
Table of Contents
소세포폐암 (Small Cell Lung Cancer)
Small Cell Lung Cancer (SCLC)는 폐암의 한 유형으로, 세포 크기가 작고 빠르게 성장하며 전이가 매우 잘 일어나는 특징이 있습니다. 조기에 발견하기 어렵고, 대부분 진단 시 이미 다른 장기로 퍼져 있는 경우가 많아 예후가 좋지 않습니다.
Small Cell Lung Cancer (SCLC)
: 신경내분비세포에서 유래한 악성 종양으로, 폐 중심부에 주로 발생하고, 항암치료에 일시적으로 반응하더라도 재발이 흔합니다.
원인
흡연이 가장 중요한 위험 요인으로 작용하며, 환경적/직업적 노출도 영향을 줄 수 있습니다.
| 주요 원인 |
| 🔴 흡연 (Smoking) |
| 소세포폐암 환자의 대부분은 흡연력이 있으며, 강한 관련성이 확인되었습니다. |
| 🔴 방사선, 석면 등 직업성 노출 |
| 산업현장에서의 발암 물질 노출이 위험을 증가시킬 수 있습니다. |
| 🔴 기저 폐질환 (COPD, 폐섬유증 등) |
| 만성적인 폐손상이 암세포 발생 가능성을 높입니다. |
임상양상
Small Cell Lung Cancer의 주요 증상으로는 기침, 객혈, 호흡곤란이 있으며, 빠르게 진행하며 전이 증상이 동반됩니다.
환자는 기침이나 객혈로 내원하고, 간·뼈·뇌로 퍼진 후 전신 증상을 호소하는 경우가 많습니다.
| 증상 및 징후 |
| 🟨 기침 및 객혈 |
| 폐 중심부 종양이 기관지 점막을 자극하거나 침범해 기침과 출혈이 발생합니다. |
| 🟨 호흡곤란 |
| 기도 압박, 폐포 침범 또는 흉막 삼출로 인해 숨이 차게 됩니다. |
| 🟨 종격동 증후군 (Superior vena cava syndrome) |
| 종양이 상대정맥을 눌러 얼굴 부종, 경정맥 팽창, 두통이 발생합니다. |
| 🟨 뇌 전이 증상 |
| 의식 저하, 두통, 경련 등이 나타날 수 있으며, 진단 당시 뇌 전이를 동반하는 경우도 많습니다. |
| 🟨 부종양 증후군 (Paraneoplastic syndromes) |
| SIADH, 쿠싱증후군, Lambert-Eaton 증후군 등이 동반될 수 있습니다. |
진단
조직학적 확인이 필요하며, 병기 결정과 전이 여부를 함께 평가해야 합니다.
| 진단 방법 |
| 🔵 기관지내시경 및 생검 (Bronchoscopy with biopsy) |
| 폐 중심부 병변을 직접 확인하고 조직을 채취해 진단합니다. |
| 🔵 흉부 CT 및 PET-CT |
| 병변의 크기, 림프절 침범, 원격 전이를 확인합니다. |
| 🔵 뇌 MRI |
| 진단 당시 뇌 전이 여부를 확인하기 위해 필수로 시행합니다. |
| 🔵 종양표지자 검사 (NSE, ProGRP) |
| 진단 보조 및 치료 반응 모니터링에 사용합니다. |
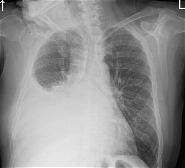
영상 소견
흉부 X-ray
가장 기본적인 검사로, Atelectasis나 Pleural Effusion이 동반될 수 있습니다.
| 중심부 음영(mass) |
| 폐문부 또는 종격동 부위에 종괴성 음영이 관찰될 수 있음 |
| 무기폐 또는 폐렴 유사 소견 |
| 기관지 폐쇄로 인한 폐무기폐(atelectasis) 또는 염증성 음영 가능 |

영상 소견상 특징
- Large right-sided pleural effusion, probably with component of atelectasis as the mediastinum and heart are not displaced contralaterally.
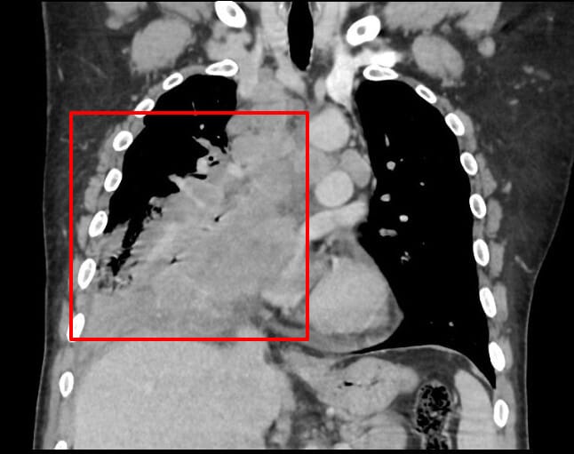
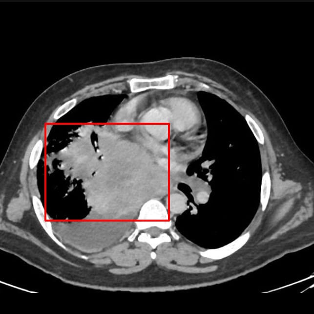
흉부 CT 소견
주로 폐 중심부에 발견, 종격동 림프절 비대 동반
소세포폐암 진단 및 병기 결정에 가장 중요한 영상 검사입니다.
| 중심부 종괴(central mass) |
| 폐문(hilum) 또는 기관지 근처에 조영 증강되는 덩어리성 병변 |
| 종격동 림프절 비대 |
| 대칭적으로 비대해진 림프절이 흔하며, 빠르게 전이됨 |
| 기관지 협착 또는 폐쇄 |
| 종양이 기관지를 압박하거나 막아 폐허탈(무기폐) 유발 |


Glick Y, Small cell lung cancer. Case study, Radiopaedia.org (Accessed on 20 Apr 2025) https://doi.org/10.53347/rID-161374
영상 소견상 특징
- Right lung hilum 쪽에 Large mass with necrotic foci
- Complete RML collapse.
- Large RLL consolidation and interstitial thickening in rest of lobe.
- Large right pleural effusion.
PET-CT 소견
원발 종양과 전신 전이 병소를 동시에 확인할 수 있어 병기 결정에 중요합니다.
| 고대사 활성을 보이는 종괴 |
| 폐의 중심부 종괴에서 FDG 섭취 증가 (SUV↑) |
| 다발성 원격 전이 병소 |
| 간, 부신, 뼈 등 다양한 장기로 퍼진 고섭취 병변이 관찰됨 |

영상 소견상 특징
- Large right adrenal metastasis
- Marked FDG uptake
뇌 MRI 소견
소세포폐암은 뇌 전이가 흔합니다. 뇌 전이 병변 영상 소견을 정리해보겠습니다.
| 다발성 조영 증강 병변 |
| 회백질 경계(gray-white junction)에 전형적인 뇌 전이 병변이 관찰됨 |
| 무증상 뇌 전이 |
| 초기에는 무증상이나 영상에서만 확인되는 경우 많아 예방적 방사선 치료 고려 |


Gaillard F, Cerebellar metastasis – small cell lung cancer. Case study, Radiopaedia.org (Accessed on 20 Apr 2025) https://doi.org/10.53347/rID-10248
치료
병기에 따라 항암화학요법 ± 방사선치료를 시행하며, 수술은 거의 시행하지 않습니다.
소세포폐암은 매우 빠르게 자라기 때문에 진단 즉시 병기 결정을 하며 항암치료를 빠르게 시작해야 합니다.
병기 (Limited Stage / Extensive Stage)
소세포폐암(Small Cell Lung Cancer, SCLC)은 진행이 매우 빠르고 전이가 잘 되는 암이기 때문에, 병기를 나눌 때 일반적인 폐암처럼 TNM 병기 대신 “제한병기(Limited stage)”와 “확장병기(Extensive stage)”라는 단순한 분류를 주로 사용합니다.
제한 병기 (Limited Stage)
한쪽 폐에 생긴 암이, 같은 쪽의 종격동 림프절까지만 퍼졌을 경우
암이 한쪽 폐(lung)와 그 주위 림프절(hilar, mediastinal lymph nodes)에만 국한되어 있어 한 번의 방사선 조사 범위 안에 들어갈 수 있는 경우를 말합니다.
- 일반적으로 암이 한쪽 흉곽 안에만 국한되어 있는 상태예요.
- 방사선 치료와 항암 치료를 병행할 수 있는 병기입니다.
- 환자의 약 30~40%가 진단 시 제한병기에 해당합니다.
확장 병기 (Extensive Stage)
폐암이 반대쪽 폐, 반대쪽 림프절, 외부 장기 (간, 뇌, 뼈 등)으로 퍼진 경우
Extensive Stage는 반대로 암이 반대쪽 폐, 반대쪽 림프절, 흉강 외부 장기(간, 뼈, 뇌 등)로 퍼져 한 번의 방사선 조사 범위를 넘는 경우를 말합니다.
- 다시 말해, 국소 치료(방사선 등)만으로는 완치가 어려운 병기입니다.
- 진단 당시 환자의 약 60~70%가 확장병기에 해당합니다.
- 주로 항암 화학요법(전신 치료) 위주의 치료를 합니다.
항암치료 및 방사선
치료는 “제한병기(Limited stage)”와 “확장병기(Extensive stage)”로 나누어 접근합니다.
| 항암 및 방사선 치료 방향 |
| 💊 항암화학요법 |
| 항암제 예시 : Etoposide, Cisplatin, Carboplatin 등 / 상황에 따라 병용 등 고려 |
| 세포독성 항암제로 종양의 크기를 줄이고 생존기간을 연장합니다. |
| 🔷 흉부 방사선 치료 |
| 제한병기에서는 항암치료와 병행하여 종양을 조절합니다. |
| 🔷 뇌예방적 방사선치료 (PCI) |
| 조기 뇌전이를 방지하기 위해 완전 반응 후 예방적으로 시행합니다. |
예후
소세포폐암은 예후가 나쁘며, 대부분 수년 내 재발하거나 사망에 이릅니다.
| 예후 |
| ✅ 제한병기라도 항암치료 후 2년 생존율은 약 20~30%입니다. |
| ✅ 확장병기는 평균 생존기간이 1년 미만입니다. |
생활 관리
치료 후에는 철저한 추적 관찰과 금연이 중요합니다.
| 생활 관리 수칙 |
| 🟨 금연 유지 |
| 재발 및 다른 폐암 발생 가능성을 줄이기 위해 반드시 금연을 유지해야 합니다. |
| 🟨 치료 후 정기 영상 검사 |
| 재발 가능성이 높기 때문에 정기적인 CT, MRI 등을 시행하며 모니터링합니다. |
| 🟨 부종양 증후군 감시 |
| 재발 없이도 부종양 증후군이 먼저 나타날 수 있어 증상 관찰이 필요합니다. |


