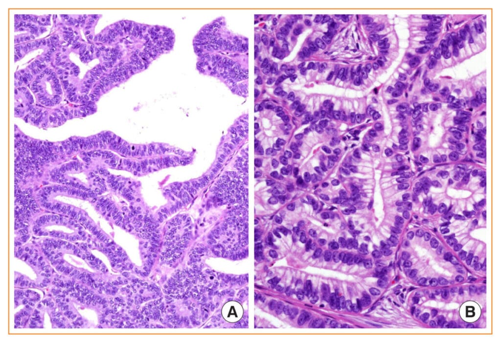
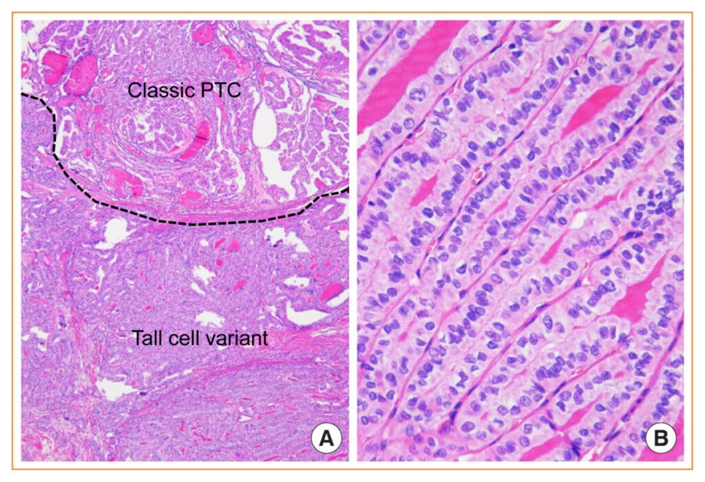
유두암 (Papillary Thyroid Carcinoma)

유두암은 갑상선암 중 가장 흔하게 발생하는 아형으로 전체 갑상선암의 약 80%를 차지합니다. 주로 젊은 연령층에서 발생하며, 림프절 전이는 흔하지만 전신 전이는 드물고, 치료 후 장기 생존율이 높은 것이 특징입니다. 방사선 노출력이 있는 경우 발병 위험이 높아지며, 조기 발견 시 수술로 완치율이 높습니다.

병리학적 특징
🟦 Orphan Annie eye nucleus, psammoma body, papillary 구조
투명하고 비어 보이는 핵, 모래알처럼 작은 석회화, 유두 형태 성장이 특징

By Mikael Häggström, M.D. Author info– Own work, CC0, https://commons.wikimedia.org/w/index.php?curid=121836928
CC BY-SA 3.0, https://commons.wikimedia.org/w/index.php?curid=502859
Bai, Y., Kakudo, K., & Jung, C. K. (2020). Updates in the pathologic classification of thyroid neoplasms: A review of the World Health Organization classification. Endocrinology and Metabolism, 35(4), 696–715. https://doi.org/10.3803/EnM.2020.807 , Lisenced under CC BY-NC 4.0

Bai, Y., Kakudo, K., & Jung, C. K. (2020). Updates in the pathologic classification of thyroid neoplasms: A review of the World Health Organization classification. Endocrinology and Metabolism, 35(4), 696–715. https://doi.org/10.3803/EnM.2020.807 , Lisenced under CC BY-NC 4.0

전이 양상
🟧 림프절 전이 우세
주로 경부 림프절로 전이되며, 림프절 전이 여부는 예후에 큰 영향을 미치지 않습니다.

예후
10년 생존율 >95%
적절한 치료 시 장기 생존율이 매우 높아 좋은 예후를 보입니다.

여포암 (Follicular Thyroid Carcinoma)

여포암은 갑상선암 중 두 번째로 흔한 형태로, 주로 중장년층에서 발생합니다. 유두암과는 달리 림프절 전이는 드물고, 혈류를 통해 폐나 뼈로 전이되는 경향이 있습니다. 조직학적으로 혈관이나 피막 침범 여부를 기준으로 악성 여부를 판단하며, 방사성 아이오딘 치료에 잘 반응하는 경우 예후가 좋습니다.

병리학적 특징
🟦 소포 구조 유지, 핵 이상은 적음
소포 양상의 성장이 특징이며, 유두암과 달리 명확한 핵 변형은 관찰되지 않습니다.

  • Follicle (소포양상)을 보입니다.
By Yale Rosen from USA – Metastatic follicular thyroid carcinoma – Case 264Uploaded by CFCF, CC BY-SA 2.0, https://commons.wikimedia.org/w/index.php?curid=31127095
By Nephron – Own work, CC BY-SA 4.0, https://commons.wikimedia.org/w/index.php?curid=72323953

전이 양상
🟧 혈행성 전이 우세
폐, 뼈와 같은 원격 장기로 전이되는 경향이 강합니다.

예후
10년 생존율 약 85~90%
방사성 요오드 치료 반응성이 좋아 조기 치료 시 양호한 경과를 기대할 수 있습니다.

수질암 (Medullary Thyroid Carcinoma)

수질암갑상선의 C세포(부여포세포)에서 발생하는 드문 아형으로, 전체 갑상선암의 약 5%를 차지합니다. 칼시토닌(Calcitonin)을 분비하는 기능성 종양이며, 아밀로이드 침착이 관찰됩니다. 가족성(MEN 2형) 산발성 형태로 나뉘며, 방사성 아이오딘 치료에는 반응하지 않아 주로 수술을 진행합니다.

병리학적 특징
🟦 칼시토닌 양성, 아밀로이드 침착
칼시토닌 분비가 증가하며, 병리조직검사상 아밀로이드 물질이 축적되어 관찰됩니다.

By Sarahkayb – Own work, CC BY-SA 4.0, https://commons.wikimedia.org/w/index.php?curid=39155085

전이 양상
🟧 림프절 및 간, 폐, 뼈 전이
림프절뿐 아니라 혈행을 통해 다양한 장기로 전이할 수 있습니다.

예후
5년 생존율 약 70~80%
조기 발견 시 예후가 비교적 좋지만, 진행성 경우 예후가 나빠질 수 있습니다.

역형성암 (Anaplastic Thyroid Carcinoma)

역형성암은 갑상선암 중 가장 드물지만 가장 치명적인 형태로, 매우 빠른 성장 속도와 강한 침습성을 보입니다. 주로 고령에서 발생하며, 진단 시 이미 국소 침습 또는 원격 전이가 흔하게 발생합니다. 대부분 수술이 어렵고 항암화학요법과 방사선 치료를 병합하지만, 평균 생존 기간이 매우 짧습니다.

병리학적 특징
🟦 고도로 미분화된 세포, 광범위한 괴사
세포 형태가 다양하고 비정형적이며, 조직 내 괴사가 흔하게 나타납니다.

By Nephron – Own work, CC BY-SA 3.0, https://commons.wikimedia.org/w/index.php?curid=8298744

Bai, Y., Kakudo, K., & Jung, C. K. (2020). Updates in the pathologic classification of thyroid neoplasms: A review of the World Health Organization classification. Endocrinology and Metabolism, 35(4), 696–715. https://doi.org/10.3803/EnM.2020.807 , Lisenced under CC BY-NC 4.0

전이 양상
🟧 국소 침습 및 빠른 전이
기도, 식도, 경부 혈관으로 침범하거나 폐, 뼈로 빠르게 전이됩니다.

예후
평균 생존 기간 6개월 이내
진단 시 이미 진행되어 있어 예후가 매우 불량합니다.

Resource

  • Bai, Y., Kakudo, K., & Jung, C. K. (2020). Updates in the pathologic classification of thyroid neoplasms: A review of the World Health Organization classification. Endocrinology and Metabolism, 35(4), 696–715. https://doi.org/10.3803/EnM.2020.807 , Lisenced under CC BY-NC 4.0