
Table of Contents
호지킨 림프종 (Hodgkin Lymphoma)
호지킨 림프종(Hodgkin Lymphoma)은 악성 B세포 림프종의 일종으로, Reed-Sternberg 세포라는 특징적인 이핵 거대세포가 림프절에서 증식하며 주로 연속적인 림프절을 따라 퍼지는 질환입니다.

무통성 림프절 종대와 함께 발열, 야간 발한, 체중 감소 같은 전신 증상이 동반되기도 합니다.
| 호지킨 림프종 (Hodgkin Lymphoma) |
| 🟥 Reed-Sternberg 세포가 림프절에서 증식하며, 연속적인 림프절 전이를 보이는 악성 B세포 림프종입니다. |
| ✅ 진단 기준: 림프절 생검에서 CD15+, CD30+의 Reed-Sternberg 세포를 확인하여 진단합니다. |
원인
정확한 병인은 명확하지 않지만, 여러 바이러스 및 면역학적 이상이 관련됩니다.
| 주요 원인 |
| 🔴 EBV 감염 |
| Epstein-Barr virus가 B세포에 감염되어 비정상 증식을 유도할 수 있습니다. |
| 🔴 면역억제 상태 |
| HIV 감염자 또는 장기이식 후 면역억제제 사용 환자에서 위험이 증가합니다. |
| 🔴 유전적 요인 및 환경 |
| 일란성 쌍둥이 간 동시 발생률 증가, 방사선 노출 등도 위험 인자입니다. |
임상양상
무통성 림프절 종대가 가장 흔하게 발생하며, 전신 증상(B symptoms)이 동반되면 예후가 나빠집니다.

경부 림프절이 서서히 커지며 통증이 없고, 발열·야간 발한·체중 감소가 나타날 수 있습니다.
| 증상 및 징후 |
| 🟨 무통성 림프절 종대 |
| 경부, 쇄골상, 종격동 림프절이 단단하고 고정되지 않으며 점진적으로 커집니다. |
| 🟨 발열, 야간 발한, 체중 감소 (B symptoms) |
| 전신 증상이 있는 경우 예후가 불량한 경향이 있습니다. |
| 🟨 음주 후 림프절 통증 |
| 호지킨 림프종에서 드물게 관찰되는 특징적인 증상입니다. |
| 🟨 가려움증, 피로 |
| 비특이적인 증상이지만 일부 환자에서 나타날 수 있습니다. |
진단
림프절 생검을 통해 확진하며, 영상 검사로 병기 설정을 진행합니다.
| 진단 방법 |
| 🔵 림프절 생검 |
| CD15+, CD30+의 Reed-Sternberg 세포를 확인하여 확진합니다. |
| 🔵 PET-CT |
| 병기 결정, 치료 반응 평가, 추적 관찰에 사용합니다. |
| 🔵 골수 생검 |
| 진행성 질환에서 골수 침범 여부를 평가할 때 시행합니다. |




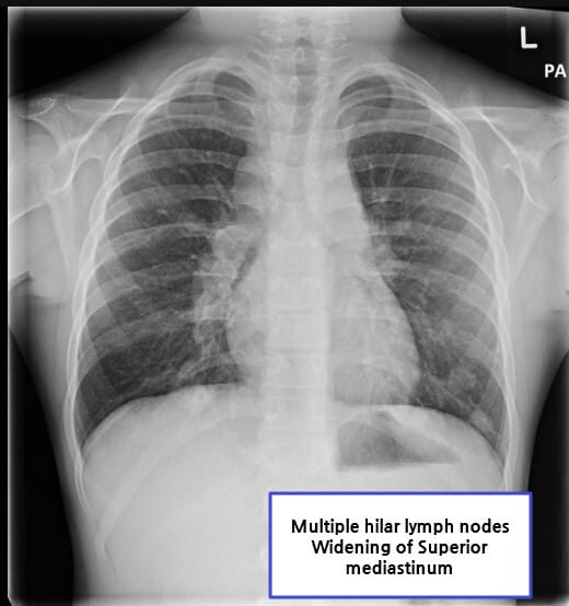
Kirby A, Hodgkin lymphoma. Case study, Radiopaedia.org (Accessed on 18 Jul 2025) https://doi.org/10.53347/rID-151561




병리소견
Reed-Sternberg 세포는 호지킨 림프종의 진단적 특징으로, 비정형 B세포 기원을 가지며 주변 염증세포와 함께 관찰됩니다.


| 병리 소견 |
| 🟥 Reed-Sternberg 세포 |
| 크고 이핵성 또는 다핵성 세포로, 거울상 핵소체(nucleoli)를 가지며 “올빼미 눈” 모양을 형성합니다. |
| 🟦 면역표현형 |
| CD15 양성, CD30 양성, CD45 음성으로 진단적 특징을 보입니다. |
Ann Arbor Staging
호지킨 림프종의 병기 설정에는 Ann Arbor staging system을 사용하며, 침범 부위와 전신 증상 유무에 따라 분류합니다.
| Ann Arbor Staging |
| 🟨 I기 |
| 하나의 림프절 영역 또는 단일 림프절 외 부위만 침범합니다. |
| 🟨 II기 |
| 횡격막 한쪽에 국한된 두 개 이상의 림프절 영역이 침범됩니다. |
| 🟨 III기 |
| 횡격막 양쪽 림프절을 침범하며 비장 침범이 동반될 수 있습니다. |
| 🟨 IV기 |
| 림프절 외 장기(간, 골수 등)에 다발성 침범이 존재합니다. |
| 🟧 A vs B |
| 발열, 야간 발한, 체중 감소 (이하 ‘B symptoms‘)가 있으면 B로 분류합니다 (예: IIB). |
치료
병기 및 위험 인자에 따라 항암화학요법 ± 방사선 치료를 시행합니다.
ABVD 항암요법이 표준 치료이며, 병기와 B Symptoms 유무에 따라 방사선 치료를 병행합니다.
항암 치료
가장 표준적인 치료입니다.
| 항암 화학요법 |
| 💊 ABVD regimen |
| Adriamycin, Bleomycin, Vinblastine, Dacarbazine의 조합으로 구성되며, 병기 I~IV에 모두 사용됩니다. |
| 💊 BEACOPP, Stanford V |
| 진행성 혹은 고위험군에서 선택적으로 사용됩니다. |
ABVD Regimen
ABVD regimen은 호지킨 림프종의 1차 표준 항암 요법으로, 서로 다른 작용 기전을 가진 네 가지 약물로 구성되어 있습니다.
| 💊 Adriamycin (Doxorubicin) |
| Topo II 억제제로 DNA 가닥 절단을 유도하고, 암세포의 증식을 억제합니다. |
| 🟧 부작용: 심장 독성, 골수억제, 탈모 |
| 💊 Bleomycin |
| 자유 라디칼 형성을 통해 DNA를 절단하며, G2기에 작용하여 세포주기를 정지시킵니다. |
| 🟧 부작용: 폐섬유화, 피부 반응, 발열 |
| 💊 Vinblastine |
| 튜블린과 결합하여 미세소관 형성을 억제하고, 세포 분열을 차단합니다. |
| 🟧 부작용: 말초 신경병증, 변비, 골수억제 |
| 💊 Dacarbazine |
| 알킬화제로 DNA에 메틸기를 첨가해 DNA 복제를 방해하며, 세포사멸을 유도합니다. |
| 🟧 부작용: 구역, 구토, 간독성, 골수억제 |
방사선 치료
조기 병기에서는 항암요법과 함께 국소 방사선 치료를 병행합니다.
| 방사선 치료 |
| 🔷 IFRT (involved field radiation therapy) |
| 침범된 림프절 국소 부위에 제한적으로 조사합니다. |
예후
다른 림프종에 비해 치료 반응이 매우 우수하며, 조기 발견 시 완치율이 높습니다.
| 예후 |
| 🟦 조기 병기 환자의 경우 완치율이 90% 이상으로 매우 높습니다. |
| 🟦 B symptoms, 3기 이상, 대량 종양 존재 시 예후가 나빠집니다. |


