Skip to content
의학당 아카이브 로고

의학당

의학 지식 아카이브

  • About
  • 전체글
  • 분야별
  • 기초의학
  • 임상의학
의학당 아카이브 로고
의학당
의학 지식 아카이브
  • 분야별
  • 기초의학
  • 임상의학
anatomy

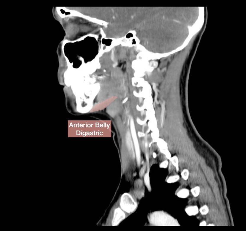
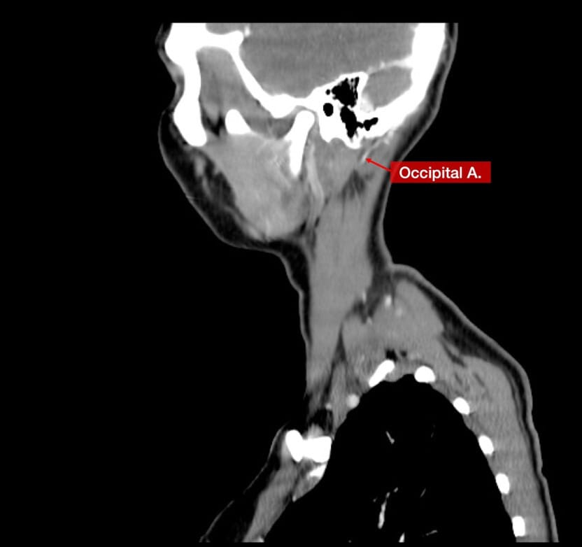
Neck CT Anatomy, Sagittal

작성자:의학당 마지막 수정일: 2025년 08월 29일
PDF 📄

Resource

  • Kennedy T, CT neck with annotated scrollable images. Case study, Radiopaedia.org (Accessed on 29 Jul 2025) https://doi.org/10.53347/rID-74853

Post Tags: #영상 - CT#해부학- 목

글 탐색

Previous Previous
약물에 의한 신장 독성 (Drug-Induced Nephrotoxicity)
NextContinue
약물에 의한 혈액 독성 (Drug Induced Hematologic Toxicity)

블로그 검색

바로가기

  • 분야별
    • 순환기학
    • 호흡기학
    • 소화기학
    • 신장/ 비뇨의학
    • 내분비학
    • 혈액학
    • 종양학
    • 신경학
    • 근골격학
    • 면역학
    • 감염학
    • 산과학
    • 부인과학
    • 정신건강의학
    • 소아청소년과학
    • 피부과학
    • 안과학
    • 이비인후과학
    • 응급의학
    • 재활의학
  • 기초의학
    • 생리학
    • 병리학
    • 해부학
    • 조직학
    • 생화학
    • 약리학
    • 미생물학
    • 의통계학
  • 임상의학
    • 질환
    • 감별 진단
    • 검사
    • 약물
    • 처치/수술

기초 의학

  • 해부학
  • 생리학
  • 조직학
  • 병리학
  • 생화학
  • 의통계학
  • 미생물학
  • 약리학

임상 의학

  • 질환
    • 순환기 질환
    • 호흡기 질환
    • 소화기 질환
    • 신장/비뇨 질환
    • 내분비 질환
    • 감염 질환
    • 혈액 질환
    • 종양 질환
    • 면역 질환
    • 근골격계 질환
    • 신경 질환
    • 정신 질환
    • 산과 질환
    • 부인과 / 유방 질환
    • 소아청소년과 질환
    • 피부 질환
    • 안과 질환
    • 이비인후과 질환
    • 유전 질환
  • 검사
  • 감별 진단
  • 약물
  • 처치/수술
분야별 의학
  • 분야 선택
    • 순환기학
    • 호흡기학
    • 소화기학
    • 신장/ 비뇨의학
    • 내분비학
    • 감염학
    • 혈액학
    • 종양학
    • 면역학
    • 근골격학
    • 신경학
    • 정신건강의학
    • 산과학
    • 부인과학
    • 소아청소년과학
    • 안과학
    • 이비인후과학
    • 피부과학
    • 재활의학
    • 마취통증의학
    • 응급의학

SITELINKS

의학당 메인 로고 (euihak.com)

의학당e

의학 지식을 더 쉽게 정리합니다.
(비전공자용)

SITE INFORMATION
  • 이용약관
  • 개인정보처리방침
  • About
  • Blog
DISCLAIMER

본 사이트에서 제공하는 모든 의학 정보는 교육 및 일반적인 정보 제공 목적으로만 사용됩니다. 본 사이트의 콘텐츠는 전문의의 진료 및 상담을 대체할 수 없으며, 특정 건강 상태나 질환에 대해 정확한 진단 및 치료를 원하시면 반드시 의사 또는 전문 의료인과 상담하시기 바랍니다.

본 사이트의 정보를 참고하여 발생한 건강상의 문제, 손해 또는 손실에 대해 책임지지 않습니다.

Copyright © 2026 의학당. All rights reserved.

본 사이트의 콘텐츠는
크리에이티브 커먼즈 저작자표시-비영리 4.0 국제 라이선스(CC BY-NC 4.0)에 따라 이용하실 수 있으며
출처와 링크를 모두 명확히 표시한 경우에 한해, 비영리적 목적의 공유를 제한적으로 허용합니다.

영리적 목적의 이용이나 출처 또는 링크를 표시하지 않은 이용은 엄격히 금지되며,
위반 시 관련 법령에 따라 법적 책임을 물을 수 있습니다.

Wordpress Theme by 워플:WPlaybook.

Scroll to top
Search