위에서부터 밑으로 스캔한 CT입니다 🙂


- 중간간정맥(MHV, Middle Hepatic Vein) 기준
- MHV 오른쪽은 우엽(Right lobe) : 5,6,7,8
- 왼쪽은 좌엽(Left lobe) : 2, 3, 4

- 좌간정맥(LHV, Left Hepatic Vein) 또는 간의 외측/내측 구분
- 외측(segment 2, 3)
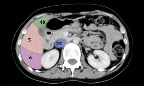
- 내측(segment 4)

- Segment 1 (Caudate Lobe, 미상엽)
- 독립된 혈류를 갖는 IVC 앞쪽의 독립적 분절로, 모든 정맥선보다 뒤쪽에 위치

- 문맥(portal vein)을 기준으로 간의 상부/ 하부를 나눕니다.
- 문맥 위쪽은 ‘상부(segment 2, 4a ,7, 8 )’,
- 문맥 아래쪽은 ‘하부(segment 3, 4b 5, 6 )’로 분류합니다.
- Left Portal vein은
- Segment 2, 3으로 가는 Lateral branch (좌측으로 감)
- Segment 4로 가는 Medial branch (우측으로 감)로 분지됩니다.

- 문맥(portal vein) 하부는 ‘하부(segment 3, 4b 5, 6 )‘로 분류합니다.
- Right Portal vein은
- Segment 5 (하부) + Segment 8 (상부)로 가는 Anterior branch와
- Segment 6 (하부) + Segment 7 (상부)로 가는 Posterior branch로 분지됩니다.

- 간 우엽은 Right Hepatic Vein (우간정맥) 기준으로 전방과 후방으로 나뉩니다.
- Anterior branch : Segment 5 (전하방) + Segment 8 (전상방)
- Posterior branch : Segment 6 (후하방) + Segment 7 (후상방)



- 이제 하나씩 안보이기 시작합니다. 대부분 Segment 3이 가장 먼저 안보이게 됩니다.
- 3 -> 4b – > 5/ 6

- 마지막까지 남는 건 S6 또는 S5/6 경계가 되겠습니다.

- 읽어주셔서 감사합니다.
Resource
- Created by Modifying Hocking J, Liver segments (annotated CT). Case study, Radiopaedia.org (Accessed on 23 Apr 2025) https://doi.org/10.53347/rID-45972

