
Table of Contents
간세포암 (Hepatocellular Carcinoma, HCC)
Hepatocellular Carcinoma는 간에서 발생하는 가장 흔한 원발성 간암으로, 주로 만성 간질환(특히 B형 간염, C형 간염, 간경변증)을 배경으로 발생합니다. 진행 속도가 빠르고 전이가 쉬워 조기 진단 및 치료가 중요합니다.
질환의 정의
Hepatocellular Carcinoma는 간 실질세포(hepatocyte)에서 유래한 악성 종양으로, 주로 간경변(cirrhosis) 상태에서 발생하며 간 기능 저하 및 전신적 증상을 동반합니다.
| 간세포암 (Hepatocellular Carcinoma) |
| ✅ 만성 간 손상 상태에서 간세포가 악성화되어 자라나는 원발성 간암입니다. |
원인
만성 염증과 간세포 재생 자극이 Hepatocellular Carcinoma의 주요 원인으로 작용합니다.
| 주요 원인 |
| 🔴 B형 간염 바이러스(HBV) 감염 |
| 바이러스 DNA가 간세포 유전체에 삽입되어 암 발생을 촉진합니다. |
| 🔴 C형 간염 바이러스(HCV) 감염 |
| 만성 염증과 간섬유화를 유발하며 HCC 위험을 증가시킵니다. |
| 🔴 알코올성 간질환 |
| 지속적 간 손상과 간경변 유도로 발암 기전을 활성화합니다. |
| 🔴 비알코올성 지방간염(NASH) |
| 비만, 대사증후군 관련 간 염증이 간암 발생과 연관됩니다. |
| 🔴 아플라톡신 노출 |
| 곰팡이 독소로 p53 유전자 돌연변이를 유발해 발암을 촉진합니다. |
임상양상
복부 증상과 간기능 저하, 종양 관련 증상이 다양하게 나타납니다.
상복부 통증이나 덩어리, 체중 감소, 황달 등의 증상이 나타날 수 있습니다.
| 증상 및 징후 |
| 🟨 복부 불쾌감 또는 덩어리 촉지 |
| 종양이 커지면서 간피막을 자극하거나 덩어리가 촉지됩니다. |
| 🟨 체중 감소, 피로감 |
| 암의 대사 요구와 식욕 감소로 인한 전신 쇠약이 나타납니다. |
| 🟨 황달 및 복수 |
| 간기능 저하로 빌리루빈 대사가 장애받고 문맥압 상승이 동반됩니다. |
| 🟨 정맥류 출혈 |
| 문맥압 항진과 식도 정맥류로 인해 출혈 위험이 증가합니다. |
진단
Hepatocellular Carcinoma는 영상 소견과 종양표지자 검사를 기반으로 진단하며, 특징적인 영상 소견이 있으면 조직검사 없이도 진단이 가능합니다.
| 진단 방법 |
| 🔵 간 초음파 + AFP (알파태아단백) |
| 6개월 간격으로 고위험군에 대해 스크리닝 목적으로 사용합니다. |
| 🔵 CT 또는 MRI |
| 특징적 영상 소견: 동맥기 조영증강 → 문맥기 washout |
| 🔵 조직 생검 |
| 비전형적 영상 소견이거나 치료 전 확진이 필요할 때 시행합니다. |
혈액 검사 소견
종양 표지자
Hepatocellular Carcinoma의 진단에 도움을 주는 종양표지자로 AFP와 PIVKA-II가 있습니다.
| ✅ 알파태아단백(AFP, Alpha-fetoprotein) |
| – 가장 대표적인 종양표지자이며, 수치가 400 ng/mL 이상일 경우 간세포암 가능성이 높음 |
| – 그러나 초기 간암에서는 정상일 수도 있고, 만성 간염/간경변에서도 상승 가능하여 단독 진단에는 한계 있음 |
| ✅ PIVKA-II (Protein Induced by Vitamin K Absence or Antagonist-II) |
| – 간세포암에서 특이적으로 상승하는 또 다른 종양표지자 |
| – AFP가 정상인 환자에서도 상승할 수 있어 보조적으로 활용됨 |
간기능검사
| ✅ AST/ALT 상승 |
| – 간세포 손상을 반영하는 수치로, 간암 동반 간염이나 간경변에 의해 함께 상승 |
| – 특히 AST 상승이 더 두드러질 수 있음 |
| ✅ ALP/GGT 상승 |
| – 간내 담관 침범이나 종양 크기 증가로 인해 담즙 정체가 발생할 경우 상승함 |
| ✅ 빌리루빈(Bilirubin) 상승 |
| – 간 기능 저하 혹은 종양에 의한 담도 폐쇄가 있을 경우 상승 가능 |
| – 병기 평가 및 Child-Pugh 점수 계산에 포함됨 |
| ✅ 알부민(Albumin) 감소 |
| – 간의 단백합성 기능 저하를 반영하며, 예후 판단에 중요한 지표 |
| – Child-Pugh 점수에도 포함됨 |
| ✅ INR 연장 |
| – 간 기능 저하로 인한 응고인자 생성 감소를 의미 |
| – 마찬가지로 Child-Pugh 평가 요소 중 하나 |
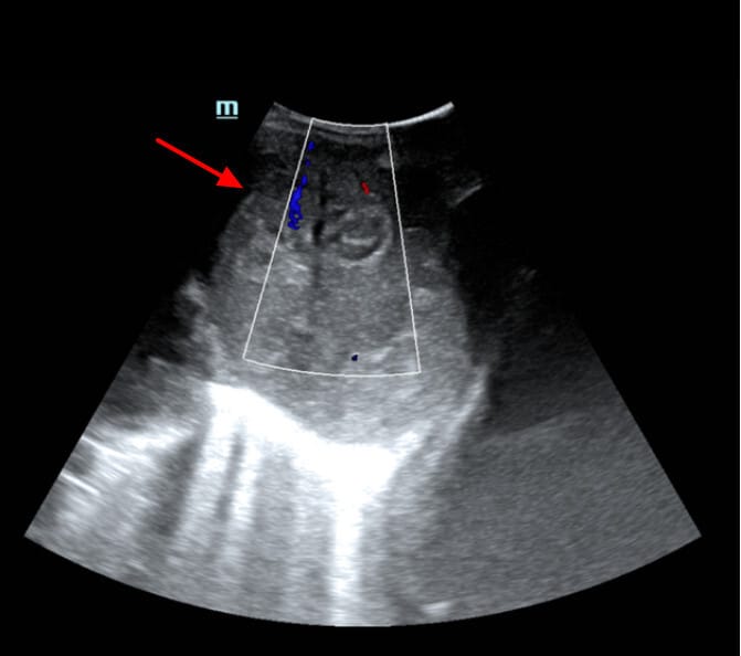
초음파 영상 소견
초음파에서 간세포암(Hepatocellular Carcinoma)은 결절형, 괴상형, 미만형으로 분류됩니다. 이 세 가지 형태는 육안적 병리 형태와도 밀접한 관련이 있습니다.
| 결절형(Nodular type) |
| – 가장 흔한 형태이며, 단일 또는 다발성 결절로 관찰됨 |
| – 경계가 비교적 명확하고 둥근 형태 |
| – 저에코(hypoechoic), 혼합에코(mixed echo), 혹은 고에코(hyperechoic)로 보일 수 있음 |
| – 크기가 커질수록 내부 괴사, 석회화, 출혈 등으로 이질적인 음영을 보임 |

ElBeialy M, Hepatocellular carcinoma with metastatic porta-hepatis lymphadenopathy and IHBR dilatation. Case study, Radiopaedia.org (Accessed on 21 Apr 2025) https://doi.org/10.53347/rID-35511
초음파 소견상 특징
- Right liver lobe segment V well-defined hypoechoic lesion
| 괴상형(Massive type) |
| – 단일 종괴가 간의 한 엽(lobe)을 대부분 차지할 정도로 크게 성장한 형태 |
| – 내부에 괴사(necrosis)가 동반되어 중심은 저에코, 주변부는 비교적 고에코 |
| – 간 실질과 구분이 어려운 경우도 있으며, 혈관 침윤 소견이 동반되기도 함 |


Fayisa S, Undifferentiated embryonal sarcoma of the liver. Case study, Radiopaedia.org (Accessed on 21 Apr 2025) https://doi.org/10.53347/rID-148908
| 미만형(Diffuse infiltrative type) |
| – 간 전체 또는 넓은 범위에 걸쳐 퍼지는 형태로 경계가 불명확 |
| – 간 실질이 불균질하게 보이며, 정상 실질과 병변 구분이 어려움 |
| – 주로 말기 간경변증 환자에서 발견되며, 예후가 매우 불량함 |
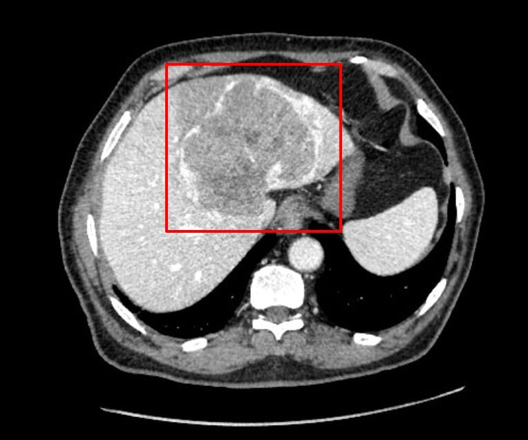
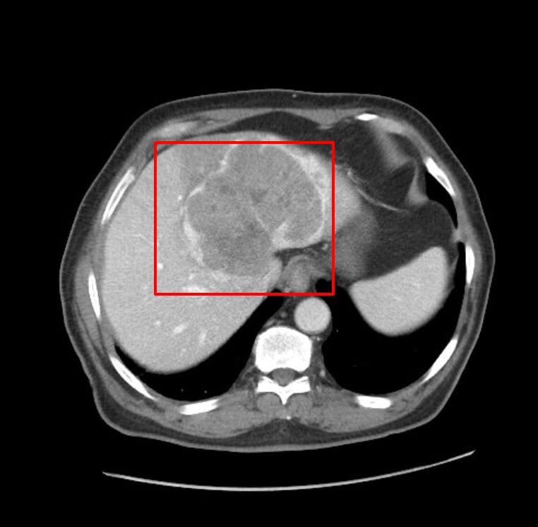
CT 소견
역동적 조영증강 CT (Dynamic Contrast Enhanced CT)
Hepatocellular Carcinoma는 동맥혈 공급이 풍부한 종양이므로, 조영제 주입 후 시간에 따른 조영증강 패턴을 관찰하여 진단하게 됩니다.
Hepatocellular Carcinoma 진단에서 가장 핵심적인 영상 검사입니다. 간세포암은 주로 간동맥에서 대부분의 혈류를 공급받기 때문에 , 동맥기에 빠르게 조영되고 , 문맥기에는 빠르게 희미해집니다.
| 동맥기(Arterial phase) |
| – 병변이 주변 간실질보다 강하게 조영증강(hyperenhancement) 됨 |
| – 간세포암은 동맥 혈류가 증가된 상태이므로 이 시기에 밝게 보임 (Early enhancement) |
| – 가장 진단적 가치가 높은 소견 |

영상 소견상 특징
- Large encapsulated heterogenous solitary lesion
- Left lobe of the liver , mainly segment two and four.
| 문맥기(Portal venous phase) |
| – 병변이 조영이 감소하여 상대적으로 음영이 떨어짐(washout) |
| – 주변 간실질은 조영제가 남아 있어 병변이 더 어둡게 보임 |
| – 간세포암의 전형적인 washout 소견 |

| 지연기(Delayed phase) |
| – washout 현상 지속 |
| – 병변이 더욱 더 저음영(hypodense) 으로 보임 |
| – 일부 경우에는 주변 섬유성 피막(capsule) 이 조영되어 외곽 고리처럼 보일 수 있음 |

Q . 왜 이런 CT 소견이 나타날까요?
- 정상 간세포는 대부분 문맥 혈류(Portal Vein)를 통해 혈액 공급을 받고, 간동맥(Hepatic Artery)혈류의 비중이 작습니다. (약 75% ,25%)
- 반면 간세포암은 새로운 혈관을 만들어 간동맥 (Hepatic Artery)에서 거의 모든 혈류를 받습니다
- 따라서 동맥기에는 주로 간동맥에서 혈류를 공급받는 간세포암이 더 빠르게 조영되고,
- 문맥기에서는 간세포암은 문맥 혈류가 없기 때문에 contrast가 유지되지 않고 빠르게 빠져나갑니다
간세포암 CT 영상 증례들
Arterial – Portal – Delayed



Niknejad M, Hepatocellular carcinoma. Case study, Radiopaedia.org (Accessed on 21 Apr 2025) https://doi.org/10.53347/rID-152397
Arterial – Portal


Jamouz R, Hepatocellular carcinoma. Case study, Radiopaedia.org (Accessed on 21 Apr 2025) https://doi.org/10.53347/rID-72735
기타 특징적인 소견
| 가성 피막(pseudocapsule) |
| – 지연기에서 병변 외곽이 얇게 고리처럼 조영되는 소견 |
| – 실제 피막은 아니지만 섬유조직으로 구성되어 있어 진단에 도움이 됨 |

Bahri Y, Hepatocellular carcinoma with satellite nodules. Case study, Radiopaedia.org (Accessed on 21 Apr 2025) https://doi.org/10.53347/rID-206047
| 혈관 침윤(특히 Portal Vein Thrombosis) |
| – 특히 간문맥(portal vein)에 침윤된 종양 혈전(tumor thrombus)이 보이는 경우 |
| – 예후가 매우 불량하며, 수술적 절제의 적응증에서 제외될 수 있음 |


영상 소견상 특징
- Cirrhotic liver with Right lobe focal masses
- Filling defects of the main portal vein and its branches.
Abdelmonem H, Multifocal hepatocellular carcinoma with portal vein thrombosis. Case study, Radiopaedia.org (Accessed on 21 Apr 2025) https://doi.org/10.53347/rID-52400
| 다발 병변(Multifocal lesions) |
| – 여러 개의 병변이 간 내에 산재되어 있는 경우 |
| – 간경변 환자에서 흔하며, 간이식의 적응증 여부를 판단할 때 중요함 |

Walizai T, Multifocal hepatocellular carcinoma. Case study, Radiopaedia.org (Accessed on 21 Apr 2025) https://doi.org/10.53347/rID-185306
MRI 영상 소견
Hepatocellular Carcinoma는 MRI에서 시간에 따른 조영증강 양상, T1/T2 신호 변화, 확산강조영상, 간세포 특이 조영제 사용 유무에 따라 다양한 소견을 보입니다.
| T1 강조 영상 (T1-weighted image) |
| – 대부분 저신호(hypointense)로 보임 |
| – 출혈, 지방 침착, 구리 침착 시에는 고신호(hyperintense) |

| T2 강조 영상 (T2-weighted image) |
| – 일반적으로 고신호(hyperintense)로 보임 |
| – 섬유화나 담즙 정체가 있을 경우 혼합 신호 가능 |

| 확산강조영상 (DWI) |
| – 세포 밀도가 높아 고신호로 보임 |
| – ADC map에서는 저신호로 보임 (제한 확산 의미) |

| 간세포 특이 조영제 사용 시 (Hepatobiliary phase) |
| – 정상 간세포는 조영제를 흡수하여 고신호 |
| – HCC 병변은 조영제를 흡수하지 못해 저신호(hypointense) 결손으로 보임 |
간세포암 병기 (Staging)
Child-Pugh Score (간기능 평가 척도)
Hepatocellular Carcinoma는 간기능 상태에 따라 A (좋음), B (중간), C (심함)으로 구분되며, HCC 수술 가능성을 판단하고 예후를 예측하는데 참고합니다.
| Child-Pugh 등급 분류 기준 |
| 🔵 총 빌리루빈(Total bilirubin) |
| 1점: < 2 mg/dL 2점: 2–3 mg/dL 3점: > 3 mg/dL |
| 🔵 알부민(Serum albumin) |
| 1점: > 3.5 g/dL 2점: 2.8–3.5 g/dL 3점: < 2.8 g/dL |
| 🔵 PT 연장 또는 INR |
| 1점: INR < 1.7 2점: INR 1.7–2.2 3점: INR > 2.2 |
| 🔵 복수(Ascites) |
| 1점: 없음 2점: 약간 있음 3점: 중등도~중증 |
| 🔵 간성 뇌병증(Hepatic encephalopathy) |
| 1점: 없음 2점: Grade I–II 3점: Grade III–IV |
| 총점에 따른 등급 |
| ✅ Child-Pugh A (5–6점): 간 기능 양호, 수술 가능성 있음 |
| ✅ Child-Pugh B (7–9점): 간 기능 중간, 수술 제한적 |
| ✅ Child-Pugh C (10–15점): 간 기능 저하, 보존적 치료 우선 |
BCLC (Barcelona Clinic Liver Cancer)
Hepatocellular Carcinoma의 치료 방침은 병기에 따라 결정되며, BCLC (Barcelona Clinic Liver Cancer) 병기가 널리 쓰입니다.
| BCLC 병기 체계 |
| 🔵 Stage 0 (Very early) |
| 단일 종양 ≤2cm, 간기능 Child A, 성능상태 ECOG 0 → 수술 또는 RFA |
| 🔵 Stage A (Early) |
| ≤3개 종양, 각각 ≤3cm, 간기능 보존 → 절제술, 이식, RFA |
| 🔵 Stage B (Intermediate) |
| 다발성 종양이나 국한된 간 내 병변 → TACE 시행 |
| 🔵 Stage C (Advanced) |
| 혈관 침범 또는 원격 전이 → 표적 및 면역 치료 |
| 🔵 Stage D (End-stage) |
| 간기능 저하(Child C) 또는 전신상태 나쁨 → 보존적 치료 |
치료
환자의 간기능(Child-Pugh), 종양 크기 및 개수, 문맥 침범 여부에 따라 달라집니다.
Barcelona Clinic Liver Cancer (BCLC) staging에 따라 치료를 결정하며, 조기 Hepatocellular Carcinoma은 수술 또는 국소 치료, 진행성은 전신요법을 적용합니다.
근치적 치료
치유를 목표로 하는 방법입니다.
| 수술 및 국소 치료 |
| 🔵 간 절제술 |
| Child A, 문맥압 항진 없음, 잔존 간기능 충분한 경우 시행합니다. |
| 🔵 간이식 |
| Milan 기준(단일 종양 ≤5cm 또는 ≤3개의 종양, 각 ≤3cm)에 해당 시 우선 고려됩니다. |
| 🔵 고주파 열치료(RFA) |
| 수술이 불가능한 작은 종양(≤3cm)에 적용할 수 있습니다. |
경동맥 화학색전술(TACE)
간 기능이 낮거나 수술 불가능한 경우 활용됩니다.
| 비근치적 국소 치료 |
| 🔵 경동맥 화학색전술(TACE) |
| 종양에 직접 항암제를 주입하고 혈류를 차단해 괴사를 유도합니다. |
약물 치료
전신 전이는 아니지만 간 내 병변이 진행 중이거나 TACE 불응일 경우 사용됩니다.
| 표적 및 면역 치료 |
| 💊 Atezolizumab + Bevacizumab |
| PD-L1 억제제와 VEGF 억제제 병합요법으로 1차 치료 권장됩니다. |
| 💊 Sorafenib, Lenvatinib |
| TKI 계열의 표적 치료제이며 진행성 간세포암의 치료에 사용됩니다. |
예후
Hepatocellular Carcinoma를 조기 발견할 시에는 간이식이나 수술로 장기 생존 가능성이 높으나, 진단 시기가 늦으면 생존율이 급격히 감소합니다.
| 예후 |
| ✅ 조기 발견 및 간이식 시 5년 생존율 70% 이상으로 매우 양호합니다. |
| ✅ 진행된 간암은 치료가 어렵고 평균 생존기간이 6~12개월로 제한됩니다. |
생활 관리
재발 방지 및 간 기능 보호를 위해 철저한 관리가 필요합니다.
| 생활 관리 수칙 |
| 🟨 항바이러스 치료 유지 |
| B형/C형 간염 치료로 재발 위험을 줄입니다. |
| 🟨 절주 및 금연 |
| 간독성 유발 인자를 피해야 간 손상 진행을 막을 수 있습니다. |
| 🟨 정기적 영상 검사 및 AFP 추적 |
| 치료 후 재발을 조기에 발견하기 위한 핵심 추적 방법입니다. |


