
| 분류 | 특징 요약 | 악성 가능성 | 치료 방향 |
|---|---|---|---|
| Bosniak Ⅰ | 단순 낭종 | 0% | 치료 및 추적 불필요 |
| Bosniak Ⅱ | 얇은 격벽/석회화 있음 | 거의 0% | 치료 및 추적 불필요 |
| Bosniak ⅡF | 다수 격벽, 미약한 조영 | 낮음 | 정기 영상 추적 |
| Bosniak Ⅲ | 두꺼운 벽/격벽, 조영 있음 | 40~60% | 대부분 수술 고려 |
| Bosniak Ⅳ | 고형부 조영 강화 있음 | 80~100% | 적극적 수술 필요 |

위 분류체계를 통해 신장 낭종의 영상학적 소견을 기준으로 악성 위험도를 평가하고, 치료 방향을 결정할 수 있습니다. 총 5단계(Ⅰ, Ⅱ, ⅡF, Ⅲ, Ⅳ)로 구분하며, 단계가 높을수록 악성 가능성이 증가합니다.
| ✅ Bosniak Ⅰ형 |
| 벽이 얇고 격벽, 석회화, 조영증강이 전혀 없는 단순 낭종. 100% 양성. |
| 치료 불필요. 추적관찰도 필요 없음. |



Cuete D, Renal cyst – Bosniak I. Case study, Radiopaedia.org (Accessed on 28 Apr 2025) https://doi.org/10.53347/rID-27479
| ✅ Bosniak Ⅱ형 |
| 얇은 격벽이 있거나, 벽 또는 격벽에 미세 석회화가 있음. 조영증강은 없음. |
| 양성으로 간주. 추적관찰 거의 불필요. |



Haouimi A, Renal cyst – Bosniak class II. Case study, Radiopaedia.org (Accessed on 28 Apr 2025) https://doi.org/10.53347/rID-180354
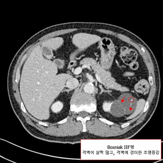
| 🟨 Bosniak ⅡF형 (Follow-up) |
| 격벽이 다소 많거나, 벽/격벽에 경미한 조영증강이 있으나 고형 부위 없음. |
| 악성 위험도 낮지만 완전히 배제되지 않음. 정기적 영상 추적관찰 필요. |


Botz B, Renal cyst – Bosniak type IIF (CEUS). Case study, Radiopaedia.org (Accessed on 28 Apr 2025) https://doi.org/10.53347/rID-72117

Bickle I, Renal cyst – Bosniak IIF. Case study, Radiopaedia.org (Accessed on 28 Apr 2025) https://doi.org/10.53347/rID-24068
| 🔴 Bosniak Ⅲ형 |
| 두꺼운 벽 또는 격벽이 있으며 조영증강이 확인됨. 고형 부위는 없음. |
| 악성 가능성 40~60%. 대부분 수술적 절제 고려. |



| 🔴 Bosniak Ⅳ형 |
| 낭종 내에 조영증강되는 고형 부위가 존재함. 대부분 신세포암으로 간주. |
| 악성 가능성 80~100%. 반드시 수술 필요 |


Bickle I, Renal cyst – Bosniak IV. Case study, Radiopaedia.org (Accessed on 28 Apr 2025) https://doi.org/10.53347/rID-24244

Niknejad M, Renal cyst – Bosniak IV. Case study, Radiopaedia.org (Accessed on 28 Apr 2025) https://doi.org/10.53347/rID-82556


