
Table of Contents
췌장 점액성 낭성종양 (Mucinous Cystic Neoplasm, MCN)
췌장 점액성 낭성종양(Mucinous Cystic Neoplasm,MCN)은 점액을 분비하는 상피세포와 난소 유사 기질(ovarian-like stroma)이 특징인, 주로 여성에서 발생하는 전암성 낭성 병변입니다.
대부분 췌장 체부나 미부에 단일성 낭종 형태로 발생하며, 암으로 진행할 수 있어 절제가 원칙입니다.
| 췌장 점액성 낭성종양 (MCN) |
| 🟦 난소 유사 기질을 포함하고 점액을 분비하는 상피세포로 구성된 췌장 낭성 병변으로, 대부분 여성의 췌장 체부/미부에서 발견됩니다. |
원인
정확한 원인은 알려지지 않았으며, 여성 호르몬과의 관련성이 제기됩니다.
| 위험요인 |
| 🔴 여성(90% 이상) |
| 호르몬 민감성이 있는 난소 유사 기질이 병리학적 특징입니다. |
| 🔴 40~60대 연령 |
| 중년 여성에서 주로 발견됩니다. |
임상양상
대부분 무증상이지만, 낭종이 커지면 압박 증상이 나타날 수 있습니다.
복부 팽만감, 복통, 체중 감소 등이 나타날 수 있으며, 우연히 발견되는 경우가 많습니다.
| 증상 및 징후 |
| 🟨 무증상 (Incidental finding) |
| 건강검진 또는 타 질환 영상검사 중 발견되는 경우가 많습니다. |
| 🟨 상복부 또는 좌측 복부 불편감 |
| 낭종이 커지며 주변 장기를 압박할 경우 발생합니다. |
| 🟨 체중 감소, 소화불량 |
| 대개 악성 변화가 동반된 경우 나타납니다. |
진단
영상검사로 낭종의 위치, 격벽 여부를 확인하고, 병리학적으로 난소 유사 기질 확인 시 확진됩니다.
| 진단 방법 |
| 🔵 CT 또는 MRI |
| 췌장 체부/미부에 위치한 단일성 낭종, 내부 격벽(septation)을 확인합니다. |
| 🔵 EUS with FNA |
| 낭종 내 CEA, cytology 및 ovarian-like stroma 여부 평가를 위해 시행합니다. |
혈액검사 소견
낭종 액 검사에서 CEA 수치가 점액성 낭종 감별에 도움이 됩니다.
| 🟦 CEA 상승 (낭종액) |
| CEA > 192 ng/mL일 경우 점액성 병변 가능성이 높습니다. |
| 🟦 CA 19-9 상승 |
| 악성 변이가 있을 경우 혈중 수치가 상승할 수 있습니다. |
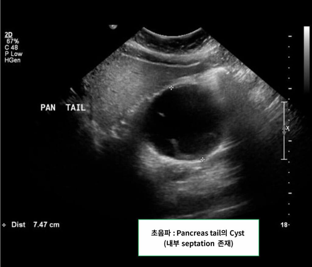
영상 소견
췌장 체부/미부에 단일성, 격벽성 낭종으로 나타나며, 췌관과 연결되지 않습니다.
| 🟦 Unilocular or septated cyst in pancreatic body/tail |
| 단일성 또는 격벽성 낭종이며, 주변 장기로 압박을 줄 수 있습니다. |
| 🟦 No communication with pancreatic duct |
| IPMN과 달리 췌관과 연결되지 않습니다. |

:https://radiopaedia.org/cases/14583. Case study, Radiopaedia.org (Accessed on 14 Jul 2025) https://doi.org/10.53347/rID-14583

Ashraf A, Mucinous cystadenoma of the pancreas. Case study, Radiopaedia.org (Accessed on 14 Jul 2025) https://doi.org/10.53347/rID-83451

Abdrabou A, Mucinous cystic neoplasm of the pancreas. Case study, Radiopaedia.org (Accessed on 14 Jul 2025) https://doi.org/10.53347/rID-26352

치료
치료의 핵심 목표는 악성 변이를 사전에 차단하는 것이며, 원칙적으로 절제를 시행합니다.
모든 MCN은 절제 권고. 단, 크기가 작고 비전형적 소견 없을 경우 고령에서는 추적 관찰 가능.
수술 치료
병변이 대부분 췌장 체부/미부에 위치하므로, 원위부 췌절제술이 가장 흔히 시행됩니다.
| 수술 치료 |
| 🔷 Distal pancreatectomy (원위부 췌절제술) |
| 췌장 체부 또는 미부 병변에서 표준 수술입니다. |
| 🔷 중앙췌절제술(Central pancreatectomy) |
| 췌장 체부 병변이 작을 경우 고려되며, 췌장 기능 보존에 유리합니다. |
- 수술이 너무 위험하면 수술 불가
예후
절제된 경우 예후는 매우 좋으며, 암으로 진행되기 전 치료 시 완치율이 높습니다.
| 예후 |
| ✅ 비침습성 MCN: 완전 절제로 완치 가능 (5년 생존율 > 95%) |
| ✅ 침습성 carcinoma 동반 시: 예후는 떨어지나 조기 치료 시 생존율 양호 |
생활 관리
수술 후 췌장 기능 보존을 위한 식이조절과 정기 영상 추적이 필요합니다.
| 생활 관리 수칙 |
| 🟨 고단백, 고탄수화물 식이 |
| 췌장의 소화기능 보조를 위한 영양 공급이 필요합니다. |
| 🟨 정기 영상검사 |
| 재발이나 잔존 병변 유무를 확인하기 위해 필요합니다. |
| 🟨 췌장효소 보충제(Pancrelipase) |
| 수술 후 외분비 기능 저하가 있을 경우 투여합니다. |


