
신증후군 (Nephrotic Syndrome)
신증후군(Nephrotic Syndrome)은 사구체 손상으로 인한 단백뇨, 저알부민혈증, 부종, 고지혈증이 특징인 임상 증후군입니다. 성인과 소아 모두에서 발생할 수 있으며, 원인에 따라 일차성과 이차성으로 나뉘며 치료 방향도 달라집니다.

신증후군은 사구체 여과장벽의 손상으로 인해 단백질이 소변으로 과다 배출되어 발생하는 임상적 증후군입니다. 대표적인 4대 특징은 대량의 단백뇨, 저알부민혈증, 전신부종, 고지혈증입니다.
| 신증후군 (Nephrotic Syndrome) |
| ✅ 소변으로 단백질이 빠져나가면서 체내 단백질 농도가 떨어지고 부종과 고지혈증이 동반됩니다. |
임상양상
대량의 단백뇨로 인해 저알부민혈증과 부종이 발생하며, 감염 및 혈전 위험도 증가합니다.
환자는 전신 부종, 피로감, 소변 거품, 체중 증가 등을 호소합니다.
| 증상 및 징후 |
| 🟨 전신 부종 |
| 혈중 알부민 감소로 삼투압이 낮아지면서 수분이 조직으로 빠져나갑니다. |
| 🟨 거품뇨 |
| 소변 속 단백질이 많아져 표면 장력이 생기면서 거품이 많아집니다. |
| 🟨 피로감 및 식욕 저하 |
| 단백질 손실로 전신 대사 균형이 무너지면서 피로감을 느낍니다. |
| 🟨 혈전 및 감염 위험 증가 |
| 항응고 단백과 면역글로불린의 소실로 인해 혈전증과 감염에 취약해집니다. |
진단
진단은 단백뇨, 저알부민혈증, 고지혈증, 부종의 4대 특징 확인과 함께 원인 감별을 위한 검사로 이루어집니다.
| 진단 방법 |
| 🔵 24시간 소변 단백량 |
| 하루 3.5g 이상의 단백뇨가 있으면 신증후군으로 진단합니다. |
| 🔵 혈청 알부민 검사 |
| 혈중 알부민 수치가 3.0g/dL 이하로 감소합니다. |
| 🔵 혈청 지질 검사 |
| LDL, 총콜레스테롤, 중성지방이 상승합니다. |
| 🔵 신장 조직검사 |
| 일차성과 이차성 감별을 위해 조직검사를 시행합니다. |
신증후군의 주요 유형 4가지
신증후군은 단일 질환이 아니라, 여러 가지 원인 질환이 유사한 양상을 보이는 것입니다. 여기서는 대표적인 네 가지 병리 유형을 정리하겠습니다.
✅ Minimal Change Disease (최소변화병증)
→ 소아에서 가장 흔하며, 스테로이드에 잘 반응하고 예후가 좋습니다.
✅ Focal Segmental Glomerulosclerosis (국소 분절성 사구체경화증)
→ 성인에서 흔하며, 스테로이드 반응이 낮고 신부전 위험이 있습니다.
✅ Membranous Nephropathy (막성신병증)
→ 중장년층에서 발생하며, 자가면역 관련 가능성이 높고 혈전 위험이 큽니다.
✅ Membranoproliferative Glomerulonephritis (막증식성 사구체신염)
→ 드물지만 진행성 경과를 보이며, 단백뇨와 혈뇨가 함께 나타납니다.
Minimal Change Disease (MCD)
Minimal Change Disease (최소변화병증)
T세포 이상으로 인해 podocyte의 구조적 손상이 발생하며, 단백질 여과 장애가 생깁니다.
Minimal Change Disease는 주로 소아에서 발생하는 신증후군의 가장 흔한 형태입니다. 광학현미경에서는 특이 소견이 없지만, 전자현미경에서 발돌기세포(foot process)의 광범위한 융합이 관찰됩니다. 스테로이드에 잘 반응하며, 대부분 완치가 가능합니다.


| 특징 요약 |
| 🟦 소아 신증후군의 90% 이상에서 발생 |
| 🟦 광학현미경상 정상, 전자현미경에서 족세포 융합 |
| 🟦 스테로이드 반응 매우 우수 |
| 🟦 재발은 가능하지만 예후는 매우 양호함 |
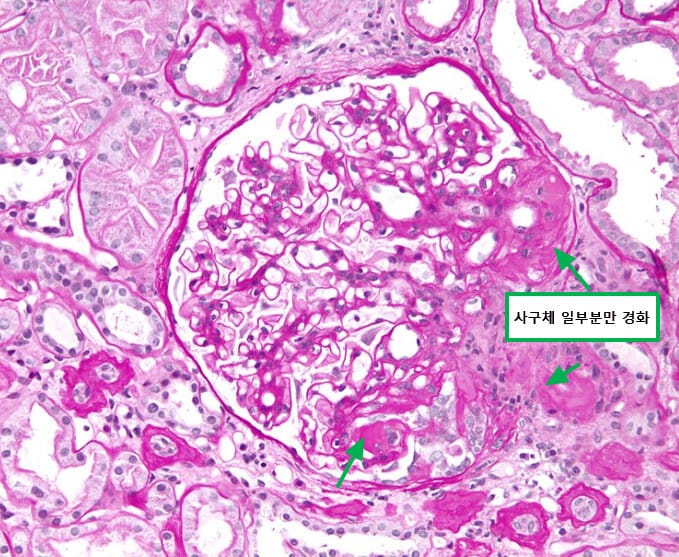
Focal Segmental Glomerulosclerosis (FSGS)
Focal Segmental Glomerulosclerosis (국소 분절성 사구체경화증)
Podocyte 손상 및 사구체 내압 증가로 일부 사구체가 국소적으로 경화됩니다.
FSGS는 일부 사구체(glomeruli)의 일부분(segmental)에서 경화(sclerosis)가 발생하는 질환으로, 성인 신증후군의 주요 원인 중 하나입니다. 병변은 국소적이지만 진행이 빠르고 치료에 대한 반응은 제한적입니다.

→ 일부 사구체(focal),에서, 일부 부위만(segmental) 경화 및 손상된 것이 특징입니다.
| 특징 요약 |
| 🟧 국소적, 분절성 경화 소견 |
| 🟧 스테로이드 반응이 낮고 재발률이 높음 |
| 🟧 점차 만성 신부전으로 진행할 수 있음 |
Membranous Nephropathy (MN)
Membranous Nephropathy (막성신병증)
자가항체(PLA2R 등)에 의해 기저막 외측에 면역복합체가 침착되어 손상이 유발됩니다.
Membranous Nephropathy는 성인에서 흔히 발생하며, 사구체 기저막(basement membrane)의 비후와 면역복합체 침착이 특징입니다. 대부분 자가면역 질환(예: PLA2R 항체)에 의해 발생하며, 일부는 감염 또는 종양과 관련됩니다.

→ 위 그림에서 검은색으로 염색된것이 기저막 (Basement membrane)입니다. 사구체 기저막이 비후되고, 면역복합체가 기저막 외측에 침착되어 스파이크 형성이 나타납니다. (
| 특징 요약 |
| 🟥 성인 신증후군의 주요 원인 중 하나 |
| 🟥 기저막의 균일한 비후, 면역복합체 침착 (IgG, C3) |
| 🟥 자가면역성(Podocyte 항원: PLA2R) 또는 이차성 원인 가능 |
| 🟥 30~40%는 자연 관해되며 일부는 만성화됨 |
Membranoproliferative Glomerulonephritis (MPGN)
Membranoproliferative Glomerulonephritis (막증식성 사구체신염)
→ 보체 대체 경로 이상 또는 면역복합체에 의해 기저막과 Mesangium이 함께 손상됩니다.
MPGN은 사구체 기저막과 중간격막에 면역복합체가 침착되면서 이중 기저막(double contour)이 형성되는 것이 특징입니다. 감염, 자가면역질환, C3 감소와 관련이 많으며, 예후는 비교적 불량한 편입니다.

| 특징 요약 |
| 🟨 기저막 비후 + 사구체 내 증식 + 이중 기저막 소견 |
| 🟨 보체(C3) 감소가 흔히 동반됨 |
| 🟨 B형간염, C형간염, 자가면역질환 등이 원인일 수 있음 |
| 🟨 재발과 만성화 위험이 높아 예후 불량 |

