고유결합조직(Connective Tissue Proper)

Image By OpenStax, Anatomy and Physiology. Licensed under CC BY 4.0. Access for free at https://openstax.org/books/anatomy-and-physiology/pages/1-introduction.

고유결합조직(Connective Tissue Proper)은 결합조직의 한 유형으로, 전신에 널리 분포하며 조직 간 구조적 지지, 영양분 확산, 면역 방어 등을 수행합니다. 다양한 종류의 세포와 세포외기질(Extracellular matrix)로 구성되며, 기능과 구조에 따라 성긴결합조직 (Loose connective tissue)과 치밀결합조직(Dense connective tissue)으로 분류됩니다.

고유결합조직은 신체의 기본적인 구조적 틀을 형성하며, 항상성과 방어 기능을 동시에 수행하는 조직입니다.

정의
🟧 고유결합조직은 다양한 섬유(콜라겐, 탄성, 망상)와 세포로 구성되어 있으며, 조직 사이를 채우고 연결하는 역할을 합니다.
조직학적 구성
🟧 세포외기질과 섬유가 풍부하며, 세포로는 섬유아세포, 대식세포, 비만세포 등이 포함됩니다.

결합조직의 종류

By OpenStax, Anatomy and Physiology. Licensed under CC BY 4.0. Access for free at https://openstax.org/books/anatomy-and-physiology/pages/1-introduction.

  • 성긴결합조직 (Loose connective tissue)과 치밀결합조직(Dense connective tissue)
Image by Digital Histology.Virginia Commonwealth University. Licensed under CC BY-NC-SA 4.0.

기능

고유결합조직은 단순한 구조적 지지 외에도 항상성 유지, 염증 반응, 조직 복구 등 다양한 생리적 기능을 수행합니다.

🟨구조적 지지
기관과 조직을 지지하고, 세포들이 기능할 수 있는 물리적 환경을 제공합니다.
🟨 물질 교환 경로
혈관과 림프관을 통해 산소, 영양분, 노폐물 등의 이동 경로를 제공합니다.
🟨면역 및 염증 반응
다양한 면역세포들이 존재하며, 병원체 침입 시 빠르게 반응을 시작합니다.

성긴결합조직 (Loose Connective Tissue)

Image by Digital Histology.Virginia Commonwealth University. Licensed under CC BY-NC-SA 4.0.

섬유가 드물고 세포외기질이 풍부하여 유연성과 확산성이 높은 조직입니다.

성긴결합조직 (Loose Connective Tissue)
✅ 세포와 섬유, 기질이 느슨하게 배열된 결합조직으로, 주로 혈관, 신경, 상피 아래층 등 신체 여러 부위에 분포합니다.
🔴 조직 사이 공간을 채워주며, 물질 교환, 염증 반응, 면역 방어에 중요한 역할을 합니다. 감염, 부종, 상처 반응 시 가장 먼저 반응하는 조직입니다.

버팀결합조직 (Areolar Tissue)

By RWhitwam – Own work, CC BY-SA 4.0, https://commons.wikimedia.org/w/index.php?curid=158278363
By Berkshire Community College Bioscience Image Library – Connective Tissue: Loose Aerolar, CC0, https://commons.wikimedia.org/w/index.php?curid=70159579
버팀결합조직 (Areolar Tissue)
✅ 콜라겐섬유, 탄성섬유, 망상섬유가 혼합된 구조로, 가장 일반적인 성긴결합조직입니다.
🔴 혈관과 신경을 지지하며, 조직 사이를 채우고 염증세포가 이동할 수 있는 공간을 제공합니다. 주사 후 염증이나 부종이 생기는 공간이 바로 여기

지방조직 (Adipose Tissue)

Image By OpenStax, Anatomy and Physiology. Licensed under CC BY 4.0. Access for free at https://openstax.org/books/anatomy-and-physiology/pages/1-introduction.
지방조직 (Adipose Tissue)
✅ 지방세포(adipocyte)로 구성되며, 에너지 저장과 열 절연 기능을 합니다.
🔴 에너지 저장 외에도 호르몬(예: 렙틴) 분비, 체온 조절, 장기 보호에 관여합니다.
과도한 축적은 비만, 인슐린 저항성과 연관되어 대사질환의 원인이 됩니다.

망상결합조직 (Reticular Tissue)


Image By OpenStax, Anatomy and Physiology. Licensed under CC BY 4.0. Access for free at https://openstax.org/books/anatomy-and-physiology/pages/1-introduction.
망상결합조직 (Reticular Tissue)
✅ 가는 망상섬유(reticular fiber)로 구성되어 있으며, 림프절, 비장, 골수 등 면역기관에서 세포들을 지지하는 그물망 구조를 형성합니다.
🔴 면역세포들이 효과적으로 작용하도록 지지 구조를 제공합니다. 무너지면 림프구 형성이나 면역 반응에 장애가 생길 수 있습니다.

치밀결합조직 (Dense Connective Tissue)

Image by Digital Histology.Virginia Commonwealth University. Licensed under CC BY-NC-SA 4.0.
Image by Digital Histology.Virginia Commonwealth University. Licensed under CC BY-NC-SA 4.0.
치밀결합조직 (Dense Connective Tissue)
✅ 콜라겐 섬유가 성긴결합조직보다 훨씬 밀집되어 있는 조직으로, 기계적 장력에 잘 견딜 수 있게 설계되어 있습니다.
🔴 힘줄, 인대, 근막 등에 주로 존재합니다. 손상 시 조직 회복이 느리고 유착이나 만성 통증을 유발할 수 있습니다.

치밀규칙결합조직 (Dense Regular Connective Tissue)


Image By OpenStax, Anatomy and Physiology. Licensed under CC BY 4.0. Access for free at https://openstax.org/books/anatomy-and-physiology/pages/1-introduction.
치밀규칙결합조직 (Dense Regular Connective Tissue)
✅ 콜라겐 섬유가 한 방향으로 정렬된 조직으로, 힘줄(tendon)과 인대(ligament)에서 주로 발견됩니다.
🔴 일방향의 장력에 매우 강하지만, 다른 방향의 힘에는 약합니다. 운동 중 과도한 신장으로 손상되기 쉬우며, 재생이 느립니다.

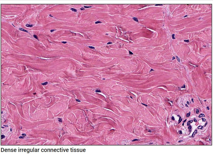
치밀불규칙결합조직 (Dense Irregular Connective Tissue)


Image By OpenStax, Anatomy and Physiology. Licensed under CC BY 4.0. Access for free at https://openstax.org/books/anatomy-and-physiology/pages/1-introduction.
치밀불규칙결합조직 (Dense Irregular Connective Tissue)
✅ 콜라겐 섬유가 여러 방향으로 무질서하게 배열되어 피부 진피층, 장기의 피막 등에 존재합니다.
🔴 다양한 방향에서 가해지는 장력을 견딜 수 있어 장기 보호에 유리하며, 피부 손상 시 재생과 섬유화 과정에 깊이 관여합니다.

탄성결합조직 (Elastic Connective Tissue)

By Berkshire Community College Bioscience Image Library – Connective Tissue: Human Elastic Tissue, CC0, https://commons.wikimedia.org/w/index.php?curid=70159671
탄성결합조직 (Elastic Connective Tissue)
✅ 탄성섬유(elastic fiber)가 풍부하게 존재하는 결합조직으로, 동맥벽, 기관지, 인대 중 일부(예: 황색인대)에 존재합니다.
🔴 조직의 신장과 수축을 반복할 수 있게 해주며, 동맥에서 혈압의 완충 역할을 담당합니다. 탄성 손실은 고혈압, 기관 협착 등과 관련됩니다.

고유결합조직의 세포 구성

고유결합조직의 세포는 고정세포와 유주세포로 나뉘며 각각 구조 유지 및 면역 방어에 관여합니다.

섬유아세포 (Fibroblast)

섬유아세포 (Fibroblast)
✅ 고유결합조직에서 가장 흔한 세포로, 콜라겐, 탄성섬유, 기질 단백질 등 세포외기질(ECM)을 합성하고 유지하는 역할을 합니다.

Image by Digital Histology.Virginia Commonwealth University. Licensed under CC BY-NC-SA 4.0.
Image by Digital Histology.Virginia Commonwealth University. Licensed under CC BY-NC-SA 4.0.

지방세포 (Adipocyte)

지방세포 (Adipocyte)
✅ 지방을 저장하는 세포로, 백색지방조직(white adipose tissue)과 갈색지방조직(brown adipose tissue)으로 나뉘며 에너지 저장과 대사 조절에 관여합니다.

Image by Digital Histology.Virginia Commonwealth University. Licensed under CC BY-NC-SA 4.0.
Image by Digital Histology.Virginia Commonwealth University. Licensed under CC BY-NC-SA 4.0.

대식세포 (Macrophage)

대식세포 (Macrophage)
✅ 단핵구(monocyte)에서 유래된 면역세포로, 이물질이나 죽은 세포를 포식하며 항원 제시 기능도 수행합니다.

Image by Digital Histology.Virginia Commonwealth University. Licensed under CC BY-NC-SA 4.0.

비만세포 (Mast Cell)

비만세포 (Mast Cell)
✅ 히스타민, 헤파린 등 다양한 화학물질을 포함한 과립을 가진 세포로, 주로 혈관 주위에 분포하여 즉각적인 알레르기 반응에 관여합니다.

Image by Digital Histology.Virginia Commonwealth University. Licensed under CC BY-NC-SA 4.0.

형질세포 (Plasma Cell)

형질세포 (Plasma Cell)
✅ B세포에서 분화된 세포로, 항체를 생성하여 체액성 면역에 기여합니다.

By Nephron – Own work, CC BY-SA 3.0, https://commons.wikimedia.org/w/index.php?curid=29748825