
Table of Contents
확장성 심근병증 (DCMP, Dilated Cardiomyopathy)
Dilated Cardiomyopathy (DCMP)는 심장이 확장되고 수축 기능이 떨어져 심부전과 부정맥을 유발하는 질환입니다. 쉽게 말하면, 심장 근육이 약해지고 늘어나서 충분히 피를 내보내지 못하는 상태입니다.
- 너무 확장되어 축 늘어진 고무풍선을 생각해보시면 됩니다.
- 심장의 수축기능이 약화됩니다.
DCMP : 심실이 확장되고 심근 수축력이 저하되어, 심박출량 감소 및 혈액 순환 장애를 초래하는 심장 질환입니다.

| 확장성 심근병증 (DCMP, Dilated Cardiomyopathy) |
| ✅ 좌심실 또는 양심실이 확장되고 수축력이 감소하여 심부전, 부정맥, 혈전 형성 위험이 증가하는 상태입니다. |
원인
다양한 유전적, 비유전적 요인들이 복합적으로 작용합니다.
| 주요 원인 |
| 🔴 유전적 돌연변이(Genetic mutations) |
| 특정 심장 단백질을 만드는 유전자가 변형되어 심장 구조와 기능이 약해집니다. |
| 🔴 바이러스성 심근염(Viral myocarditis) |
| 바이러스 감염으로 심장 근육이 염증을 일으키고, 이로 인해 심장이 손상되고 확장됩니다. |
| 🔴 독성 물질(Toxins) |
| 과도한 음주, 약물(특히 항암제)이 심장 세포를 손상시킵니다. |
| 🔴 자가면역질환(Autoimmune diseases) |
| 몸의 면역체계가 심장 근육을 공격해 염증과 기능 저하를 일으킵니다. |
| 🔴 출산 관련(Peripartum cardiomyopathy) |
| 출산 전후에 심장에 과부하가 걸려 확장성 심근병증이 생길 수 있습니다. |
임상양상
심부전 증상이 나타나며, 부정맥이나 혈전 합병증도 나타날 수 있습니다.
숨이 차고 쉽게 피로해지며, 다리가 붓는 증상을 많이 호소합니다.
| 증상 및 징후 |
| 🟨 운동 시 호흡곤란(Dyspnea on exertion) |
| 심장의 펌프 기능이 떨어져 혈액순환이 원활하지 않아 숨이 찹니다. |
| 🟨 야간 발작성 호흡곤란(PND, Paroxysmal nocturnal dyspnea) |
| 밤에 누우면 폐에 혈액이 몰려 숨쉬기 어려워지고 깨어나기도 합니다. |
| 🟨 하지 부종(Leg edema) |
| 혈액이 정체되어 다리나 발이 붓습니다. |
| 🟨 피로(Fatigue) |
| 심장이 약해 산소와 영양소 공급이 줄어들어 쉽게 지칩니다. |
| 🟨 심계항진(Palpitations) |
| 심장이 불규칙하게 뛰거나 빨리 뛰는 느낌이 들 수 있습니다. |
| 🟨 실신(Syncope) |
| 심박출량이 급격히 떨어지거나 부정맥 발생 시 의식을 잃을 수 있습니다. |
진단
심장 초음파(Echocardiography)를 중심으로 다양한 검사를 통해 확진합니다.
| 진단 방법 |
| 🔵 심장 초음파(Echocardiography) |
| 좌심실 확장과 수축 기능 저하(EF < 40%)를 확인합니다. |
| 🔵 심장 MRI(Cardiac MRI) |
| 심근 섬유화(fibrosis) 여부를 정밀하게 평가할 수 있습니다. |
| 🔵 심장 도자 검사(Cardiac catheterization) |
| 관상동맥질환 여부를 감별하고, 혈역학적 상태를 평가합니다. |
| 🔵 유전자 검사(Genetic testing) |
| 가족성 확장성 심근병증을 확인할 수 있습니다. |

1. MRI 소견

| DCMP의 MRI 소견 |
| ✅ 좌심실 및/또는 우심실 확장 |
| ✅ 심실벽 얇아짐(thinning) |
| ✅ 심박출량 감소(reduced ejection fraction) |
| ✅ 심근 섬유화 : Gadolinium 조영제를 주입하면 10분~20분 후에 섬유화된 부위가 조영제로 밝게 보입니다. – “Late Gadolinium Enhancement (LGE)” |
DCM(확장형 심근병증)에서 MRI로 심근 섬유화를 확인하는 방법
Late Gadolunium Enhancement (LGE)

- 1. Gadolinium(가돌리늄)이라는 조영제를 정맥 주사합니다.
- 2. 조영제는 정상 심근보다 손상된 심근(섬유화 부위)에 더 오래 남아 있습니다.
- 3. 10~20분 후에 MRI를 찍으면, 섬유화된 부위가 조영제로 인해 밝게(하얗게) 보입니다. → 이것이 Late Enhancement입니다.
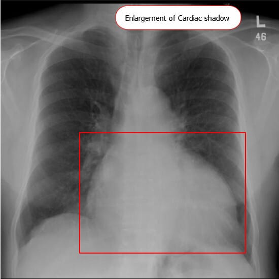
2. 심장초음파(Echocardiography) 소견

- 좌심실의 확장이 관찰됨.
| 좌심실 확장(Left ventricular dilation) |
| 좌심실 크기가 비정상적으로 커지고 벽 두께는 상대적으로 얇아짐 |
| 좌심실 수축 기능 저하(Decreased LVEF) |
| 좌심실 구혈률(EF)이 40% 이하로 감소 |
| 이완기 기능 장애(Diastolic dysfunction) |
| 수축뿐 아니라 이완 기능도 점차 저하됨 |
| 이차적 판막 역류(Secondary mitral/tricuspid regurgitation) |
| 심실 확장으로 인한 승모판 또는 삼첨판 기능 부전 |
3. 심전도(ECG) 소견
| 비특이적 ST-T 변화(Non-specific ST-T changes) |
| ST 분절 및 T파 변화가 흔함 |
| 좌심실비대(LVH) 소견 |
| 전압 증가, 심실성 부정맥 가능성 동반 |
| 심방세동(Atrial fibrillation) |
| 좌심방 확장에 따른 심방세동 발생 가능 |
| 심실성 부정맥(Ventricular arrhythmias) |
| 심근 기능 저하로 인해 심실 조기수축(PVCs) 및 심실빈맥 발생 가능 |
치료
DCMP의 치료는 기본적으로 심장의 부담을 줄이고, 기능을 개선하며, 생존율을 향상시키는 방향으로 진행합니다.
약물 치료
심장의 부담을 줄이고 심부전 진행을 늦추기 위해 다양한 약물을 조합하여 사용합니다.
| 약물 치료 |
| 💊 ACE 억제제(ACE inhibitors, 예: Enalapril) |
| 혈관을 확장시켜 심장 부담을 줄이고 리모델링을 방지합니다. |
| 💊 ARB(Angiotensin II Receptor Blockers, 예: Losartan) |
| ACE 억제제를 사용할 수 없는 경우 대체하며 유사한 효과를 기대합니다. |
| 💊 베타차단제(Beta blockers, 예: Carvedilol) |
| 심장 박동을 조절하고 심장의 산소 요구량을 줄입니다. |
| 💊 이뇨제(Diuretics, 예: Furosemide) |
| 체내 과다 수분을 제거하여 부종과 호흡곤란을 완화합니다. |
| 💊 알도스테론 길항제(Aldosterone antagonists, 예: Spironolactone) |
| 심부전 환자의 생존율을 향상시키고 심장 섬유화를 억제합니다. |
시술 및 수술
약물 치료로 조절되지 않는 경우에는 기기 삽입이나 수술적 치료를 병행합니다.
| 시술 및 수술 |
| 🔷 제세동기 삽입(ICD, Implantable Cardioverter Defibrillator) |
| 치명적인 부정맥 예방을 위해 삽입합니다. |
| 🔷 심장 재동기화 치료(CRT, Cardiac Resynchronization Therapy) |
| 심장 박동을 동기화시켜 펌프 기능을 개선합니다. |
| 🔷 심장 이식(Heart transplantation) |
| 약물 및 기기 치료에도 반응하지 않는 말기 심부전 환자에서 시행합니다. |
예후
조기 진단과 적극적인 치료를 통해 생존율이 향상될 수 있습니다.
| 예후 |
| ✅ 적절한 약물과 기기 치료로 증상 개선 및 생존 연장이 가능합니다. |
| ✅ 치료하지 않으면 심부전 악화, 부정맥, 급사의 위험이 높습니다. |
생활 관리
심장 기능 악화를 방지하기 위해 꾸준한 생활 습관 관리가 중요합니다.
| 생활 관리 수칙 |
| 🟨 저염식 식이 |
| 염분 섭취를 줄여 수분 저류와 부종을 예방합니다. |
| 🟨 규칙적인 체중 측정 |
| 급격한 체중 증가(수분 저류) 여부를 조기에 발견할 수 있습니다. |
| 🟨 과도한 음주, 흡연 금지 |
| 심장 기능 악화를 방지합니다. |
| 🟨 적절한 운동 |
| 심장 부담을 늘리지 않는 범위 내에서 규칙적으로 유산소 운동을 합니다. |

