
Table of Contents
게실출혈 (Diverticular bleeding)
게실출혈(Diverticular bleeding / Diverticular Hemorrhage)은 대장벽에 형성된 게실(diverticulum)의 혈관이 파열되어 발생하는 하부 위장관 출혈입니다. 대개 무통성 대량 혈변으로 나타나며, 대부분 자연 지혈되지만 일부는 재출혈이나 대량출혈로 진행할 수 있습니다.
갑작스러운 무통성 혈변이 특징이며, 대량 출혈 시 저혈량 쇼크로 진행할 수 있습니다.
| 게실출혈 (Diverticular bleeding) |
| ✅ 대장의 게실 부위 혈관이 손상되어 급성 하부 위장관 출혈이 발생합니다. |
게실 (Diverticulum)
게실 (Diverticulum)은 장관벽의 일부가 주머니처럼 바깥으로 돌출된 구조로, 대장에서 흔히 발견됩니다. 대부분 무증상이지만 염증(게실염)이나 출혈 등의 합병증이 생길 수 있습니다.







원인
대장 게실의 벽을 통과하는 직행혈관(vasa recta)이 얇아져 외부 자극에 의해 손상되면서 출혈이 발생합니다.

| 주요 원인 |
| 🔴 게실의 혈관 노출 |
| 게실벽이 얇아지면서 혈관이 점막 표면 가까이 노출되어 파열 위험이 증가합니다. |
| 🔴 대변 및 기계적 자극 |
| 굳은 대변이나 장내 압력 상승이 혈관 파열을 유발할 수 있습니다. |
| 🔴 혈관 경화 및 노화 |
| 고령에서 혈관벽이 약해져 쉽게 파열됩니다. |
| 🔴 항응고제·항혈소판제 복용 |
| 혈액 응고 기능이 저하되어 출혈 위험이 높아집니다. |
임상양상
갑작스럽고 대량의 하부 위장관 출혈이 특징입니다.
대부분의 환자가 통증 없이 선홍색 혈변을 보이며, 심한 경우 저혈압과 빈맥이 동반됩니다.
| 증상 및 징후 |
| 🟨 무통성 혈변 |
| 게실 혈관이 파열되면 복통 없이 갑자기 선홍색 혈변이 나옵니다. |
| 🟨 대량 출혈 |
| 빠른 시간 내 다량의 혈액이 배출되어 쇼크로 진행할 수 있습니다. |
| 🟨 저혈량 쇼크 |
| 출혈이 지속되면 혈압 저하, 빈맥, 창백, 의식 저하가 나타납니다. |
| 🟨 재출혈 |
| 초기 출혈이 멈춰도 수일 내 재출혈이 발생할 수 있습니다. |
진단
출혈 부위를 확인하고 원인을 규명하기 위해 내시경과 영상검사를 시행합니다.
| 진단 방법 |
| 🔵 대장내시경(Colonoscopy) |
| 출혈 부위 확인과 동시에 지혈 시술이 가능합니다. |
| 🔵 CT 혈관조영(CT angiography) |
| 활동성 출혈 위치를 신속하게 확인할 수 있어 대량출혈 환자에서 유용합니다. |
| 🔵 전통적 혈관조영술(Conventional angiography) |
| 출혈 부위 색전술로 치료를 겸할 수 있습니다. |
| 🔵 핵의학 검사(Radionuclide scan) |
| 간헐적 출혈의 위치를 확인하는 데 사용됩니다. |
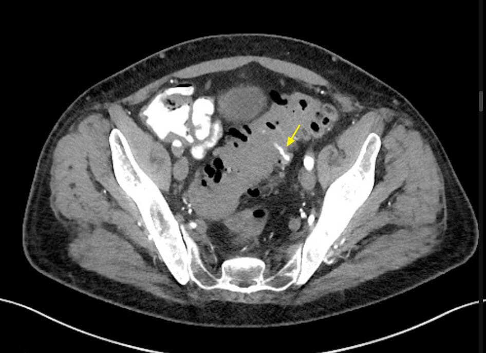
영상 소견
게실출혈은 출혈이 간헐적일 수 있어 영상에서 항상 명확히 보이지 않을 수 있습니다. 활동성 출혈 여부와 위치를 확인하기 위해 대장내시경, CT 혈관조영, 전통적 혈관조영술 등이 활용됩니다.
| 🔵 대장내시경 |
| – 게실 입구 또는 내부에서 선홍색 혈액 또는 응고혈 관찰 |
| – 비출혈성 시점에서는 혈관 노출이나 혈병만 보일 수 있음 |
| 🔵 CT 혈관조영(CT Angiography) |
| – 장관 내 조영제 누출(contrast extravasation)이 보이면 활동성 출혈 의미 |
| – 주위에 다발성 게실과 벽의 국소적인 불규칙성 확인 가능 |
| 🔵 전통적 혈관조영술(Conventional angiography) |
| – 조영제 주입 시 장관 내로 새어나오는 모습 관찰 |
| – 출혈 위치 확인과 동시에 색전술 가능 |
| 🔵 핵의학 검사(Radionuclide scan) |
| – 99mTc-labeled 적혈구를 이용해 저속·간헐적 출혈 위치 추적 |






치료
치료 목표는 출혈을 멈추고 재출혈을 방지하는 것입니다.
한국 소화기학회 지침에 따르면, 대장내시경을 통한 조기 지혈술이 1차 치료입니다.
내시경 치료
대부분의 환자에서 1차적으로 시행됩니다.
| 내시경적 지혈술 |
| 🔵 클리핑(Endoscopic clipping) |
| 출혈 부위 혈관을 금속 클립으로 직접 결찰합니다. |
| 🔵 고무밴드 결찰술(Band ligation) |
| 게실 입구를 고무밴드로 묶어 혈류를 차단합니다. |
| 🔵 열응고술(Thermal coagulation) |
| 출혈 혈관에 열을 가하여 지혈합니다. |
혈관중재 치료
내시경 지혈이 실패하거나 불가능할 경우 시행합니다.
| 혈관중재술 |
| 🔷 혈관 색전술(Transcatheter embolization) |
| 혈관조영술로 출혈 부위를 확인하고 색전물질로 혈류를 차단합니다. |
수술 치료
출혈이 조절되지 않거나 반복되는 경우 고려합니다.
| 수술적 치료 |
| 🔷 분절 절제(Segmental colectomy) |
| 출혈 부위가 국소적인 경우 해당 장 절제술을 시행합니다. |
| 🔷 전대장 절제(Total colectomy) |
| 다발성 게실 출혈이나 불확실한 출혈 부위에서 시행합니다. |
예후
대부분의 환자에서 자연 지혈되지만, 일부는 재출혈이나 심각한 합병증이 발생할 수 있습니다.
| 예후 |
| ✅ 70~80%는 자연 지혈되며 예후가 양호합니다. |
| ✅ 재출혈은 약 20~40%에서 발생하며, 조기 지혈술로 예방이 가능합니다. |
생활 관리
재출혈 예방과 장 건강 유지를 위해 생활습관 관리가 필요합니다.
| 생활 관리 수칙 |
| 🟨 고섬유소 식이 |
| 대변을 부드럽게 하여 장내 압력을 줄이고 게실 자극을 예방합니다. |
| 🟨 충분한 수분 섭취 |
| 변비 예방과 장운동 촉진을 위해 하루 1.5~2L의 수분을 섭취합니다. |
| 🟨 항응고제·항혈소판제 복용 조절 |
| 출혈 위험이 높은 경우 주치의와 약물 조정이 필요합니다. |

