
Table of Contents
연골(Cartilage)은 강하면서도 유연한 결합조직으로, 관절 보호, 구조적 지지, 장기의 형태 유지와 같은 역할을 수행합니다. 연골은 혈관이 없는 조직으로, 회복 속도가 느리며 주변 조직에서 영양을 공급받습니다.
1. 연골의 주요 기능
연골은 신체 구조를 유지하고 관절의 원활한 움직임을 돕는 조직입니다. 연골은 혈관과 신경이 없는 조직이므로, 확산(diffusion)에 의해 영양 공급이 이루어집니다.
연골은 조직학적 구조와 기능에 따라 유리연골(Hyaline Cartilage), 탄력연골(Elastic Cartilage), 섬유연골(Fibrocartilage) 3가지로 분류됩니다.
| 기능 |
| 🔹 충격 흡수: 관절에서 쿠션 역할을 하며, 뼈가 직접 마찰하는 것을 방지. |
| 🔹 관절의 원활한 움직임: 관절 연골(articular cartilage)은 마찰을 줄이고 부드러운 움직임을 가능하게 함. |
| 🔹 구조적 지지: 코, 귀, 기관지와 같은 기관의 형태를 유지하고 보호. |
2. 연골의 종류
연골은 구성 성분과 기능에 따라 세 가지 주요 유형으로 나뉩니다.
- Hyaline cartilage: 투명하고 부드러운 연골로 관절과 기도에 분포하며 충격 흡수 역할을 합니다.
- Elastic cartilage: 탄력섬유가 포함돼 유연성이 뛰어나며 외이, 후두개 등에 존재합니다.
- Fibrocartilage: 강한 콜라겐 섬유가 많아 내구성이 높고 추간판, 치골결합 등에 위치합니다.


ChatGPT에게 묻기
1) 유리연골 (Hyaline Cartilage) – 가장 흔한 연골


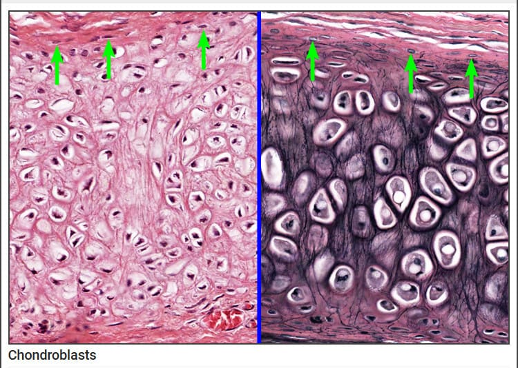
유리연골은 매끄럽고 반투명한 조직으로, 관절 보호와 조직 지지 역할을 합니다. 가장 흔한 연골이며, 조직학적으로 매끄럽고 투명한(glassy) 외관을 가집니다.
🔹매끄럽고 투명한 외관
: 기질이 유리(glassy) 같은 매끈한 외관, 콜라겐 II형
🔹연골 기질에 Type II Collagen과 Proteoglycan이 풍부함
: 연골기질(matrix)에 Type II 콜라겐(collagen type II)과 프로테오글리칸(proteoglycan)이 풍부하여 부드러운 쿠션 역할을 함.
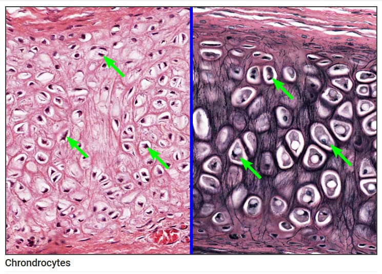
🔹연골 세포가 둥글고 등간격으로 배열됨
:연골세포(chondrocyte)는 둥글고 등간격으로 배열되며, 연골와(lacuna)에 위치함.
🔹 혈관이 없음(무혈관성, avascular)
→ 영양 공급은 주변 조직에서 확산(diffusion)을 통해 이루어짐.
| 특징 |
| : 콜라겐 2형(Type II Collagen)으로 구성되며, 강하고 탄력성이 뛰어남. |
| 주요 위치 |
| : 관절 연골(articular cartilage), 늑연골(costal cartilage), 기관(trachea). |
| 기능 |
| : 관절 보호, 원활한 움직임 보조, 기관과 폐의 개방 유지 등 |




2) 탄성연골 (Elastic Cartilage) – 높은 탄력성
탄성연골은 유연성이 뛰어난 연골로, 형태를 유지하면서도 쉽게 구부러질 수 있는 조직에 존재합니다.





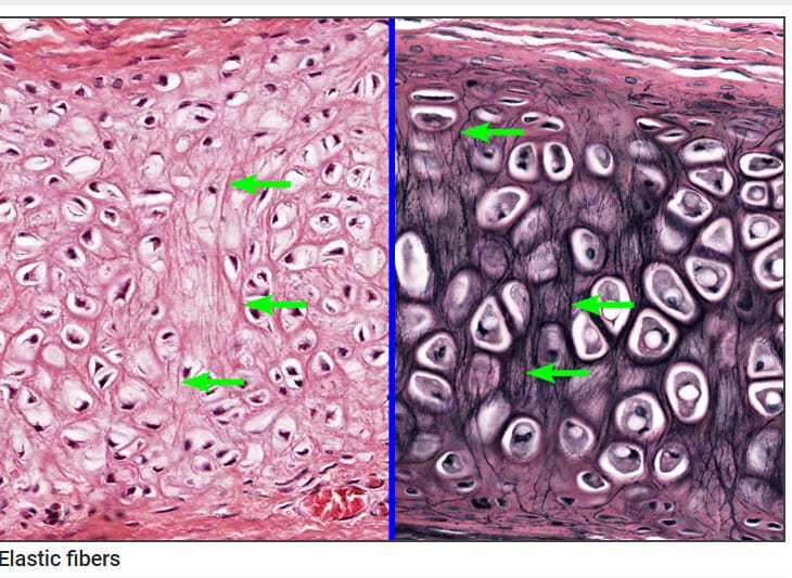
🔹 유리연골과 비슷하지만, 탄력섬유(elastic fiber)가 많아 더욱 유연함.
🔹 연골기질(matrix)에 Type II 콜라겐(collagen type II)과 탄력섬유(elastic fiber)가 풍부하여 늘어나도 원래 형태로 돌아올 수 있음.
🔹 연골세포는 불규칙하게 배열되며, 연골와(lacuna)에 위치함.
🔹 혈관이 없음(무혈관성, avascular) → 확산(diffusion)을 통해 영양 공급.
| 특징 |
| : 엘라스틴(elastin)과 콜라겐 2형(Type II Collagen)으로 구성되어 있음. |
| 주요 위치 |
| : 외이(outer ear), 후두개(epiglottis), 귀관(eustachian tube). |
| 기능 |
| : 탄력성과 유연성을 제공하여 기관이 쉽게 구부러지고 원래 형태로 복귀 가능. |





3) 섬유연골 (Fibrocartilage) – 가장 강한 연골
섬유연골은 가장 강한 연골 유형으로, 강한 힘을 견디고 압력을 흡수하는 역할을 합니다.





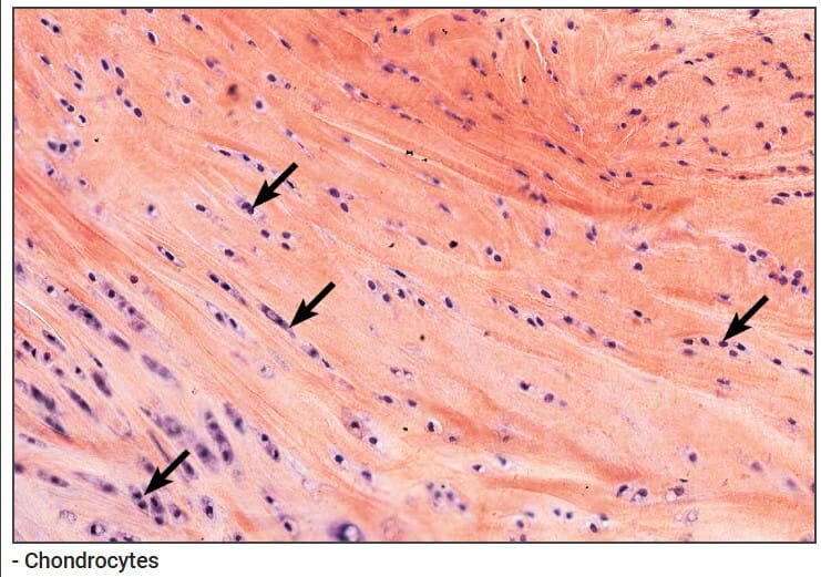
🔹 가장 강한 연골로, Type I과 Type II 콜라겐이 함께 존재하여 강한 내구성을 가짐.
🔹 연골세포는 직렬로 배열되며, 교원섬유(collagen fiber)가 매우 풍부하여 조직이 단단함.
🔹 혈관이 없음(무혈관성, avascular) → 당연히 확산(diffusion)을 통해 영양 공급.
🔹 연골과 섬유조직의 중간 형태로, 손상 시 연골이 아닌 섬유조직으로 대체됨 → 재생 능력이 가장 낮음
| 특징 |
| : 콜라겐 1형(Type I Collagen)으로 구성되며, 매우 단단하고 강한 구조를 가짐. |
| 주요 위치 |
| : 추간판(intervertebral discs), 무릎의 반월판(meniscus), 치골 결합부(pubis symphysis). |
| 기능 |
| : 강한 충격을 흡수하고, 관절과 뼈를 보호. |







연골과 관련된 질환
연골의 손상이나 기능 이상은 다양한 근골격계 질환을 유발할 수 있습니다.
| 질환 |
| 골관절염 (Osteoarthritis): 관절 연골의 퇴행으로 인해 마찰이 증가하고 통증 발생. |
| 연골 무형성증 (Achondroplasia): 연골 형성 장애로 인해 왜소증(dwarfism) 발생. |
| 추간판 탈출증 (Herniated Disc): 섬유연골로 구성된 디스크가 탈출하여 신경을 압박. |
Resource
- Figure 4.16 Types of Cartilage Image By OpenStax, Anatomy and Physiology. Licensed under CC BY 4.0. Access for free at https://openstax.org/books/anatomy-and-physiology/pages/1-introduction.
- Hyaline cartilage with chondrocytes in lacunae By Echinaceapallida – Own work, CC BY-SA 4.0, https://commons.wikimedia.org/w/index.php?curid=113999320
- Connective Tissue Fibrocartilage (27988652098).jpg By Berkshire Community College Bioscience Image Library – Connective Tissue: Fibrocartilage, CC0, https://commons.wikimedia.org/w/index.php?curid=70159680
- Connective Tissue Elastic Cartilage (41812804042).jpg By Berkshire Community College Bioscience Image Library – Connective Tissue: Elastic Cartilage, CC0, https://commons.wikimedia.org/w/index.php?curid=70159664
- Digital Histology.Virginia Commonwealth University. Licensed under CC BY-NC-SA 4.0.

