
Chest X-ray
흉부 X-ray(Chest X-ray, CXR)는 폐와 심장, 그리고 흉곽 내 구조물을 평가하는 중요한 영상 검사입니다. 정상적인 해부학적 구조물을 설명해보겠습니다.
Chest PA view
PA (Posterior-anterior) – 방사선 (X선) 이 후방에서 전방으로 이동

Bones (PA view)
흉부 X-ray에서는 쇄골(clavicle), 흉골(sternum), 견갑골(scapula), 척추(vertebral bodies) 등의 뼈 구조가 보이며, 정상적인 정렬을 확인하는 것이 중요합니다.
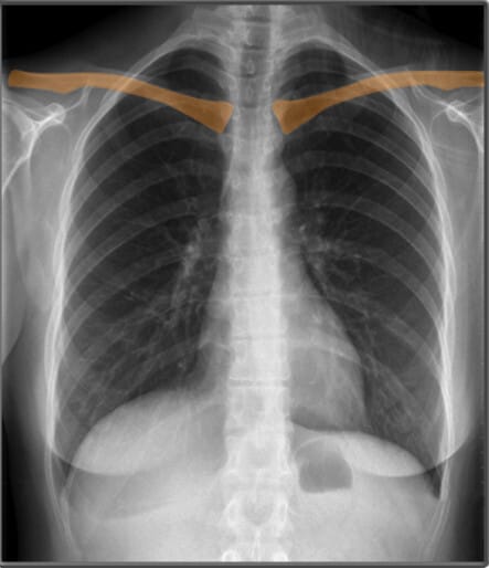
| 쇄골 (Clavicle) |
| ✅ 쇄골은 양측 상부에서 가로로 위치하며, 정상적으로 대칭적으로 보여야 합니다. 쇄골의 불균형은 환자의 자세 또는 외상으로 인한 손상을 의미할 수 있습니다. |

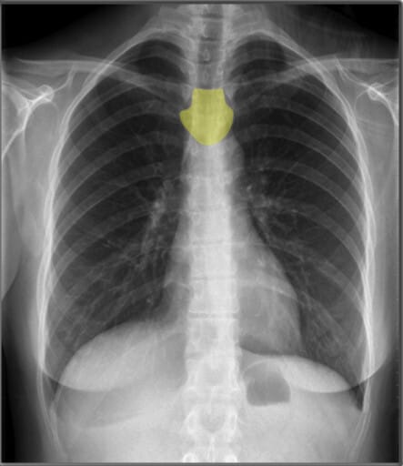
| 흉골 (Sternum) |
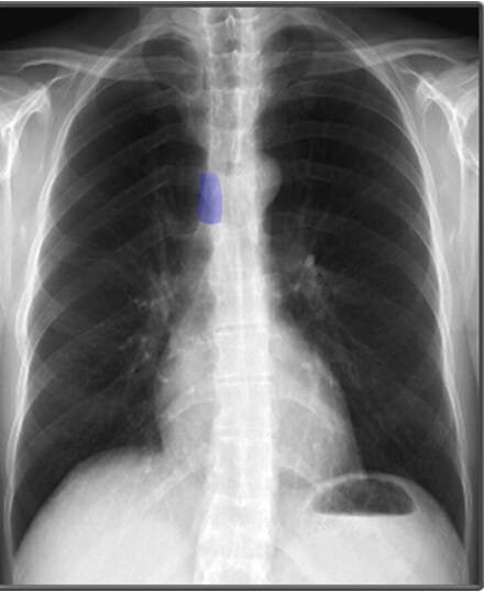
| ✅ 흉골은 X-ray의 PA(view)에서는 직접 보이지 않고 측면 영상(lateral view)에서 확인할 수 있습니다. 갈비뼈와 연결되어 가슴을 보호하는 역할을 합니다. |
표시한 부분은 복장뼈의 가장 윗부분 두꺼운 뼈인 복장뼈자루 (Manubrium of Sternum)이라고 합니다.| 견갑골 (Scapula) |
| ✅ 어깨뼈라고도 불리며, 흉부 후방에서 삼각형 모양으로 나타납니다. 잘못된 촬영 자세에서는 폐야(lung field)를 가릴 수 있으므로 주의해야 합니다. |

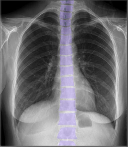
| 척추체 (Vertebral Bodies) |
| ✅ 흉추(Thoracic vertebrae)의 척추체는 X-ray에서 선명하게 보여야 하며, 정상적으로 정렬되어 있어야 합니다. 압박 골절이나 변형이 있는지 평가하는 것이 중요합니다. |

위 사진에서 남색으로 표시된 부분은 Spinous Process 입니다.
Landmarks in Chest X-ray (PA view)
폐와 심장 및 흉곽 구조물을 분석할 때 유용한 해부학적 지표로는 유방 음영(breast shadows), 심장 크기(cardio-thoracic ratio), 늑골횡격막각(costophrenic angles), 위 기포(gastric bubble) 등이 있습니다.
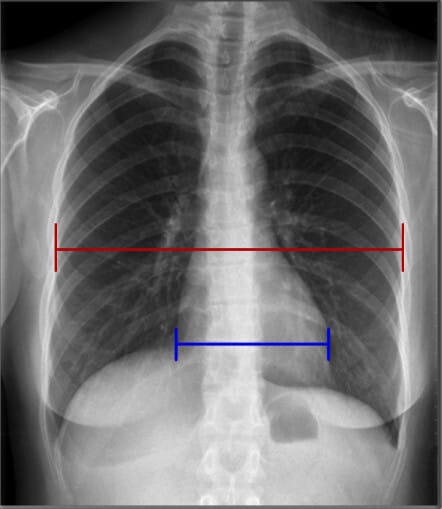
| 심장 크기 (Cardiac Width) |
| ✅ 정상적인 심장 크기는 흉곽 폭의 50% 이내여야 하며, 이를 심흉비(cardiothoracic ratio, CTR)라고 합니다. 비정상적으로 증가하면 심부전 또는 심장 비대의 가능성을 고려해야 합니다. |

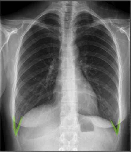
| 늑골횡격막각 (Costophrenic Angles) |
✅ 폐 하부와 횡격막이 만나는 부분으로, 정상적으로 뚜렷하고 날카로워야 합니다. ✅ 둔해지거나 소실되면 흉수(pleural effusion) 가능성을 시사합니다. |

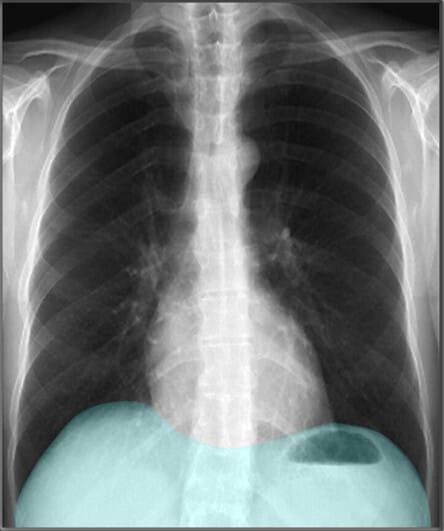
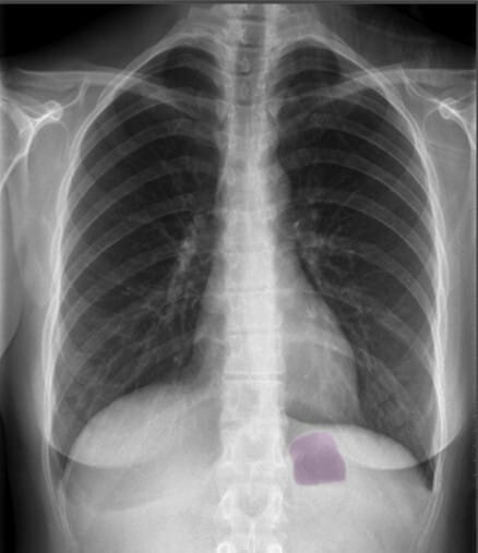
| 위 기포 (Gastric Bubble) |
| ✅ 좌측 횡격막 아래에서 나타나는 공기음영으로, 정상적인 해부학적 지표 중 하나입니다. 위치가 변하면 장폐색 등 복부 문제를 의심할 수 있습니다. |

종격동(mediastinum)은 심장과 주요 혈관, 기관(trachea) 등이 위치하는 공간으로, 이들의 크기와 모양을 분석하는 것이 중요합니다.
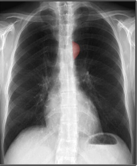
| 대동맥궁 (Aortic Arch) |
| ✅ 좌측 폐문(hilus) 위에서 둥글게 보이며, 확장되거나 비대해지면 대동맥류 또는 고혈압성 변화 가능성을 고려해야 합니다. |

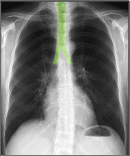
| 기관 (Trachea) |
| ✅ 정중앙에 위치해야 하며, 편위되어 있다면 종격동 이동(예: 무기폐, 기흉)을 의심해야 합니다. |

| 우심방 (Right Atrium) |
| ✅ 우측 심장 가장자리로 보이며, 비대해지면 삼첨판 역류 또는 폐성 심장 가능성이 있습니다. |

| 좌심이개 (Left Atrial Appendage) |
| ✅ 좌심방의 일부로, 정상적으로는 뚜렷하게 관찰되지 않습니다. 비대해지면 승모판 협착이나 좌심방 확장을 의심할 수 있습니다. |

| 좌심실 (Left Ventricle) |
| ✅ 좌측 심장 하부의 외곽을 형성하며, 비대해지면 고혈압성 심장병 또는 심부전을 고려해야 합니다. |

| 횡격막 (Diaphragm) |
| ✅ 흉강과 복강을 구분하는 근육 구조로, X-ray에서 우측이 좌측보다 약간 높게 나타납니다. 횡격막이 평평해지거나 비정상적으로 상승하면 폐기종(COPD), 횡격막 신경 마비 등을 의심할 수 있습니다. |

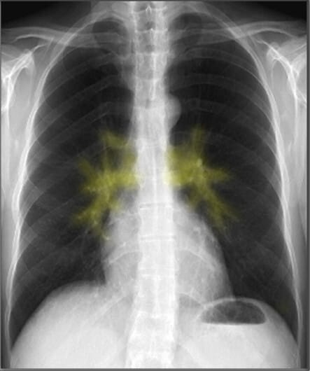
| 폐문 (Hila) |
| ✅ 폐동맥, 기관지, 림프절 등이 위치하는 부위로, 좌측이 우측보다 약간 높게 보이는 것이 정상입니다. 폐문이 커지거나 밀려 있다면 종양, 폐부종, 림프절 비대를 고려해야 합니다. |

| SVC-Azygos 합류부 (SVC-Azygos Confluence) |
| ✅ 상대정맥(SVC)과 기정맥(Azygos vein)이 합류하는 부위로, 우측 폐문 근처에서 관찰됩니다. 확장되면 혈류 정체나 종격동 병변을 고려해야 합니다. |

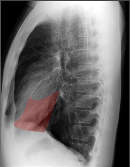
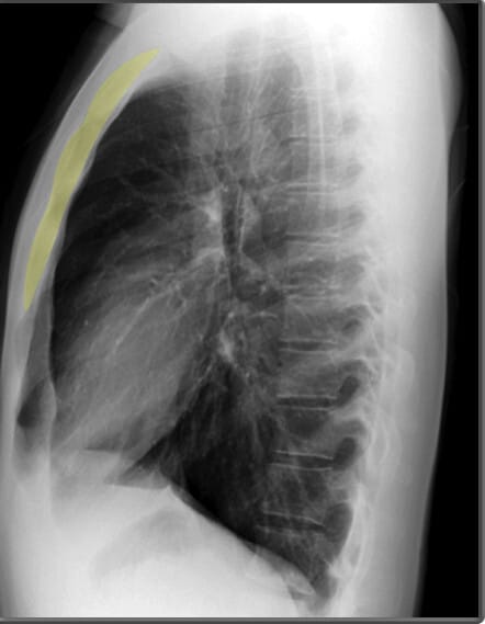
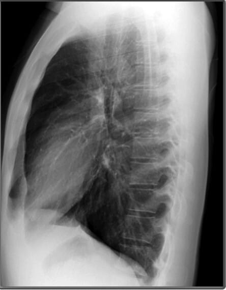
Lateral View of Chest X-ray
측면 영상은 폐, 심장 및 척추의 깊이를 평가하는 데 유용합니다.

| 흉골 (Sternum) |
| ✅ 측면 영상에서 길게 보이며, 정상적으로는 매끄럽고 연속적인 윤곽을 보여야 합니다. 골절이 있는 경우 불연속적인 선이 관찰될 수 있습니다. |

| 우심실 (Right Ventricle) |
| ✅ 심장의 전방 부분을 차지하며, 비대해지면 폐고혈압을 고려할 수 있습니다. |

| 좌심방 (Left Atrium) |
| ✅ 좌심방은 측면 영상에서 심장 후방에 위치하며, 기관(trachea) 바로 앞쪽에 위치합니다. 좌심방이 확장되면 기관이 뒤로 밀리는 소견이 나타날 수 있습니다. |

| 좌심실 (Left Ventricle) |
| ✅ 좌심실은 심장의 가장 하부와 후방을 차지하며, 비대해지면 좌측 횡격막과의 경계가 불명확해질 수 있습니다. |

| 척추체 (Vertebral Bodies) |
| ✅ 척추체는 정상적으로 크기와 모양이 균일해야 하며, 압박 골절이나 골 용해 소견이 있으면 병적 상태를 고려해야 합니다. |
| 추궁근 (Pedicles) |
| ✅ 추궁근은 척추의 일부로, 좌우 대칭적으로 나타나야 합니다. 종양이나 감염으로 인해 변형되거나 소실될 경우 병리적 상태를 의심할 수 있습니다. |
하늘색이 Vertebral bodies, 파란색 (코발트 블루)가 Pedicles| 기관 (Trachea) |
| ✅ 흉부 중앙에서 공기가 가득 찬 검은 색의 관 형태로 보이며, 정상적으로는 앞쪽으로 약간 기울어져 있습니다. 협착되거나 편위된 경우 기도 병변을 의심할 수 있습니다. |

| 늑골횡격막각 (Costophrenic Angle) |
| ✅ 늑골과 횡격막이 만나는 각도로, 정상적으로 뚜렷하고 예리하게 보여야 합니다. 둔해지거나 소실되면 흉수(pleural effusion) 가능성을 시사합니다. |
