
긴장성 기흉 (Tension Pneumothorax)
Tension Pneumothorax
: 공기가 흉막강에 들어온 뒤 빠져나가지 못하고 계속 축적되어, 폐는 눌려서 허탈되고 심장 및 대혈관까지 압박하게 됩니다.

Tension Pneumothorax는 흉막강에 공기가 일방향으로 지속 유입되어 압력이 상승하면서 폐가 붕괴되고, 반대쪽으로 심장과 종격동이 밀리면서 생명을 위협하는 응급 질환입니다.
| 긴장성 기흉 (Tension pneumothorax) |
| 🟦 공기가 일방향으로 흉강에 쌓이면서 압력이 상승하고, |
| 🟦 폐와 심장을 눌러서 순환장애를 유발 |
기흉과 흉강에 대한 설명은 아래 포스트에서 자세히 다뤘습니다 🙂
원인
흉부 외상, 기계 환기 중 폐 손상, 자발성 기흉 등에서 공기 누출 부위가 일방향 밸브처럼 작용하면 긴장성 기흉이 발생할 수 있습니다.
| 주요 원인 |
| 🔴 외상성 기흉 (Traumatic pneumothorax) |
| 총상, 자상, 늑골골절 등으로 폐에 손상이 생기면서 공기가 흉강에 들어갑니다. |
| 🔴 기계적 환기 (Mechanical ventilation) |
| 양압 환기 중 폐포가 파열되면, 공기가 흉강으로 유입될 수 있습니다. |
| 🔴 자발성 기흉의 악화 (Exacerbation of spontaneous pneumothorax) |
| 기존 기흉이 일방향 밸브처럼 작용하면서 흉강 압력이 비정상적으로 증가합니다. *일방향 밸브 : 공기가 한쪽 방향으로만 흐르는 , 즉 공기가 빠져나가지 못한다는 뜻입니다. |
임상양상
급성 호흡부전, 저혈압, 청색증 등의 증상이 급격하게 나타납니다.
환자는 호흡곤란과 흉통을 호소하고, 의식 저하 또는 심정지로 빠르게 진행할 수 있습니다.
| 증상 및 징후 |
| 🟨 갑작스러운 호흡곤란과 흉통 |
| 폐가 압박되어 환기가 어려워지고, 늑막 자극으로 날카로운 흉통이 발생합니다. |
| 🟨 저혈압 및 빈맥 |
| 심장과 대정맥이 눌리면서 심박출량이 감소하고, 반사적으로 심박수가 증가합니다. |
| 🟨 편측 흉부 팽창 소실 |
| 기흉이 발생한 쪽 흉벽 움직임이 줄어들고, 청진 시 호흡음이 감소합니다. |
| 🟨 경정맥 팽창 |
| 대정맥이 눌리면서 정맥 환류가 막혀 경정맥이 부풀어 오릅니다. |
| 🟨 심한 경우 의식 저하 및 심정지 |
| 심한 순환 부전으로 뇌혈류가 감소하여 의식을 잃을 수 있으며, 즉시 처치하지 않으면 심정지로 진행합니다. |
진단
진단은 임상적으로 빠르게 내려야 하며, 영상검사는 필요 시 보조적으로 사용합니다.
| 🔵 임상진단 (Clinical diagnosis) |
| 환자의 급성 호흡곤란, 저혈압, 호흡음 소실, 편측 흉부 팽창 저하 등의 소견만으로도 즉시 진단하고 치료를 시작해야 합니다. |
| 🔵 흉부 X선 (Chest X-ray) |
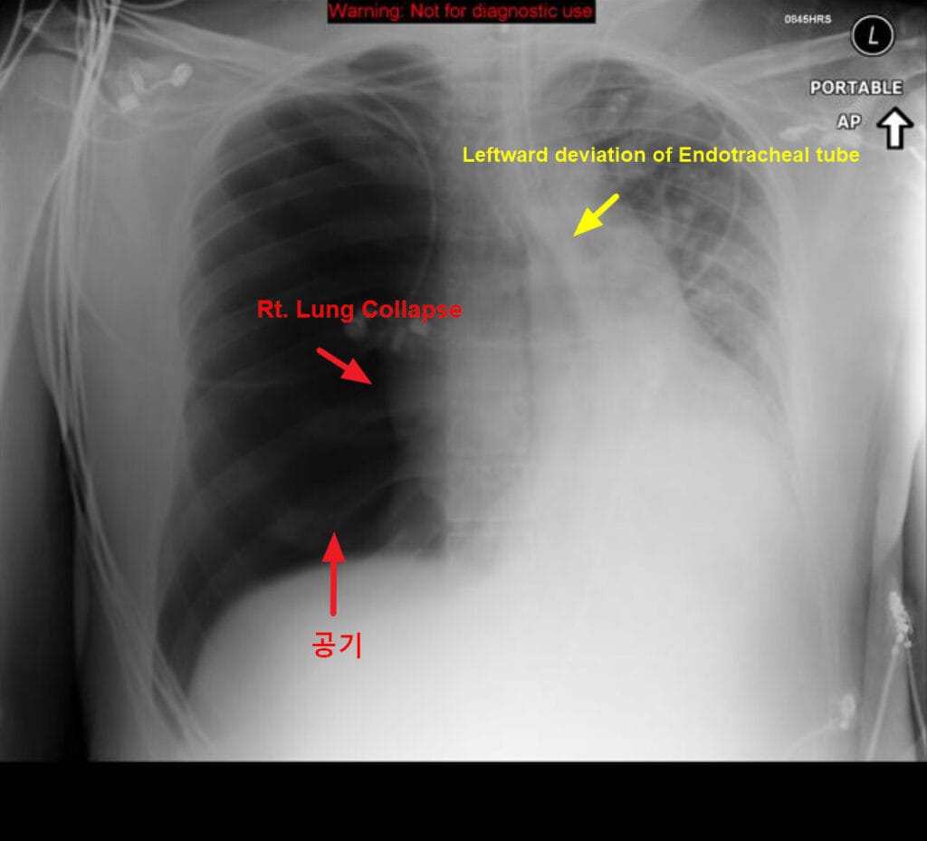
| 긴장성 기흉이 의심되는 경우 치료 후 확인 목적으로 촬영하며, 종격동 편위와 폐 허탈 소견이 나타납니다. |

긴장성 기흉의 종격동 편위와 폐허탈 소견을 간결하게 설명한 그림이 있어 가져와봤습니다 🙂

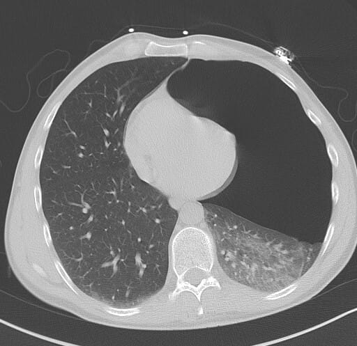
CT에선 이렇게 보입니다.

| 🔵 초음파 (FAST or eFAST) |
| Point-of-care 초음파로 lung sliding이 소실된 것을 빠르게 확인할 수 있습니다. |
기흉의 초음파 소견 (M-mode)
- Seashore sign : 정상 소견 , 파도 모양 (~~~)

- Barcode Sign : 비정상 소견, 바코드 모양 (===)

치료
가장 중요한 것은 즉각적인 감압 처치를 시행하여 심폐 기능을 회복시키는 것입니다.
의심되면 즉시 치료하라는 “Treat first, confirm later” 원칙을 따릅니다.
응급 처치
치료는 흉부 천자(decompression)와 흉관 삽입(chest tube insertion)으로 구성됩니다.
| 응급 처치 |
| 🔵 바늘 감압술 (Needle decompression) |
| 2번째 늑간, 쇄골 중앙선 위치에 굵은 바늘(14G)을 삽입하여 공기를 뺍니다. (2nd ICS , Midclavicular line) |
| 최근에는 제5늑간, 액와선(anterior axillary line) 위치를 사용하는 경우도 늘고 있습니다. – 비만 환자에서는 쇄골 중앙선 접근이 어려움 – 기흉 감압 실패율이 2nd ICS보다 낮다는 연구 결과도 있음 |


| 🔵 흉관 삽입 (Tube thoracostomy) |
| 감압 후에는 5번째 늑간, 중간 액와선에 흉관을 삽입하여 지속적으로 공기를 배출합니다. |

예후
빠르게 감압하고 흉관을 삽입하면 대부분 회복 가능하지만, 치료가 지연되면 생명을 위협합니다.
| 예후 |
| 🟧 초기 처치를 신속히 시행하면 예후는 좋습니다. |
| 🟧 치료가 지연되면 저산소증과 심정지로 사망에 이를 수 있습니다. |
생활 관리
재발 예방과 위험 요인 관리를 위해 생활 습관 개선이 필요합니다.
| 생활 관리 수칙 |
| 🟨 고도에서의 활동 주의 |
| 압력 변화가 심한 비행기, 스쿠버다이빙 등의 활동은 피하는 것이 좋습니다. |
| 🟨 흡연 금지 |
| 흡연은 폐포 파열의 위험을 높이므로 반드시 중단해야 합니다. |
| 🟨 적절한 폐 질환 관리 |
| 기저 폐 질환(Bullae, COPD 등)을 꾸준히 치료하고 추적 관찰하는 것이 중요합니다. |



