
All Images by Hacking C, CT chest lung window axial – labeling questions. Case study, Radiopaedia.org (Accessed on 12 Jul 2025) https://doi.org/10.53347/rID-63459


1. cervical portion of trachea


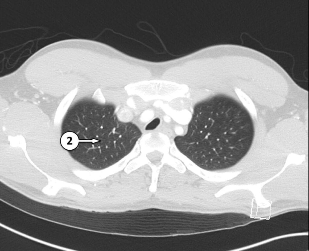
2. apical segment of RUL


3. apicoposterior segment of LUL

4. thoracic portion of trachea

5. thoracic portion of esophagus

6. left oblique (major) fissure

7. apical segmental bronchus of RUL

8. anterior segment of RUL

9. right main bronchus
10. posterior segmental bronchus of RUL

11. apicoposterior segmental bronchus of LUL
12. posterior segment of RUL

13. anterior segmental bronchus of RUL
14. right upper lobar bronchus

15. carina

16. anterior segmental bronchus of LUL

17. anterior segment of LUL
18. right oblique (major) fissure

19. left main bronchus
20. superior segment of RLL

21. bronchus intermedius
22. superior segment of LLL

23. right horizontal (minor) fissure

24. left upper lobar bronchus


25. left lingular bronchus
26. left lower lobar bronchus

27. superior lingular segmental bronchus of LUL
28. superior segmental bronchus of LLL

29. right middle lobar bronchus
30. superior segmental bronchus of RLL

31. lateral segmental bronchus of RML
32. right lower lobar bronchus

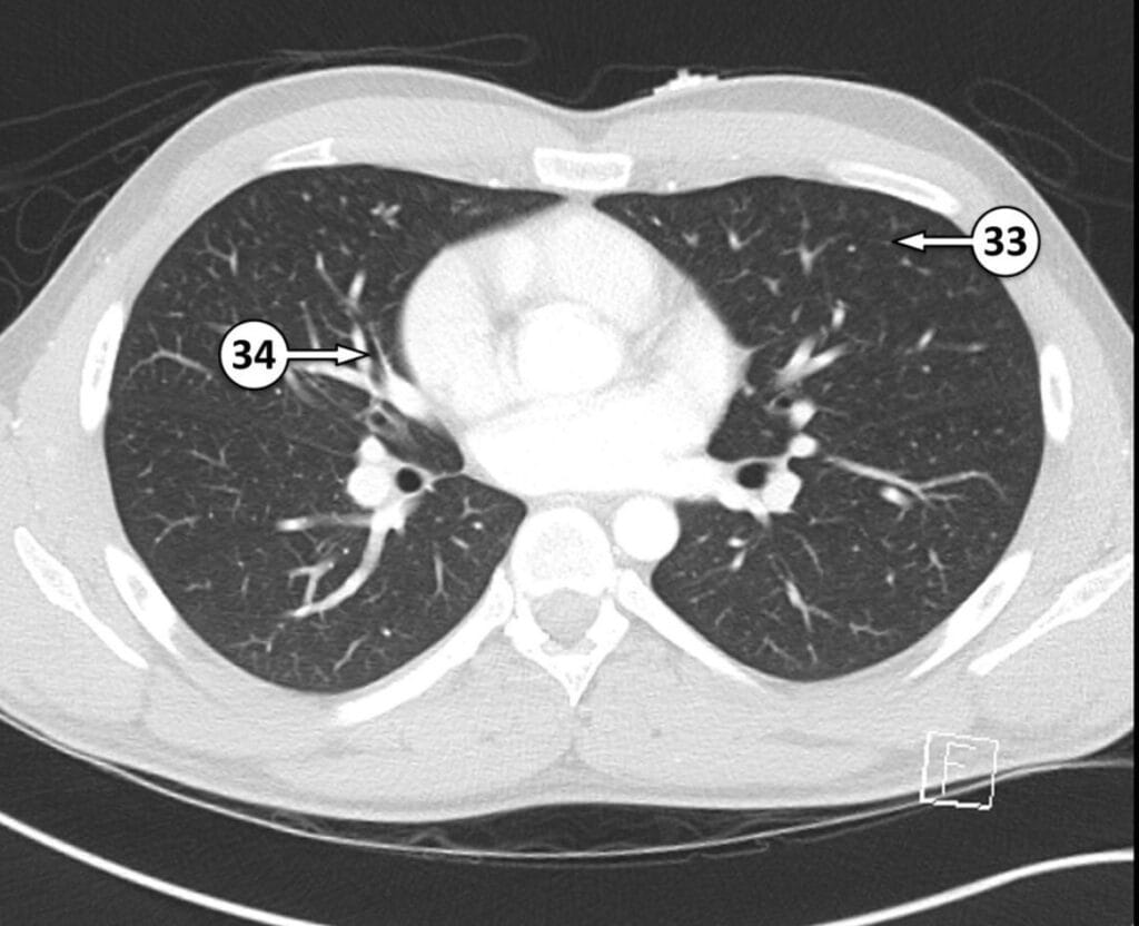
33. superior lingular segment of LUL
34. medial segmental bronchus of RML

35. lateral segment of RML

36. inferior lingular segmental bronchus of LUL
37. anteromedial basal segmental bronchus of LLL

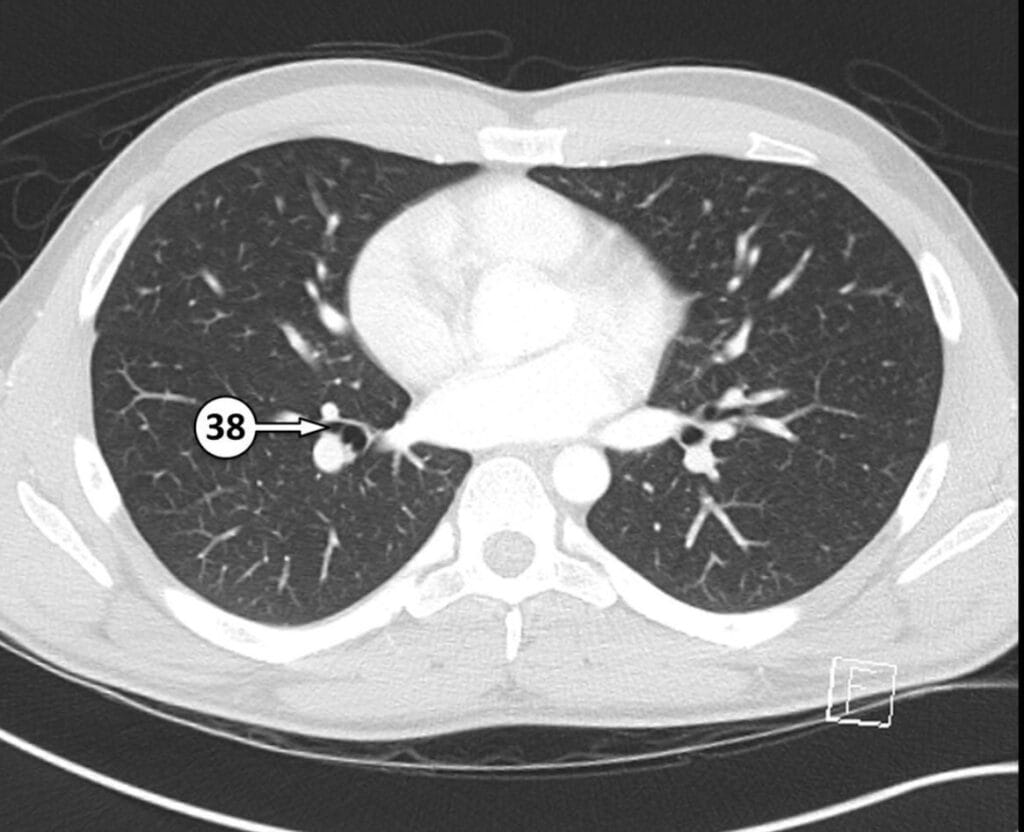
38. lateral basal segmental bronchus of RLL

39. medial basal segmental bronchus of RLL


40. posterior basal segmental bronchus of LLL

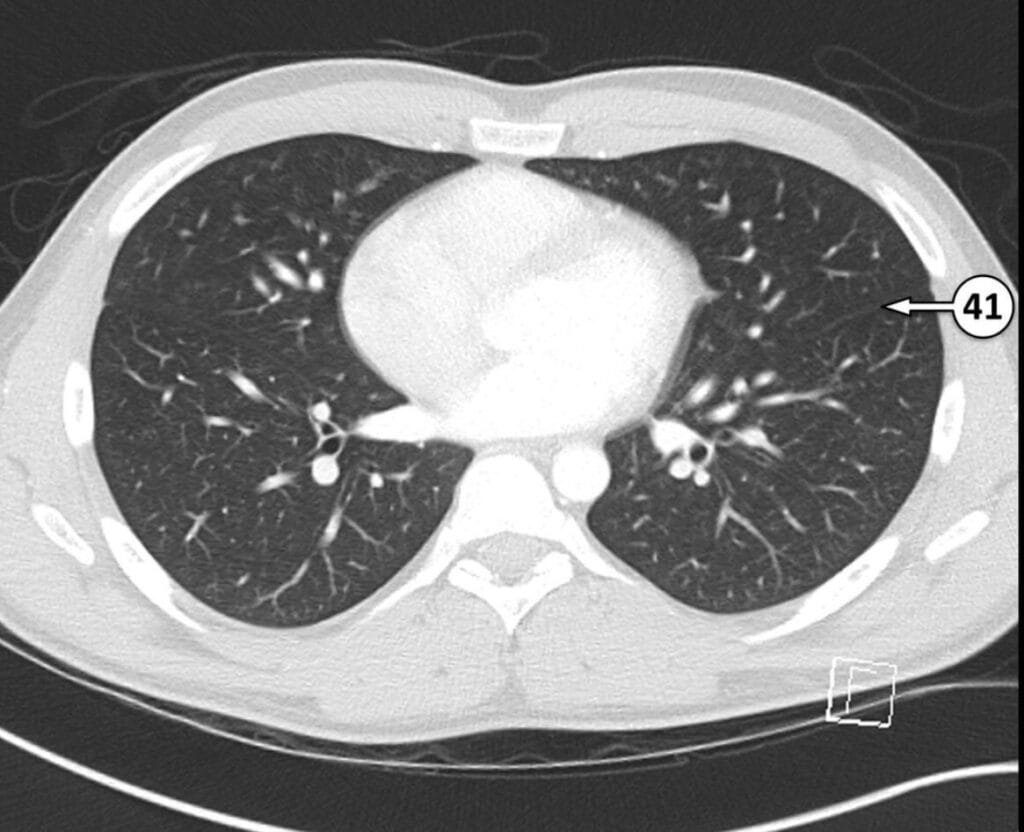
41. left oblique (major) fissure

42. anterior basal segmental bronchus of RLL

43. posterior basal segmental bronchus of RLL


44. right oblique (major) fissure

45. lateral basal segmental bronchus of LLL

46. anteromedial basal segment of LLL


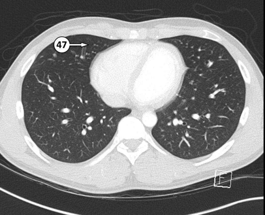
47. medial segment of RML


48. inferior lingular segment of LUL


49. medial basal segment of RLL



50. lateral basal segment of RLL

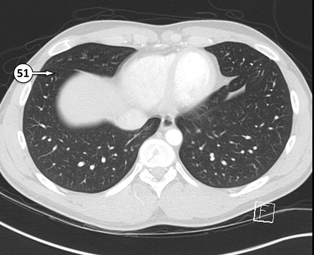
51. anterior basal segment of RLL

52. left oblique (major) fissure

53. posterior basal segment of RLL

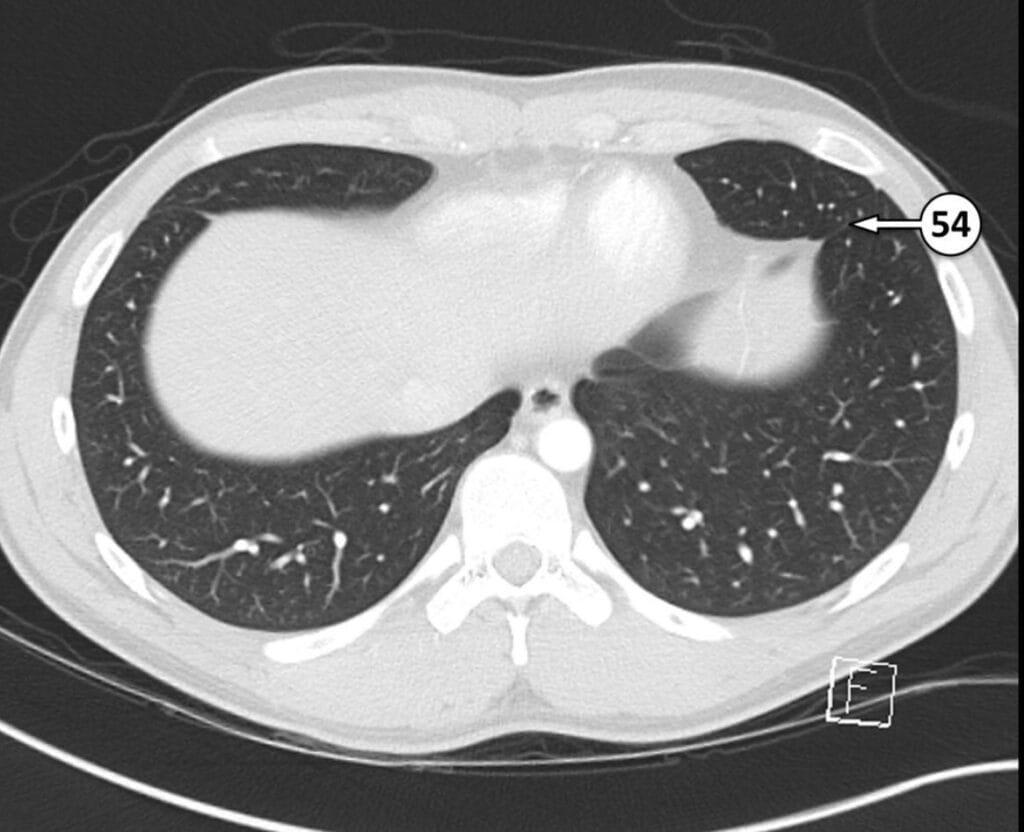
54. accessory fissure

55. posterior basal segment of LLL


56. lateral basal segment of LLL

57. anterior costophrenic recess



58. lateral costophrenic recess


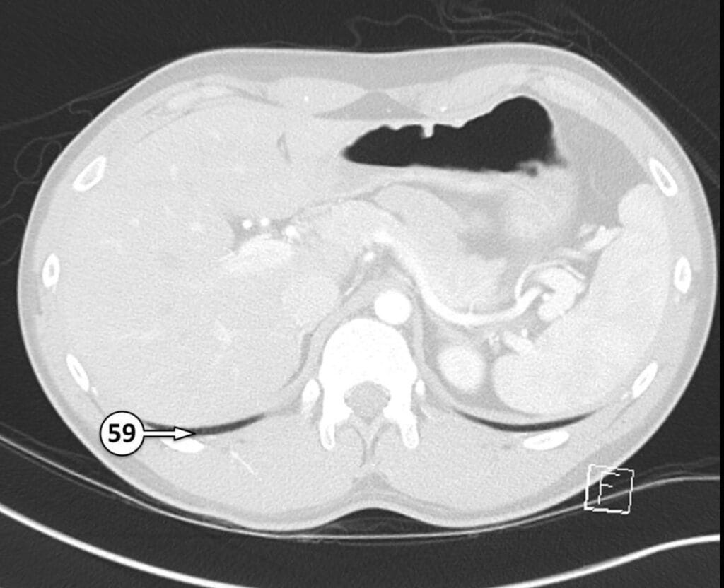
59. posterior costophrenic recess

Table of Contents
Resource
- Hacking C, CT chest lung window axial – labeling questions. Case study, Radiopaedia.org (Accessed on 12 Jul 2025) https://doi.org/10.53347/rID-63459

