
Table of Contents
콩팥 정맥 혈전증 (RVT)
콩팥 정맥 혈전증은 신정맥 내 혈전이 형성되어 정맥 유출이 차단되며, 신장 기능 이상과 통증, 혈뇨 등이 발생하는 질환입니다.
일반인에게는 드물지만, 신증후군 환자에서 갑작스러운 옆구리 통증과 혈뇨가 나타나면 반드시 의심해야 합니다.
| 콩팥 정맥 혈전증 (Renal Vein Thrombosis) |
| 🟦 신증후군 환자에게 흔히 발생하며, 정맥 유출 저하로 급성 신손상(AKI) 및 혈뇨를 유발할 수 있습니다. |
원인
다양한 혈액 응고 이상 상태에서 발생할 수 있지만, 가장 흔한 원인은 신증후군입니다.
| 주요 원인 |
| 🔴 신증후군 (특히 MCD, FSGS, MN) |
| 저알부민혈증과 응고인자 이상으로 혈전 형성 위험이 증가합니다. |
| 🔴 탈수, 외상, 수술, 응고질환 |
| 혈액 점도가 증가하거나 정맥 내 혈류가 정체되면 혈전 형성이 촉진됩니다. |
병태생리 – 신증후군과 혈전
여과 장벽
| 신증후군의 병태생리 |
| ❶ 사구체 여과 장벽의 손상 |
| podocyte의 손상 또는 GBM(사구체 기저막)의 구조 변화로 인해 단백질(특히 알부민)이 여과됩니다. |
| ❷ 단백뇨 및 저알부민혈증 |
| 소변으로 다량의 알부민이 배출되면서 혈중 알부민이 감소합니다. |
| ❸ 저혈장 교질삼투압 → 전신 부종 |
| 혈장 삼투압이 낮아져 혈액 내 수분이 조직 간질로 이동하면서 전신 부종이 발생합니다. |
| ❹ 간의 보상성 단백질 생성 증가 → 고지질혈증 |
| 저알부민 상태를 보상하기 위해 간에서 지질 및 지단백 생성이 증가합니다. |
| ❺ 항응고 단백의 소실 및 과응고 상태 |
| 항트롬빈 III, 단백 C 등이 소변으로 소실되며, 혈전 형성 위험이 증가합니다. |
임상양상
급성 혹은 점진적 진행 가능성이 있으며, 주로 옆구리 통증과 혈뇨가 나타납니다.
신증후군 환자에게 급성 옆구리 통증과 신기능 저하가 동반되면 반드시 RVT를 감별해야 합니다.
| 증상 및 징후 |
| 🟨 옆구리 통증 |
| 혈전으로 신정맥 압력이 증가하면서 통증이 발생합니다. |
| 🟨 혈뇨 |
| 정맥울혈로 사구체막이 손상되어 혈뇨가 발생할 수 있습니다. |
| 🟨 신기능 저하 (AKI) |
| 혈류 유출이 차단되면서 사구체 여과율이 급격히 감소합니다. |
진단
영상 검사를 통해 신정맥 내 혈전을 직접 확인합니다. 신기능 상태에 따라 검사 방법을 선택합니다.
| 진단 방법 |
| 🔵 CT Angiography (조영증강 CT) |
| AKI가 없는 경우 혈전의 위치와 범위를 빠르게 파악할 수 있습니다. |
| 🔵 MR Venography (정맥조영 MRI) |
| 조영제를 피해야 하는 AKI 환자에서 시행할 수 있는 대안적 검사입니다. |
영상 소견
영상학적 검사는 합병증 평가와 감별 진단에 활용됩니다.
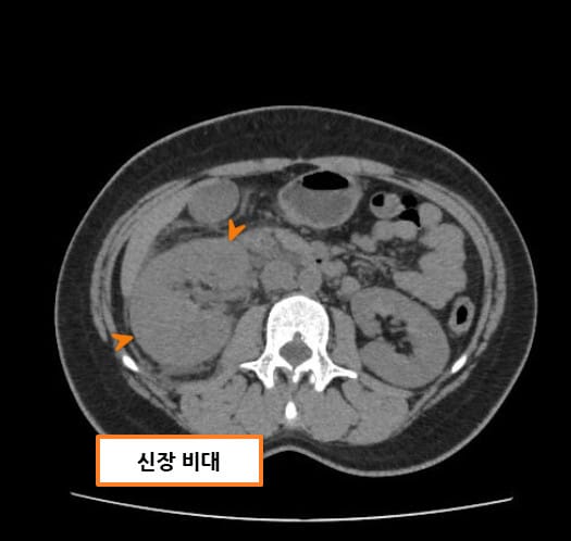
| 초음파 소견 |
| 🔴 Renal vein의 Filling Defect |
| Renal vein의 혈류를 막는 filling defect가 관찰될 수 있습니다. |
| 🔴 신장의 크기 증가 |
| 신장의 부종으로 인해 대칭적인 신장 비대가 관찰될 수 있습니다. |
| 🔴 피질-수질 경계 불분명 |
| 사구체 손상이 진행된 경우 피질과 수질의 명확한 구분이 어려울 수 있습니다. |

Ashraf A, Renal vein thrombosis. Case study, Radiopaedia.org (Accessed on 23 Jul 2025) https://doi.org/10.53347/rID-172664

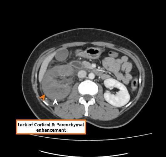
| CT 소견 |
| 🔴 신장 정맥에 filling defect 또는 혈류 차단 |
| 조영증강 CT 또는 MRI에서 신정맥 내 결손 음영이 보이며, 혈류가 차단된 모습이 나타날 수 있습니다. |
| 🔴 비대칭적 신장 크기 |
| 신정맥 혈전증이 동반되면 혈전이 발생한 쪽 신장이 비대해지고, 혈류가 감소합니다. |
| 🔴 복부 및 사지의 전신 부종 |
| 심한 저알부민혈증으로 인한 복수 및 연조직 부종이 CT에서 관찰될 수 있습니다. |





Abdrabou A, Renal vein thrombosis. Case study, Radiopaedia.org (Accessed on 23 Jul 2025) https://doi.org/10.53347/rID-51291
치료
기저 질환의 조절과 항응고 치료가 기본이며, 중증일 경우 혈전 용해술이나 기계적 제거술을 시행할 수 있습니다.
신기능 저하나 양측성 혈전이 있는 경우 조기 중재적 치료가 필요합니다.
기저 질환 치료
| 원인 치료 |
| 🔵 신증후군 치료 |
| 단백뇨 및 저알부민혈증을 개선하면 혈전 위험도 낮아집니다. |
항응고 및 혈전 치료
| 항응고/혈전 용해 치료 |
| 💊 항응고제 (Heparin, Warfarin 등) |
| 치료적 항응고는 기본 치료이며, 혈전 확산을 막고 재관류를 촉진합니다. |
| 💊 혈전용해술 (Thrombolysis) |
| AKI가 동반되거나 중등도 이상 폐쇄 시 조직 Plasminogen Activator(tPA) 등을 사용해 용해를 유도합니다. |
| 💊 카테터 혈전 제거술 |
| 중증 혈전의 경우 물리적으로 혈전을 제거하는 시술을 병행할 수 있습니다. |
예후
단측성인 경우 예후는 좋은 편이나, 양측성이거나 신기능 저하가 심한 경우에는 신부전으로 진행할 수 있습니다.
| 예후 |
| ✅ 조기 진단과 항응고 치료 시 신기능 회복이 가능합니다. |
| ✅ 양측 혈전이거나 치료 지연 시 신부전 위험이 증가합니다. |

