세포 사멸(Cell Death) – 세포는 어떻게 죽나요?
세포 사멸(Cell Death)은 우리 몸에서 불필요하거나 손상된 세포를 제거하는 중요한 과정입니다. 세포 사멸은 크게 세포 자멸사(Apoptosis)와 괴사(Necrosis)라는 두 가지 방식으로 나뉩니다. 이 두 과정은 각각 다른 원인과 결과를 지니며, 신체의 건강 유지와 다양한 질병 예방에 중요한 역할을 합니다. 이번 글에서는 세포 사멸의 두 가지 주요 유형에 대해 간단히 소개하고 비교해도록 하겠습니다.
Table of Contents
핵이 소실되어야 세포가 사멸된 것!
세포가 사멸했을 때 뭘 보고 판단할까요? 바로 핵의 소실입니다.세포의 핵은 유전 정보를 담고 있으며, 세포의 활동을 조절하는 중추적인 역할을 합니다. 그러다 보니 세포가 사멸했다 아니다는 ‘핵이 소실되었는가‘를 보고 확인합니다. 핵 소실 과정은 3개의 단계로 설명하는데 각각 간략히 정리해보겠습니다.
핵 소실 과정

- 핵농축(Pyknosis):
- 세포 사멸의 초기 단계에서는 핵이 수축하여 작고 밀도가 높은 형태로 변합니다. 이 단계에서 세포는 더 이상 정상적인 기능을 수행하지 못하며, 곧 분해될 준비를 합니다.
- 핵붕괴(Karyorrhexis):
- 핵이 수축한 후, 큰 조각들로 분해됩니다. 이 과정을 통해 세포는 유전 정보를 더 이상 유지하지 않게 되며, 죽음의 최종 단계를 향해 나아갑니다.
- 핵용해(Karyolysis):
- 마지막 단계에서는 핵이 완전히 분해되어 사라집니다. 이제 세포는 더 이상 생존할 수 없는 상태에 이르며, 남은 세포 잔해는 주변 대식세포에 의해 제거됩니다.
2가지 종류 : 자멸사 (Apoptosis)와 괴사 (Necrosis)
세포 사멸은 크게 세포 자멸사(Apoptosis)와 괴사(Necrosis)라는 두 가지 방식으로 나뉘는데요, 각각을 알아보도록 하겠습니다.
미리 한줄로 정리하면
세포 자멸사 (Apoptosis)는 주로 정상적인 과정에 의해 발생하며 염증을 일으키지 않고
괴사(Necrosis)는 주로 병리적 손상에 의해 발생하며 염증으로 주변 조직도 손상시킵니다.
세포 자멸사(Apoptosis) – 계획된 세포의 죽음

세포 자멸사(Apoptosis)는 세포가 계획적으로 사멸하는 과정으로 일종의 ‘프로그래밍된 죽음;입니다.입니다. 이는 세포가 더 이상 필요하지 않거나, 손상되었을 때 세포 스스로 죽음을 선택하여 효율적으로 제거됩니다. 세포 자멸사는 주로 생리적인 과정에서 발생하며, 주변 조직에 손상을 주지 않고 세포가 깔끔하게 제거됩니다.
세포 자멸사의 예시
- 태아 발달과정에서 세포 제거: 배아가 성장하면서 불필요한 조직과 세포가 자멸사로 제거되어, 정상적인 기관과 구조가 형성됩니다.
- 손상된 세포 제거: DNA가 손상되었거나 비정상적인 세포가 자멸사를 통해 제거되지 않으면, 암으로 발전할 수 있습니다.
- 면역 반응 조절: 바이러스에 감염된 세포나 비정상적인 면역 세포도 자멸사를 통해 제거됩니다.
세포 자멸사의 과정과 특징
- 세포 수축 및 핵의 변화: 자멸사가 시작되면, 세포는 크기가 줄어들고, 핵은 농축되며 세포 내부 구조가 분해됩니다. 이 과정에서 세포는 자연스럽게 작아지며, 주변에 염증 반응을 일으키지 않습니다.
- 아폽토시스 소체(Apoptosome) 형성: 세포는 여러 작은 소체들로 나뉘어 파편화되며, 각각의 소체는 세포막으로 둘러싸여 있습니다. 이 소체들은 대식세포에 의해 빠르게 처리되어, 주변 조직에 영향을 주지 않고 안전하게 제거됩니다.
- 염증 반응 없이 처리돰: 자멸사는 염증을 일으키지 않는 것이 특징입니다. 이는 세포가 질서정연하게 분해되고, 세포 잔해가 적절히 처리되기 때문입니다. 반면, 다른 세포 죽음 방식인 괴사(Necrosis)에서는 세포막이 붕괴되고 염증 반응이 발생합니다.
세포 자멸사가 제대로 일어나지 않으면?
세포 자멸사 과정이 제대로 작동하지 않으면, 여러 질병이 발생할 수 있습니다. 자멸사가 과도하게 일어나면 조직이 과도하게 손상되고, 자멸사가 부족하면 비정상 세포가 축적되어 암이나 자가면역 질환이 발생할 수 있습니다.
- 자멸사 결함: 자멸사가 제대로 작동하지 않으면, 세포가 비정상적으로 증식해 암이 발생할 수 있습니다.
- 과도한 자멸사: 자멸사가 과도하게 일어나면 신경퇴행성 질환(예: 알츠하이머병, 파킨슨병)과 같은 질환이 발생할 수 있습니다

이 사진은 전립선 암세포의 세포 자멸사 과정을 촬영했다고 합니다
괴사(Necrosis)
병리적 원인에 의해 비정상적으로 사멸

괴사(Necrosis)는 세포가 병리적 원인에 의해 비정상적으로 죽는 과정입니다. 이는 주로 외부의 심각한 손상이나 스트레스에 의해 발생하며, 주변 조직에도 손상을 일으킵니다. 자멸사와 달리 염증 반응을 일으키며, 조직에 광범위한 손상을 남깁니다.
괴사의 특징
- 세포막 파괴: 가장 먼저 세포막이 파괴됩니다. 세포막이 파괴되면서 세포 내부의 효소와 물질들이 주변으로 누출됩니다.
- 염증 반응을 유발해 주변 조직을 손상: 세포의 내용물이 방출되면 면역 시스템을 자극해 염증 반응을 일으킵니다. 염증 반응은 손상된 조직을 더 크게 악화시킵니다.이에 괴사는 한 세포에서 끝나지 않고 주변 조직으로 확산되어 광범위한 손상을 일으킬 수 있습니다.
괴사의 원인
- 산소 부족(저산소증): 혈액 공급이 차단되어 조직이 산소를 공급받지 못할 때 발생합니다.
- 독성 물질: 화학물질이나 독성 물질에 의해 세포가 손상될 수 있습니다.
- 외부 물리적 손상: 외상, 화상, 방사선 등이 세포에 치명적인 손상을 주어 괴사를 유발합니다.
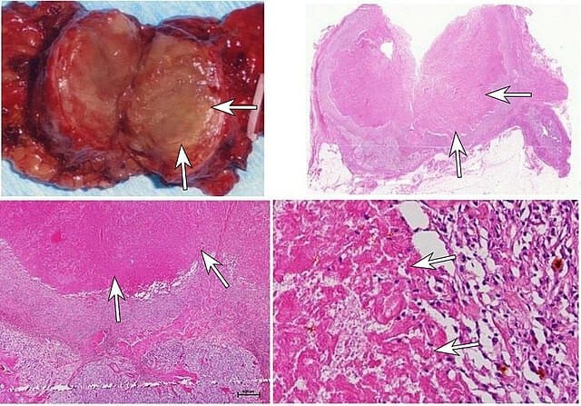
괴사의 종류
괴사는 6가지 종류로 나누곤 합니다. 간략하게 정리해보겠습니다.
1. 응고 괴사 (Coagulative Necrosis):
- 세포, 조직의 구조가 보존됨!
- 허혈성 경색에서 발견됨 (ex. 심근 경색 (MI)이후 관찰됨)
2. 액화 괴사 (Liquefactive Necrosis):
- 세포가 효소에 의해 완전히 액화되는 괴사입니다. (세포 구조가 남지 않음)
- 주로 뇌에서 발생하며, 뇌졸중이나 감염으로 인해 신경세포가 파괴될 때 .
3. 건락 괴사 (Caseous Necrosis):
- 치즈 같은 외관을 가지는 괴사 (‘Cottage cheese’랑 비슷하다고 합니다)
- 세포는 죽지만, 고형 물질로 변하여 완전히 파괴되지 않고 중간 형태로 남습니다.
- 주로 결핵이나 진균 감염에서 나타납니다.
4. 지방 괴사 (Fat Necrosis):
- 지방 조직에서 발생하는 괴사
- 췌장염이나 외상 (유방 외상 등) 으로 인해 지방이 파괴되면서 발생합니다.
- 파괴된 지방은 칼슘과 결합하며 하얀 분필 같은 덩어리로 남습니다.
5. 괴저성 괴사(Gangrenous Necrosis)
- 주로 하지와 위장관에서 발생
- 건조 괴저(Dry Gangrene)와 습윤 괴저(Wet Gangrene)로 나뉩니다.
6. 섬유소성 괴사(Fibrinoid Necrosis)
- 주로 악성 고혈압(Malignant Hypertension)과 혈관염(Vasculitis)에서 발견됩니다.
- 위와 같은 예시에서 섬유소가 혈관벽을 손상시킵니다.
세포 사멸은 왜 필요한가?
세포 사멸은 신체의 건강을 유지하고 질병을 예방하는 데 매우 중요한 역할을 합니다. 자멸사는 체내 불필요하거나 손상된 세포를 제거해 조직이 정상적으로 유지되도록 하며, 암과 같은 질환을 예방합니다. 반면에, 괴사는 주로 심각한 질병과 염증 반응을 동반하여 주변 세포와 조직을 손상시킵니다.
세포 사멸 한 줄 정리
한줄로 정리하면
- 세포 자멸사 (Apoptosis)는 주로 정상적인 과정에 의해 발생하며 염증을 일으키지 않고
- 괴사(Necrosis)는 주로 병리적 손상에 의해 발생하며 염증으로 주변 조직도 손상시킵니다.
Resource
- Morphological characteristics of karyolysis and other forms of nuclear destruction. By J.Cartwright – Own work, Public Domain, https://commons.wikimedia.org/w/index.php?curid=66145846
- Apoptosis of DU145 prostate cancer cell , By Egelberg – Own work, CC BY-SA 3.0, https://commons.wikimedia.org/w/index.php?curid=22663211
- By Nobumasa Ohara, Yasuyuki Uemura, Naomi Mezaki, Keita Kimura, Masanori Kaneko, Hirohiko Kuwano, Katsuya Ebe, Toshio Fujita, Takeshi Komeyama, Hiroyuki Usuda, Yuto Yamazaki, Takashi Maekawa, Hironobu Sasano, Kenzo Kaneko & Kyuzi Kamoi – (2016). “Histopathological analysis of spontaneous large necrosis of adrenal pheochromocytoma manifested as acute attacks of alternating hypertension and hypotension: a case report”. Journal of Medical Case Reports 10 (1). DOI:10.1186/s13256-016-1068-3. ISSN 1752-1947.-
“This article is distributed under the terms of the Creative Commons Attribution 4.0 International License (http://creativecommons.org/licenses/by/4.0/),”, CC BY 4.0, https://commons.wikimedia.org/w/index.php?curid=85570578


