
Table of Contents
조직의 종류 4가지
조직이란? 세포들이 모여 조직을 이루며, 특정한 역할을 수행합니다.
조직(Tissue)은 유사한 구조와 기능을 가진 세포들이 모여 특정한 역할을 수행하는 생물학적 단위입니다. 개별세포가 할 수 없는 일을 모여서 해내는 거죠 . 조직의 종류는 네가지 유형으로 분류됩니다.
- 결합 조직(Connective Tissue)
- 상피 조직(Epithelial Tissue)
- 신경 조직(Nervous Tissue)
- 근육 조직(Muscle Tissue)
각각의 조직은 고유의 구조와 기능을 수행합니다. 이번 포스팅에서는 이 4가지 종류의 조직에 대해 살펴보겠습니다.
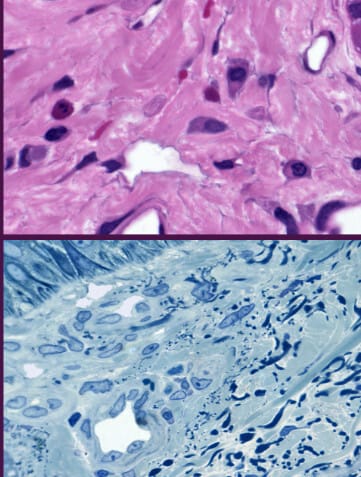
결합 조직 (Connective Tissue)


우리 몸을 지지 , 결합하는 역할을 합니다.
(1) 신체의 다양한 구조를 지지하고 결합하는 역할
- 결합조직은 신체의 다양한 구조를 지지하고 결합하는 역할을 합니다.
(2) 세포, 섬유, 기질로 구성되어 있음
결합 조직은 세포(Cells), 섬유(Fibers), 기질(Matrix)로 구성되어 있다는 특징이 있습니다. 이런 비유가 와닿을지는 모르겠지만 건물로 빗대어 설명해보면 다음과 같습니다.
- 세포 (Cell) : 건물 안의 일꾼들. 건물을 유지하고 관리하며 다양한 역할을 수행하는 ‘인력’
- ex) 섬유아세포 : 섬유를 만들고 유지
- ex) 지방세포 : 지방을 저장
- 섬유 (Fiber) : 건물을 지지하는 기둥, 조직에 강도와 유연성을 제공하는 ‘구조물’
- 콜라겐 섬유 (Collagen fiber) , 탄력 섬유 (Elastic fiber) 등이 있으며 조직에 강도와 유연성을 제공해서 튼튼하게, 유연하게 만들어요
- 기질 (Matrix) : 건물을 채우는 콘크리트, 필요한 영양소를 공급하는 ‘기반’
- 기질은 세포와 섬유가 있는 공간을 채우는 물질로, 주로 액체 혹은 젤 같은 형태로 존재합니다
- 기질은 영양소와 산소를 세포에 전달하고 노폐물을 제거하며 ,세포들이 제자리를 유지할 수 있도록 도와줍니다.
(3) 결합 조직의 종류
성긴 결합 조직 |
|
치밀 결합 조직 |
|
| 연골 (Cartilage) |
|
뼈 |
|
| 지방 조직 (Adipose Tissue) |
|
| 혈액 (Blood) |
|
결합 조직은 뼈를 뼈에, 근육을 뼈에 부착시키고, 혈액 형태로 물질을 운반하며, 뼈에 구조를 제공하고, 지방 조직을 저장하는 등 다양한 중요한 역할을 합니다.
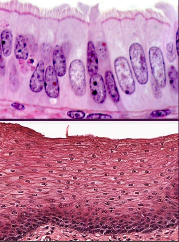
상피 조직 (Epithelial Tissue)


(1) 우리 몸의 표면이나 기관을 덮음
상피 조직(Epithelial Tissue)은 우리 몸을 덮고 혈관과 장기를 둘러싸는 역할을 합니다. 구체적인 기능을 정리해보면 다음과 같습니다.
- 보호: 햇빛과 병원체 등 외부물질로부터 .
- 분비: 땀, 호르몬, 점액 등을 분비
- 흡수: 영양소와 같은 물질을 흡수
- 교환: 예를 들어, 산소와 이산화탄소가 상피 조직을 통해 교환됩니다.
- 감각: 감각을 느끼는데 중요한 역할 니다.
(2) 상피 조직의 종류
상피조직은 형태와 층의 수에 따라 여러 유형으로 분류됩니다.
형태에 따라
| 편평 상피(Squamous Epithelial Tissue) | 가로가 세로보다 큰 팬케이크 모양이며, 폐와 혈관에서 발견됩니다. |
| 입방 상피(Cuboidal Epithelial Tissue) | 가로 세로가 비슷한 큐브 형태로 , 분비샘에서 자주 발견됩니다. |
| 원주 상피(Columnar Epithelial Tissue) | 가로보다 세로가 긴 기둥 모양으로, 소화관과 기관지 등에서 발견됩니다. |
층수에 따라
| 단층 상피(Simple Epithelial Tissue): | 한 층으로 이루어져 있습니다. |
| 층상 상피(Stratified Epithelial Tissue): | 여러 층으로 이루어져 있습니다. |
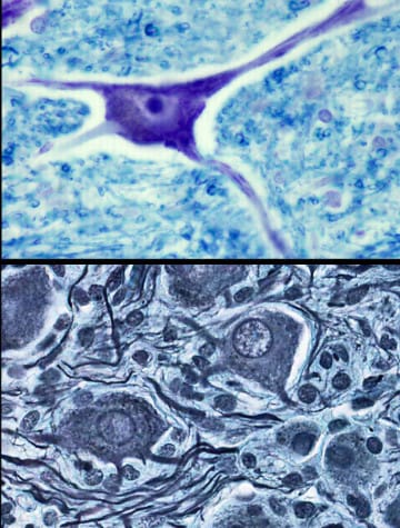
신경 조직 (Nervous Tissue)


(1) 우리 몸의 전기 신호를 전달
신경 조직(Nervous Tissue)은 뇌, 척수, 그리고 말초 신경계에 위치하며, 대부분 신경 세포(Neurons)로 구성됩니다. 신경 세포의 주요 역할은 전기 신호를 신체 전체에 전달하는 것입니다. 이를 통해 뇌와 신체가 소통할 수 있습니다.
(2) 신경 조직의 종류
뉴런(신경세포) | 전기적 신호 생성 및 전달 |
| 신경 아교세포 (Glial cells) | 뉴런을 지지하고 보호
|
근육 조직 (Muscle Tissue)


(1) 수축과 이완을 통해 우리 몸의 움직임을 담당함.
근육 조직(Muscle Tissue)은 인체에서 발견되는 조직 중 하나로, 내부 및 외부의 움직임을 담당합니다. 근육 조직은 다음과 같은 역할을 합니다:
이외에도 근육은 자세를 유지하거나, 체온을 유지하는데 기여합니다.
- 자세 유지: 몸의 자세를 유지하는 데 도움을 줍니다.
- 열 생산: 체온 유지에 기여합니다.
(2) 근육 조직의 종류
근육 조직은 수축하고 확장하여 움직일 수 있는 능력을 가지고 있습니다. 근육 조직은 세 가지 주요 유형으로 나뉩니다:
| 골격근 (Skeletal Muscle) |
|
| 평활근 (Smooth Muscle) |
|
| 심장근 (Cardiac Muscle): |
|
Resource
- Illustrations By Servier Medical Arts ,Licensed Under CC BY 4.0
- Image by Digital Histology.Virginia Commonwealth University. Licensed under CC BY-NC-SA 4.0.

