
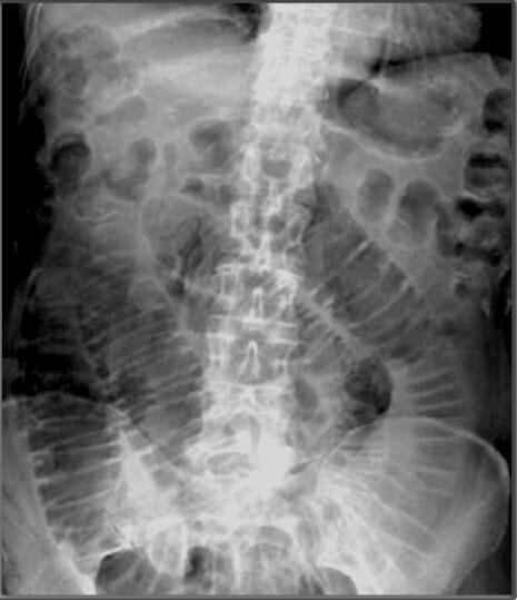
| 대장 (Large Intestine) |
| ✅ 대장은 Haustra가 있는 넓은 장기로, AP 복부 X-ray에서 복부 주변을 따라 외측으로 분포하며, 간만곡부, 비장만곡부, S자 결장 등을 포함합니다. |
| 🔴 대장은 가스로 인해 부풀어 보일 수 있으며, 폐색 시 확장된 음영으로 관찰됩니다. |


| Haustra |
| ✅ Haustra라는 대장의 특징적인 주름 구조로, 대장의 외벽을 따라 간헐적으로 나타나는 팽창과 수축된 분절 모양입니다. AP view에서 불규칙적이고 간격이 넓은 횡선 형태로 관찰되며, 소장의 주름과 비교하여 구별하는 데 유용합니다. |
| 🔴 Haustra가 소실되면 대장염(ulcerative colitis) 등 염증성 질환을 의심할 수 있습니다. |


| 소장 (Small Intestine) |
| ✅ 소장은 비교적 중심부에 위치하며, AP view에서 연속적이고 좁은 가스 음영과 함께 ‘valvulae conniventes’에 의해 가로 줄무늬가 촘촘히 나타납니다. |
| 🔴 소장 폐색시 확장되거나 다수의 air-fluid level이 관찰될 수 있습니다. |


| 윤상 주름 (Valvulae Conniventes) |
| ✅ 소장의 내부 점막 주름으로, X-ray에서는 좁은 간격으로 연속된 횡선 형태를 나타냅니다. 이 구조는 소장의 대부분을 횡단하며, 대장의 Haustra와 달리 장의 전체 너비를 가로지르는 점이 특징입니다. |
| 🔴 촘촘한 윤상 주름이 보이는 경우 소장의 위치 확인 및 폐색 감별에 도움이 됩니다 |


Resource
- All Images by Claudia Krebs, adapted by Monika Fejtek, supported by HIVE, The University of British Columbia, available at Clinical Anatomy Website, licensed under CC BY-NC-SA 4.0.
