
골육종 (Osteosarcoma)
골육종은 뼈에서 발생하는 대표적인 원발성 악성 종양으로, 주로 성장기 청소년의 장골에서 발생하며 조기 전이가 흔한 악성 종양입니다.
원인
| 🔴 빠른 골 성장기 |
| 성장기 청소년에서 빠른 골 형성 과정 중 돌연변이가 발생할 수 있습니다. |
| 🔴 유전적 요인 (예: RB1, TP53 돌연변이) |
| 망막모세포종(Retinoblastoma) 등의 유전 질환과 연관된 돌연변이로 인해 골육종 발생 위험이 증가합니다. |
| 🔴 이전 방사선 치료 병력 |
| 어릴 적 방사선 치료를 받은 부위에서 골육종이 발생할 수 있습니다. |
임상양상
환자는 보통 무릎 주변의 통증과 붓기를 호소하며, 통증은 밤에도 지속되는 양상입니다.

증상 및 징후
| 🟨 지속적인 뼈 통증 |
| 특히 대퇴골 원위부나 경골 근위부에 발생하며, 야간에도 통증이 지속됩니다. |
| 🟨 국소 부종 및 압통 |
| 환자는 해당 부위에 붓기와 통증을 느끼며, 열감이 동반되기도 합니다. |
| 🟨 병적 골절 |
| 종양 부위의 뼈가 약해져 외상 없이도 골절이 발생할 수 있습니다. |
검사상 소견
혈액 검사
| 🔵 ALP 및 LDH 수치 상승 |
| 종양의 활동성과 관련이 있으며 예후와 관련됩니다. |
영상 검사
| X-ray 소견 |
| Metaphysis(골간단) 부위에 발생하는 병변으로, 파골성 및 경화성 병변이 혼재됨 |
| 🟧 Codman’s triangle: 빠르게 성장하는 종양이 골막을 들어올리면서 가장자리에 삼각형 형태의 골막 반응을 형성함 |
| 🟦 Sunburst appearance: 종양에서 방사상으로 뻗어나가는 새로운 골 형성이 태양광선처럼 보이는 형태 |
| 🟨 Cortical destruction: 피질골이 파괴되며 병변이 연부조직까지 확장됨 |


| CT 소견 |
| 골육종의 골파괴 및 반응성 골형성 부위를 더 정밀하게 시각화 가능 |
| Spiculated periosteal reaction, Codman’s triangle, 병변 내 석회화 확인 가능 |
| 연부조직 침범 여부, 골수 침범 범위 등도 평가 가능 |
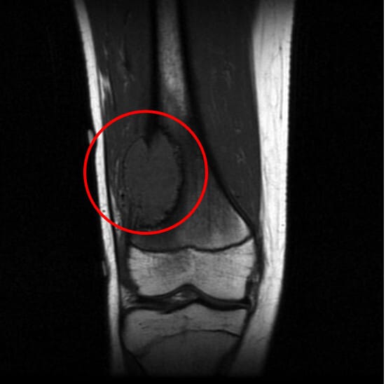
| MRI 소견 |
| T1에서는 종양 부위가 저신호, T2에서는 고신호를 보이며 명확한 종괴 형성 확인 |
| 골수 침범, 연부조직 확장, 주변 혈관 및 신경 구조와의 관계를 파악하기에 적절 |
| 수술 전 종양의 범위 및 수술 계획 수립에 필수 |


| Bone Scan / PET-CT |
| 전신의 골 병변을 스크리닝하여 원격 전이 여부를 확인 |
| 폐 전이를 동반하는 경우가 많아, 흉부 CT와 함께 사용함 |
| 치료 후 반응 평가 및 재발 여부 확인에도 유용함 |

진단 기준
| 🔵 조직 생검 |
| 병리학적 검사로 골육종 진단을 확정합니다. 반드시 치료 전 시행되어야 합니다. |
치료
표준 치료는 수술 전 항암화학요법 → 수술(가능한 광범위 절제) → 수술 후 항암요법입니다.
약물 치료
| 💊 MAP 요법 (Methotrexate + Doxorubicin + Cisplatin) |
| 수술 전 종양 크기를 줄이고 전이 가능성을 낮추며, 수술 후에는 잔존세포 제거에 도움을 줍니다. |
수술 치료
| 🔷 사지 보존 수술 또는 절단술 |
| 가능하면 사지를 보존하며, 종양의 위치와 범위에 따라 절단술이 필요할 수도 있습니다. |
예후
| ✅ 전이 없는 초기 진단 시 5년 생존율 약 60~70% |
| 폐 전이가 있을 경우 예후가 나쁘며, 정기적 영상검사가 필요합니다. |
생활 관리
| 🟧 항암요법 중 감염 예방 |
| 면역력 저하로 인한 감염을 예방하기 위해 위생 관리와 인파 많은 곳 회피가 필요합니다. |
| 🟧 정기적 흉부 CT 및 MRI 추적 |
| 폐 전이 및 국소 재발을 조기에 발견하기 위해 필수적입니다. |
Resource
- Gaillard F, Osteosarcoma – distal femur. Case study, Radiopaedia.org (Accessed on 20 Apr 2025) https://doi.org/10.53347/rID-7527


