
Table of Contents
COPD
✅ 만성 폐쇄성 폐질환(COPD)은 폐로의 공기 흐름이 지속적으로 제한되어 호흡 곤란을 유발하는 만성 염증성 폐질환입니다. 주로 흡연, 대기 오염, 유해 물질 노출 등이 주요 원인으로 작용하며, 시간이 지남에 따라 증상이 악화될 수 있습니다.
🚩 COPD는 전 세계적으로 주요한 사망 원인 중 하나로, 조기 발견과 관리가 중요합니다.
정의
흡연 및 유해가스로 인해 -> 기도와 폐포에 비가역적인 손상
만성 폐쇄성 폐질환 (COPD, Chronic Obstructive Pulmonary Disease)은 주로 흡연 등 유해 가스에 지속적으로 노출되어 발생하는 질환으로, 폐의 기도와 폐포에 비가역적인 변화를 일으켜 공기의 흐름이 제한됩니다.
| 만성 폐쇄성 폐질환(COPD) |
| ✅ 폐로의 공기 흐름이 지속적으로 제한되어 호흡 곤란을 유발하는 만성 염증성 폐질환 |
만성 폐쇄성 폐질환 (COPD)의 두 가지 유형
만성 기관지염(Chronic Bronchitis), 폐 기종(Emphysema)
COPD는 주로 두 가지 주요 유형, 만성 기관지염 (Chronic Bronchitis)과 폐기종 (Emphysema)으로 나누어집니다.


만성 기관지염 (Chronic Bronchitis)
가래가 너무 오래 지속

만성 기관지염은 임상적으로 진단되며, 다른 원인을 배제한 상태에서 최소 2년 연속으로 매년 최소 3개월 이상 지속되는 가래를 동반한 만성 기침으로 정의됩니다
| 만성 기관지염 특징 |
| ✅ 환자는 일반적으로 과체중이며 초기부터 고탄산혈증(hypercarbia)과 저산소혈증(hypoxia)이 나타납니다 |
| ✅ 조직학적으로 기관지 내 점액을 분비하는 샘(gland)의 비대(hypertrophy)와 증식(hyperplasia)이 관찰됩니다 |
| ✅ 주요 증상으로는 아침에 더 심한 지속적이고 가래가 있는 기침이 특징적이며, 점진적으로 운동 시 숨참(dyspnea)이 심해집니다 |
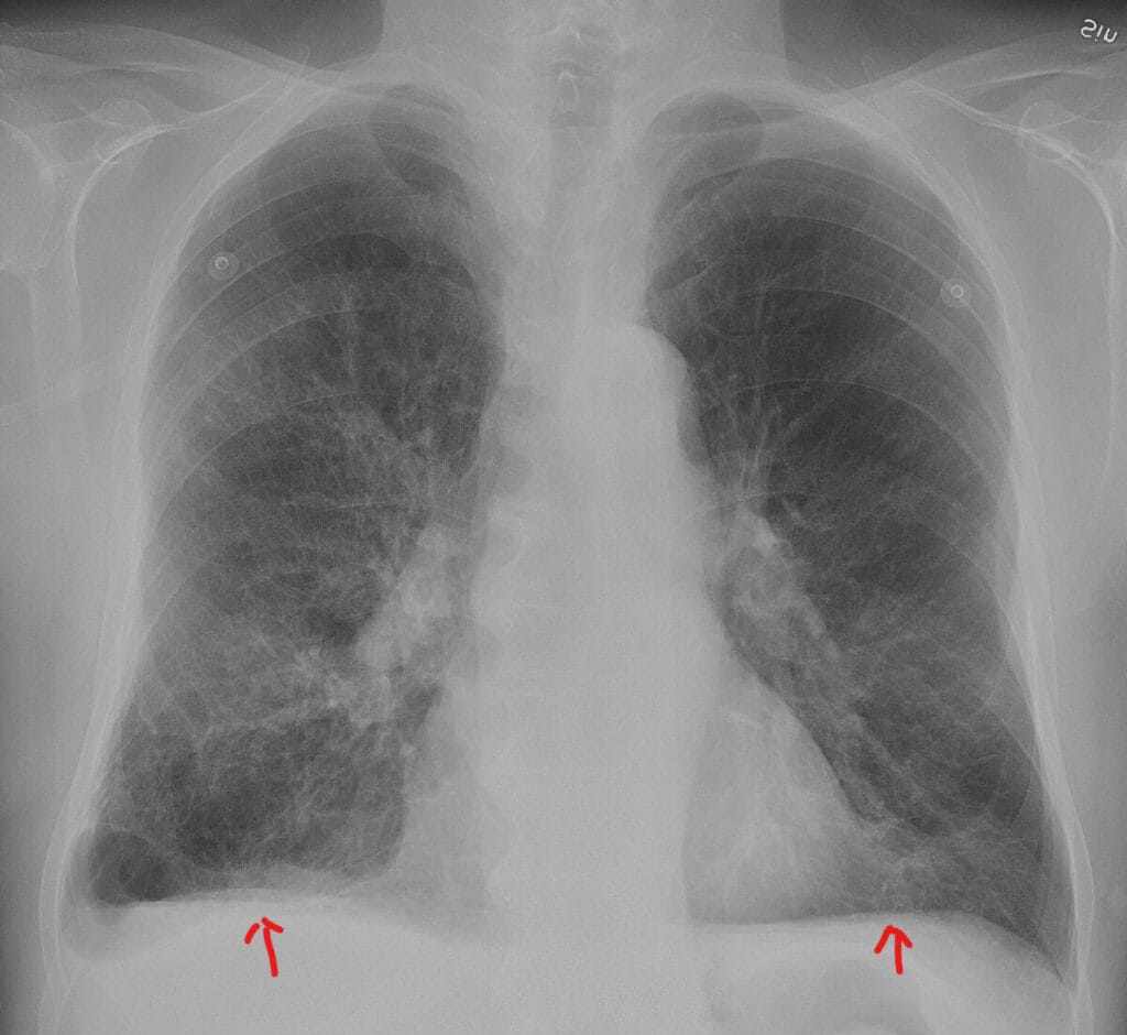
폐기종 (Emphysema)
폐포 말단 부위 파괴, 확장 , 탄력성의 손실

폐기종은 폐포 말단 부위의 파괴와 확장(destruction and dilatation of terminal airways)으로 정의되며, 폐포의 탄력성 손실로 인해 숨을 내쉬는 과정에서 공기가 폐에 갇히게 됩니다
| 폐기종 특징 |
| ✅ 폐기종 환자는 일반적으로 마르고(cachectic), 입술을 오므리는(pursed lips) 특징적인 호흡법으로 숨을 쉬며, 질병 후기에 고탄산혈증(hypercarbia) 및 저산소혈증(hypoxia)이 나타납니다. |
| ✅ 주로 흡연으로 인해 세엽 중심성(centrilobular) 폐포 파괴가 발생하며, 알파-1 안티트립신 결핍(alpha-1 antitrypsin deficiency)이 있을 경우 범세엽성(panacinar) 폐포 파괴가 발생할 수 있습니다. |
| ✅ 영상 검사(X-ray)에서는 – 폐의 과팽창(hyperinflation) – 전후직경 증가(AP diameter 증가) – 횡격막의 평탄화(flattened diaphragm)가 관찰됩니다 |

원인
🚩 COPD의 주요 원인은 다음과 같습니다.
| 흡연 |
| ✅ 담배 연기에 포함된 독성 물질이 폐 조직을 손상시켜 염증을 유발하며, 이는 기도를 좁아지게 만듭니다. 대부분의 COPD 환자는 장기간의 흡연 이력이 있습니다. |
| 공기 오염 및 유해 물질 노출 |
| ✅ 대기 오염, 화학물질, 먼지 등에 장기간 노출되는 것도 COPD의 위험 요소입니다. 특히 산업현장이나 농업에서 유해 물질에 지속적으로 노출되는 경우 위험이 높아집니다. |
| 유전적 요인 |
| ✅ 일부 환자들은 알파-1 항트립신 결핍과 같은 유전적 요인으로 인해 COPD에 걸릴 위험이 높습니다. 이 유전자는 폐 조직을 보호하는 단백질을 만드는데, 부족할 경우 폐가 손상되기 쉽습니다. |
Alpha-1 antitrypsin deficiency과의 연관성
🚩 알파-1 안티트립신 결핍(alpha-1 antitrypsin deficiency)은 COPD의 중요한 유전적 위험 인자로, 특히 젊은 나이에 발병하거나, 폐의 아래쪽 부위가 더 심하게 손상되거나, 간질환이 동반될 때 의심하여 검사합니다
증상
🚩 COPD의 주요 증상은 다음과 같습니다.
| 호흡곤란 |
| ✅ 초기에는 운동 시 호흡이 어려워지지만, 질환이 진행됨에 따라 휴식 시에도 호흡이 힘들어질 수 있습니다. |
| 만성 기침과 가래 |
| ✅ 기침은 주로 아침에 심해지며, 가래가 흰색, 노란색, 또는 녹색으로 나타날 수 있습니다. |
| 쌕쌕거림 |
| ✅ 호흡할 때 쌕쌕거리는 소리가 날 수 있습니다. 이는 기도가 좁아져 공기가 통과할 때 발생하는 소리입니다. |
| 피로 |
| ✅ 폐 기능 저하로 인해 산소 공급이 부족하게 되면, 체내 산소 부족으로 피로와 무기력감을 느낄 수 있습니다. |
COPD의 진단 기준
진단은 임상 증상 + 폐기능 검사(Spirometry) 결과를 기반으로 합니다.
| 진단 기준 |
| ✅ FEV1/FVC < 0.70 (기관지 확장제 사용 후 검사) |
| ✅ 지속적인 호흡곤란, 만성 기침, 가래 |
| ✅ 흡연 또는 직업적 유해물질 노출 병력 |
COPD의 폐기능검사 소견
폐쇄성 폐질환이면서 기관지 확장제로 검사를 해서 천식이 아님을 보여야 합니다. (즉, 천식과 달리 기관지 확장제에 따른 가역성이 없음을 보여야 함)
▶ 기관지확장제 투여 후(Post-Bronchodilator) FEV₁/FVC < 0.70 (70%)
- FEV₁ (1초간 노력성 호기량, Forced Expiratory Volume in 1 second)
- FVC (노력성 폐활량, Forced Vital Capacity)
💡 FEV₁/FVC < 70%이면 폐쇄성 폐질환(obstructive lung disease)으로 진단됩니다.
💡 폐쇄성 패턴이 나타나면 가역성 검사(Bronchodilator Test) 시행하여 천식(Asthma)과 감별해야 합니다.
- 천식(Asthma): 기관지확장제 투여 후 FEV₁ ≥ 12% & 200mL 이상 증가
- COPD: 기관지확장제 투여 후에도 가역성 반응 없음
COPD의 단계
1. mMRC 호흡곤란 척도
호흡곤란의 정도를 파악
✅ mMRC(modified Medical Research Council) 호흡곤란 척도는 COPD 환자의 호흡곤란 정도를 평가하는 기준으로 사용됩니다.
| mMRC 등급 | 호흡곤란 증상 |
| 0단계 | 격렬한 운동 시에만 호흡곤란 발생 |
| 1단계 | 평지를 빠르게 걷거나 가파른 언덕을 오를 때 숨이 참 |
| 2단계 | 평지를 걷다가 또래보다 천천히 걷거나, 멈춰서 쉬어야 함 |
| 3단계 | 100m 이하 거리에서도 멈춰서 쉬어야 함 |
| 4단계 | 가벼운 활동(옷 갈아입기 등)도 힘들고 집에서만 생활 가능 |
2. GOLD 분류 기준
증상과 폐기능검사 수치에 따라 분류
✅ COPD는 폐기능 검사(FEV1/FVC 비율)와 증상 정도를 기준으로 GOLD(세계폐쇄성폐질환 이니셔티브) 가이드라인에 따라 4단계로 분류됩니다.
| GOLD 1 (경증) |
| FEV1 ≥ 80% (정상 예측치 대비) |
| GOLD 2 (중등도) |
| 50% ≤ FEV1 < 80% |
| GOLD 3 (중증) |
| 30% ≤ FEV1 < 50% |
| GOLD 4 (최중증) |
| FEV1 < 30% |
COPD 치료
COPD 치료 방법
✅ COPD 치료는 증상 조절, 급성 악화 예방, 질병 진행 속도 조절을 목표로 합니다.
| 금연 |
| ✅ 흡연은 COPD의 주요 원인이므로, 금연을 해야 질병의 진행을 늦추고 증상을 완화할 수 있습니다. |
| 약물 치료 |
| ✅ 기관지 확장제: 기도 주변 근육을 이완시켜 숨쉬기를 더 쉽게 만듭니다. ✅ 흡입 코르티코스테로이드: 기도 염증을 줄이고 악화를 예방하는 데 도움이 됩니다. |
| 폐 재활 |
| ✅ 운동, 영양 상담, 질병 교육 등을 포함한 프로그램으로 환자의 삶의 질 향상에 도움을 줍니다. |
| 산소 요법 |
| ✅ 혈액 내 산소 수치가 낮은 환자에게 산소를 공급하여 증상을 완화하고 생존율을 높입니다. |
| 수술 |
| ✅ 심한 경우 폐 용적 축소 수술이나 폐 이식 등을 고려할 수 있습니다. |
| COPD 치료 전략 |
| ✅ 금연은 일단 꼭 해야 합니다. |
| ✅ 안정적인 COPD 환자에서는 단기 및 장기 작용 기관지확장제(Beta-agonists, Muscarinic antagonists)를 사용합니다 |
| ✅ 급성 악화 시에는 단기작용 기관지확장제(SABA), 전신적 스테로이드(systemic steroids), (+) 때로는 항생제(macrolides 등)를 투여합니다. * 세균 감염이 의심될 때! |
| ✅ 중증 COPD의 경우 삼중 흡입 요법(Triple therapy: LABA + LAMA + ICS)이 권장되며, 산소 포화도를 89% 이상 유지하기 위해 산소 치료를 병행합니다: |
COPD의 단계별 치료
기관지 확장제 중심의 단계적 치료가 이루어지며, 필요 시 염증 조절 약물을 추가해 처방합니다.
초기(경증) COPD (GOLD 1, mMRC 0-1)
| ✅ 필요할 때만 단기 작용 기관지 확장제(SABA 또는 SAMA) 사용 |
| ✅ SABA(알부테롤, 살부타몰) 또는 SAMA(이프라트로피움) 사용 → 필요 시 기관지 확장 |
| ✅ 금연 및 독감, 폐렴 예방접종 필수 |
중등도 COPD (GOLD 2, mMRC 2 이상)
| ✅ 장기 작용 기관지 확장제(LABA 또는 LAMA) 추가 |
| ✅ LABA(살메테롤, 포르모테롤) 또는 LAMA(티오트로피움) 사용 → 장기적인 기도 확장 |
| ✅ 필요할 때 단기 작용 기관지 확장제(SABA) 추가 가능 |
중증 COPD (GOLD 3, FEV1 < 50%)
| ✅ LABA + LAMA 병용 치료 |
| ✅ ICS(흡입 스테로이드, 플루티카손) 추가 고려 |
| ✅ 폐 재활 치료 병행 |
최고 중증 COPD (GOLD 4, FEV1 < 30%)
| ✅ LABA + LAMA + ICS 삼중 요법 |
| ✅ 산소 치료(Oxygen therapy) 필요 |
| ✅ 중증 환자는 폐 이식 또는 폐 용적 축소 수술 고려 |
급성 악화 시 치료
(Acute Exacerbation of COPD, AECOPD)
COPD 급성악화(AECOPD)는 기존 COPD 증상이 급격히 악화되는 임상 상태로, 즉각적인 치료가 필요합니다. 원인은 감염(세균, 바이러스), 대기오염, 치료 순응도 저하, 폐색전증 등이 있으며, 급성 악화 시 호흡부전으로 진행할 위험이 있기 때문에 빠른 치료가 필요합니다.
치료 방향은 간략히 산소 공급, 기관지확장제, 스테로이드, 항생제(필요 시), 환기 보조로 나눌 수 있습니다. 별개의 포스트로 따로 더 정리하겠습니다.
| ✅ 단기 작용 기관지 확장제(SABA, SAMA) 빈도 증가시킴 |
| ✅ 전신 스테로이드(Prednisone 40mg/day, 5~7일) |
| ✅ 감염 의심 시 항생제(아지스로마이신, 독시사이클린) 사용 |
| ✅ 저산소증 시 산소 치료 (목표 SaO2 88~92%) |
추가 치료 및 예방
🚩 COPD는 조기에 발견하고 적극적으로 관리하면 삶의 질을 개선하고 질병 진행을 늦출 수 있습니다.
| ✅ 독감 및 폐렴 예방 접종 권장 (호흡기 감염시 악화되므로) |
| ✅ 정기적인 폐기능 검사 시행 |
| ✅ 적절한 운동 및 폐 재활 프로그램 참여 |

