
Table of Contents
갑상선 수질암 (Medullary Thyroid Cancer)
Medullary Thyroid Cancer
: 칼시토닌을 분비하는 갑상선 C세포에서 발생하는 희귀한 형태의 갑상선암입니다.
Medullary thyroid cancer는 갑상선의 칼시토닌을 분비하는 C세포에서 발생하는 악성 종양으로, 일부는 유전성(MEN 2 증후군)과 관련되어 있습니다.
| 갑상선 수질암 (Medullary Thyroid Cancer) |
| ✅ 갑상선 C세포의 악성 변형으로 칼시토닌 과분비와 종양 성장이 발생합니다. |
위고비와의 연관성
참고로 갑상선 수질암의 과거력, 가족력은 다이어트 약 위고비 / 삭센다의 금기 중 하나입니다.
- GLP-1 유사체 = C세포에 작용 가능 → 수질암 환자 금기
- MEN2 = C세포 병변 잘 생김 → 위고비 완전 금지
- 세마글루타이드(Semaglutide – GLP-1 receptor agonist) 는 쥐에서 C세포 종양(=수질암 유사)이 유발된 전적이 있습니다.
- MTC 또는 MEN2 가족력이 있는 사람은 이 위험 때문에 사용이 “절대 금기”입니다.
원인
산발성 또는 유전성(MEN 2A, MEN 2B)으로 발생할 수 있습니다.
| 주요 원인 |
| 🔴 RET 유전자 돌연변이(RET mutation) |
| 유전성 수질암 및 MEN 2 증후군에서 발견됩니다. |
| 🔴 산발성 발생(Spontaneous mutation) |
| 특별한 가족력이 없이 발생할 수 있습니다. |
임상양상
칼시토닌 과분비와 국소 침습 증상이 나타날 수 있습니다.
목 종괴, 음성 변화, 설사 등의 증상이 나타날 수 있습니다.
| 증상 및 징후 |
| 🟨 경부 종괴(Neck mass) |
| 단단하고 진행성인 목의 혹이 나타납니다. |
| 🟨 음성 변화(Hoarseness) |
| 성대 신경 침범으로 목소리가 변할 수 있습니다. |
| 🟨 설사(Diarrhea) |
| 칼시토닌 과다로 인해 수분 분비가 증가하여 만성 설사가 나타날 수 있습니다. |
| 🟨 연하곤란(Dysphagia) |
| 종양이 식도를 압박할 경우 발생할 수 있습니다. |
진단
혈액검사와 영상검사를 통해 진단합니다. 또 유전성(MEN 2형)일 수 있어 가족력 확인이 중요합니다.
| 진단 방법 |
| 🔵 혈액검사(Blood test) |
| 혈중 칼시토닌(calcitonin)과 CEA(carcinoembryonic antigen) 수치 상승을 보입니다. |
| 🔵 갑상선 초음파(Thyroid ultrasound) |
| 결절의 크기와 침습 여부를 평가합니다. |
| 🔵 세침흡인세포검사(Fine-needle aspiration, FNA) |
| 세포학적 검사로 진단을 보조합니다. 칼시토닌 면역염색을 추가할 수 있습니다. |
| 🔵 RET 유전자 검사(RET mutation test) |
| 유전성 여부를 확인하기 위해 시행합니다. |



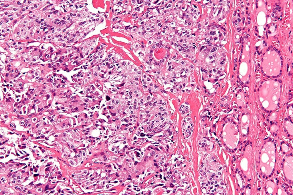
Medullary Thyroid Cancer (수질암)의 병리 소견
| 고형 또는 둥근 세포군 (Solid or Nesting Pattern) |
| 종양세포가 고형군(solid nest) 또는 작은 둥지(nest)처럼 모여 있으며, 여포 구조는 거의 없음. |

| 아밀로이드 침착 (Amyloid Deposition) |
| 칼시토닌 유래 아밀로이드 물질이 종양 사이사이에 침착되어 Congo red 염색에서 양성 소견을 보임. |

| 면역염색 소견 (Immunohistochemistry) |
| 칼시토닌(Calcitonin), CEA, Chromogranin, Synaptophysin 양성. 갑상선 유두암과 감별됩니다. |
치료
치료의 핵심 목표는 종양 제거 및 전이 예방입니다.
수술이 기본이며, 방사성 요오드 치료는 효과가 없습니다.
약물 치료
진행성 또는 전이성 수질암에서 표적 치료제를 사용할 수 있습니다.
| 약물 치료 |
| 💊 반데타닙(Vandetanib) |
| RET, VEGFR, EGFR 등을 억제하여 종양 성장을 억제합니다. |
| 💊 카보잔티닙(Cabozantinib) |
| RET 및 기타 수용체를 차단하여 진행성 질환을 억제합니다. |
수술 치료
수술이 기본 치료입니다.
| 수술적 치료 |
| 🔷 갑상선 전절제술 및 경부 림프절 절제술(Total thyroidectomy with neck dissection) |
| 진단 시 림프절 전이가 흔하므로 갑상선 전절제와 함께 림프절 절제를 시행합니다. |
예후
조기 발견 시 좋은 경과를 기대할 수 있으나, 진행성인 경우 예후가 나빠질 수 있습니다.
| 예후 |
| ✅ 조기 발견 시 10년 생존율이 80% 이상입니다. |
| ✅ 원격 전이나 높은 칼시토닌 수치가 있을 경우 예후가 불량할 수 있습니다. |



