stomach cancer

위암 (Stomach Cancer)

위암(Stomach Cancer)는 위 점막에서 발생하는 악성 종양으로, 조기에는 증상이 없고 진행될수록 체중 감소, 식욕 저하 등의 소화기 증상이 나타나는 암입니다.

위의 상피세포가 악성 변화를 일으켜 종양을 형성하며, 대부분 선암(Adenocarcinoma)입니다.

위 점막에서 발생하는 악성 종양으로, 조기에는 무증상이나 진행되면 침윤 및 전이 가능성이 높습니다.

위암(Stomach cancer)은 대부분 선암(Adenomacarcinoma)으로 나타납니다.

Pie chart of stomach cancer types by relative incidence. Reference for data: (1991). “Helicobacter pyloriInfection and the Risk of Gastric Carcinoma”. New England Journal of Medicine 325 (16): 1127–1131. DOI:10.1056/NEJM199110173251603ISSN 0028-4793.

원인

염증성 환경, 감염, 식습관, 유전 등 복합적인 요인이 작용합니다.

🔴 헬리코박터 파일로리 감염(H. pylori)
만성 위염과 위축성 변화 유도 → 발암 가능성 증가
🔴 흡연
위 점막 손상과 돌연변이 축적으로 위암 위험 상승
🔴 염장 식품 섭취
질산염, 염분이 위점막에 손상을 주고 변이 유도
🔴 유전적 소인(Family history)
위암 가족력 또는 CDH1 유전자 돌연변이 관련 위험 증가

임상양상

초기에는 무증상이며, 진행되면 비특이적 소화기 증상이 나타납니다.

식사량이 줄고 체중이 빠지며, 상복부 통증과 구토가 동반될 수 있습니다.

🟨 체중 감소
음식 섭취량 감소, 암 자체의 대사 영향 등으로 진행
🟨 조기 포만감(Early satiety)
위 용적이 줄거나 위 배출 장애로 소량만 먹어도 포만
🟨 상복부 불쾌감 및 통증
위벽 침범 시 염증, 팽창, 궤양 형성으로 통증 발생
🟨 오심/구토
위출구 폐쇄나 점막 자극으로 음식 섭취 후 구토 발생
🟨 토혈 또는 흑변
위암의 궤양화로 출혈 발생 시 상부위장관 출혈 소견

진단

위내시경과 조직검사를 기본적으로 시행하며 , 병기 확인 위해 영상 검사를 시행합니다.

🔵 위내시경(Esophagogastroduodenoscopy)
의심 병변 시 생검으로 확진 가능. 조기 위암 발견에 필수

Stomach Cancer By Beet012 – Own work, CC BY-SA 3.0, https://commons.wikimedia.org/w/index.php?curid=26065284
🔵 조직 생검(Biopsy)
악성 여부를 조직학적으로 확진하는 유일한 방법

By Calicut Medical College  – DEPARTMENT OF PATHOLOGY, CALICUT MEDICAL COLLEGE, CC BY-SA 4.0, https://commons.wikimedia.org/w/index.php?curid=44954949

Stomach Cancer – 병리학적 소견

  • Gland가 muscle layer을 침윤
  • Dysplastic한 세포들
  • Neoplastic cells arranged in cords and in glandular pattern

🔵 복부 CT
림프절 전이, 주변 장기 침범, 원격 전이 평가

🔵 PET-CT 또는 EUS
정밀 병기 설정 및 국소 림프절, 심층 침윤 여부 확인

영상 소견

🔵 위내시경(Endoscopy)
조기 위암은 점막/점막하 국한 불규칙 병변, 궤양 모양 또는 융기 형태로 보임

Di Muzio B, Adenocarcinoma of the gastric antrum. Case study, Radiopaedia.org (Accessed on 19 Apr 2025) https://doi.org/10.53347/rID-17416
🔵 조영 위장관 촬영(Upper GI series)
벽의 비정상적 윤곽, 궤양, Filling Defect

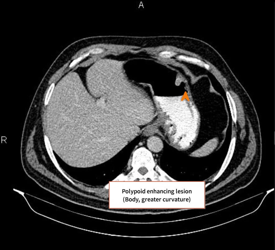
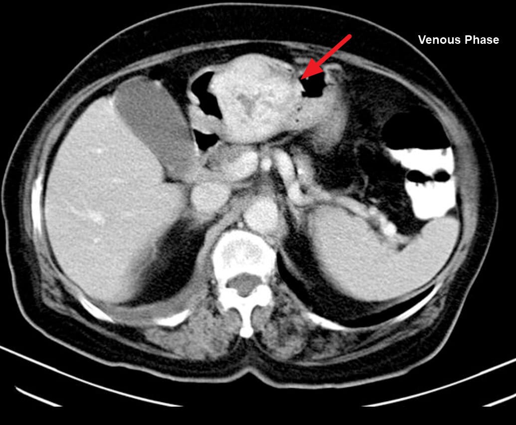
🔵 복부 CT
위벽 비후, 림프절 종대, 인접 장기 침윤, 간 등으로의 전이 확인


Di Muzio B, Adenocarcinoma of the gastric antrum. Case study, Radiopaedia.org (Accessed on 19 Apr 2025) https://doi.org/10.53347/rID-17416

Stomach Cancer – 영상 소견상 특징

  • Wall thickening and irregular enhancing mass in the gastric antrum region. (Portal venous phase / Delayed Phase)
Niknejad M, Gastric carcinoid tumor. Case study, Radiopaedia.org (Accessed on 14 Jul 2025) https://doi.org/10.53347/rID-201554
Gaillard F, Gastric adenocarcinoma. Case study, Radiopaedia.org (Accessed on 14 Jul 2025) https://doi.org/10.53347/rID-15047

Cuete D, Gastric carcinoma.
Case study, Radiopaedia.org (Accessed on 14 Jul 2025) https://doi.org/10.53347/rID-30234
Yan, Chamrong & Zhu, Z-G & Yan, Mengjing & Zhang, Henggui & Pan, Z-L & Chen, Jieni & Xiang, M & Chen, M-M & Liu, Bingya & Lin, Y-Z. (2011). Clinicopathological Characteristics and Computed Tomography Features of Mucinous Gastric Carcinoma. The Journal of international medical research. 39. 291-301. 10.1177/147323001103900132.

🔵 내시경 초음파(EUS)
T stage 및 위벽 침윤 깊이, 주변 림프절 상태 평가에 매우 유용

병기 분류 (TNM 기준)

TNM Staging

위암의 병기는 TNM(종양 T, 림프절 N, 전이 M)에 따라 분류됩니다.

🔵 T (종양 깊이)
T1: 점막 또는 점막하층
T2: 근육층 침범
T3: 장막하층 침범
T4: 장막 또는 주변 장기 침범

 Stomach Cancer TNM staging – Cancer Research UK.

🔵 N (림프절 전이)
N0: 없음
N1: 1~2개
N2: 3~6개
N3: 7개 이상 림프절 전이
 Stomach Cancer TNM staging – Cancer Research UK.
🔵 M (원격 전이)
M0: 전이 없음
M1: 간, 폐, 복막 등으로 전이 있음
 Stomach Cancer TNM staging – Cancer Research UK.

Stage grouping

TNM 조합에 따라 병기(Stage)를 분류할 수 있습니다.

병기 (Stage)
Stage 0 : Tis, N0, M0
Stage IA : T1, N0, M0
Stage IB : T1, N1, M0 또는 T2, N0, M0
Stage IIA : T1, N2, M0 또는 T2, N1, M0 또는 T3, N0, M0
Stage IIB : T1, N3a, M0 또는 T2, N2, M0 또는 T3, N1, M0 또는 T4a, N0, M0
Stage IIIA : T2, N3a, M0 또는 T3, N2, M0 또는 T4a, N1, M0 또는 T4b, N0, M0
Stage IIIB : T3, N3a, M0 또는 T4a, N2, M0 또는 T4b, N1, M0
Stage IIIC : T4a, N3a/N3b, M0 또는 T4b, N2/N3a/N3b, M0
Stage IV : 모든 T, 모든 N, M1

치료

위암 치료는 병기에 따라 내시경 절제, 수술, 항암화학요법, 방사선 치료 등이 조합됩니다.

병기별 치료 전략

Stage I: 내시경 절제 또는 근치적 수술 / Stage II~III: 수술 + 보조항암 / Stage IV: 항암 또는 완화요법

위암 치료는 병기에 따라 완전히 달라지며, 수술, 항암요법, 방사선, 내시경 치료 등이 병합됩니다.

  • Stage 0~I: 비교적 예후가 좋은 조기 위암에 해당하며, 내시경 절제술 또는 수술적 절제가 고려됩니다.
  • Stage II~III: 국소 진행성 위암으로, 수술 + 보조 항암치료(Adjuvant chemotherapy) 또는 선행 항암치료(Neoadjuvant)를 고려합니다.
  • Stage IV: 원격 전이가 존재하므로 근치적 수술은 어려우며, 항암치료 또는 완화 치료가 주가 됩니다.
Stage I (조기 위암)
T1N0 / 일부 T1N1에 해당.
내시경 점막 절제술(ESD) 가능하며, 고위험군은 위 절제술과 림프절 절제 병행

Stage II–III (진행 위암)
근치적 위절제술(부분 또는 전절제) + D2 림프절 절제술 후 보조항암요법(FOLFOX 등) 권장

Stage IV (전이성 위암)
고식적 화학요법이 주 치료.
HER2(+): trastuzumab, PD-L1(+): pembrolizumab 병합 가능

수술 치료

병기나 상황에 따라 다른 치료를 시행합니다. 위절제술 및 위암의 수술 치료에 대한 건 따로 포스트를 자세하게 작성하겠습니다 🙂

  • 조기 위암(T1a): 내시경 절제술 가능 (EMR, ESD)
  • 진행성 위암: 아전절제술 또는 전절제술 + D2 림프절 절제
    • if 상부위암 or 광범위암: 전절제술
  • 미만성 침윤 or Borrmann IV형: 전절제 고려 + 보조 화학요법 필수
  • 고령 또는 고위험 환자: 최소 침습 수술 고려 (복강경/로봇 수술)
  • 삶의 질 개선 (국소 증상 개선): 위우회술, 스텐트 삽입
🔵 내시경 점막 절제술(EMR, ESD)
조기 위암 중 림프절 전이 가능성이 낮은 병변에만 시행
🔵 위 절제술(Gastrectomy)
부분 또는 전 위 절제 + 림프절 절제술
🔵 보조항암화학요법(Adjuvant chemotherapy)
수술 후 잔존 세포 제거 및 재발 감소 목적
🔵 표적치료/면역치료
HER2(+), PD-L1(+) 등 분자 표지자에 따라 적응
🔵 완화치료
위암에 의해 소화관이 막히면 음식물이 통과하기 어렵습니다. 이를 완화하기 위해 스텐트 치료 / 위우회술 등을 시행합니다

약물 치료

진행성 위암의 경우 항암제를 투여

💊 플루오로우라실(5-FU)
DNA 합성 억제를 통한 세포 증식 억제
💊 옥살리플라틴(Oxaliplatin)
백금계 항암제, DNA 교차결합으로 세포사 유도
💊 트라스트주맙(Trastuzumab)
HER2 양성 위암에서 사용되는 표적항암제

예후

조기 발견 시 예후는 매우 좋으나, 진행 암은 예후가 나쁩니다.

조기 위암은 5년 생존율 90% 이상으로 매우 좋음
진행성 위암은 전이 여부에 따라 5년 생존율 30% 이하

생활 관리

위암 예방 및 수술 후 관리에서 식습관과 금연이 중요합니다.

🟨 금연
위암 위험을 증가시키므로 금연은 필수적입니다.
🟨 짠 음식 줄이기
염분과 발암물질 축적을 줄이기 위해 식단 조절이 필요합니다.
🟨 정기 위내시경 검진
조기 위암은 무증상이므로, 정기적 검진으로 조기 발견이 중요합니다.

Resource